Shopping Cart
Remove All
Your shopping cart is currently empty
Anti-SHBG Polyclonal Antibody is a Rabbit antibody targeting SHBG. Anti-SHBG Polyclonal Antibody can be used in IF, IHC-Fr, IHC-P, WB.
| Pack Size | Price | USA Stock | Global Stock | Quantity |
|---|---|---|---|---|
| 50 μL | $221 | 7-10 days | 7-10 days | |
| 100 μL | $372 | 7-10 days | 7-10 days | |
| 200 μL | $527 | 7-10 days | 7-10 days |
| Description | Anti-SHBG Polyclonal Antibody is a Rabbit antibody targeting SHBG. Anti-SHBG Polyclonal Antibody can be used in IF, IHC-Fr, IHC-P, WB. |
| Synonyms | Testosterone estrogen binding globulin, Testosterone Estradiol Binding Globulin, Testosterone binding beta globulin, Testis specific androgen binding protein, TEBG, SHBG, Sex steroid binding protein, SBP, MGC138391, MGC126834, Androgen binding protein, ABP |
| Ig Type | IgG |
| Reactivity | Human,Rat (predicted:Mouse,Dog,Cow,Rabbit) |
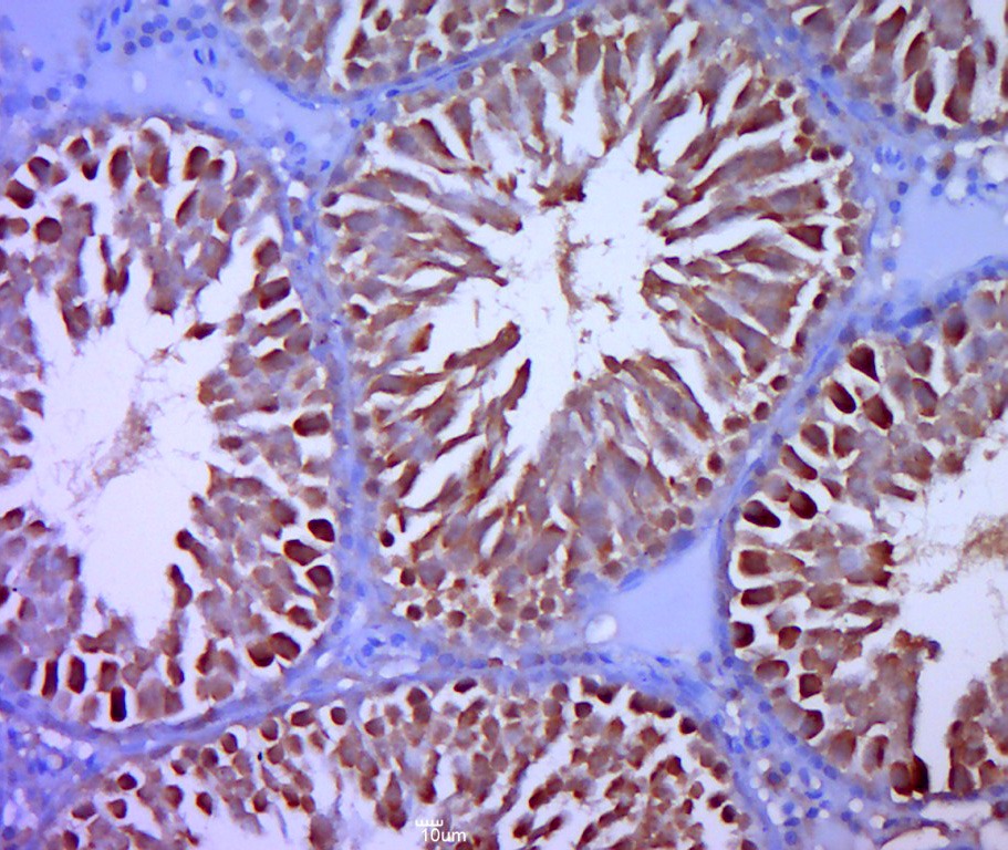
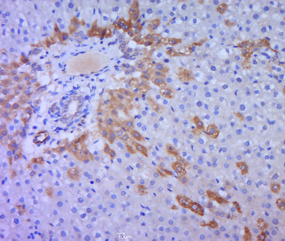
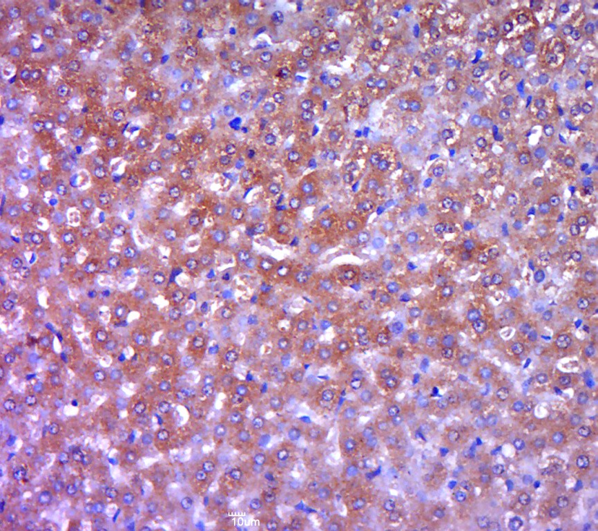
| Verified Activity | 1. Sample: Lane1: Testis (Mouse) Lysate at 30 μg Lane2: Liver (Mouse) Lysate at 30 μg Primary: Anti-ABP/SHBg (TMAB-01683) at 1:200 dilution; Secondary: HRP conjugated Goat Anti-Rabbit Igg (secondary antibody) at 1: 3000 dilution; Predicted band size: 40 kDa Observed band size: 44 kDa 2. Paraformaldehyde-fixed, paraffin embedded (rat liver tissue); Antigen retrieval by boiling in sodium citrate buffer (pH6.0) for 15 min; Block endogenous peroxidase by 3% hydrogen peroxide for 20 min; Blocking buffer (normal goat serum) at 37°C for 30 min; Antibody incubation with (ABP) Polyclonal Antibody, Unconjugated (TMAB-01683) at 1:400 overnight at 4°C, followed by a conjugated secondary for 20 min and DAB staining. 3. Paraformaldehyde-fixed, paraffin embedded (rat testis tissue); Antigen retrieval by boiling in sodium citrate buffer (pH6.0) for 15 min; Block endogenous peroxidase by 3% hydrogen peroxide for 20 min; Blocking buffer (normal goat serum) at 37°C for 30 min; Antibody incubation with (ABP) Polyclonal Antibody, Unconjugated (TMAB-01683) at 1:400 overnight at 4°C, followed by a conjugated secondary for 20 min and DAB staining. 4. Paraformaldehyde-fixed, paraffin embedded (rat liver tissue); Antigen retrieval by boiling in sodium citrate buffer (pH6.0) for 15 min; Block endogenous peroxidase by 3% hydrogen peroxide for 20 min; Blocking buffer (normal goat serum) at 37°C for 30 min; Antibody incubation with (ABP) Polyclonal Antibody, Unconjugated (TMAB-01683) at 1:400 overnight at 4°C, followed by a conjugated secondary for 20 min and DAB staining. 5. Sample: Lane 1: Human HepG2 cell lysates Lane 2: Human U87MG cell lysates Primary: Anti-SHBG (TMAB-01683) at 1/1000 dilution Secondary: IRDye800CW Goat Anti-Rabbit IgG at 1/20000 dilution Predicted band size: 40 kDa Observed band size: 50 kDa ![]() ![]() ![]() ![]() ![]() |
| Application | |
| Recommended Dose | WB: 1:500-2000; IHC-P: 1:100-500; IHC-Fr: 1:100-500; IF: 1:100-500 |
| Antibody Type | Polyclonal |
| Host Species | Rabbit |
| Subcellular Localization | Secreted . Note=In testis, it is synthesized by the Sertoli cells, secreted into the lumen of the seminiferous tubule and transported to the epididymis. |
| Tissue Specificity | Isoform 1 and isoform 2 are present in liver and testis. |
| Construction | Polyclonal Antibody |
| Purification | Protein A purified |
| Appearance | Liquid |
| Formulation | 0.01M TBS (pH7.4) with 1% BSA, 0.02% Proclin300 and 50% Glycerol. |
| Concentration | 1 mg/mL |
| Research Background | Sex hormone binding globulin (SHBG) is a glycoprotein synthesized by the liver. Circulating androgen and estrogen concentrations influence SHBG synthesis. Elevated testosterone, for example, causes SHBG synthesis to decrease, whereas high estrogen stimulates SHBG production. The regulation of SHBG synthesis, combined with SHBG's higher affinity for testosterone, impacts bioavailable testosterone levels. SHBG binds up to 98 percent of the steroid hormones in the blood including 5a-dihydrotestosterone (DHT), testosterone and androstenediol with particularly high affinity, and estradiol and estrone with slightly lower affinity. |
| Immunogen | KLH conjugated synthetic peptide: human SHBG |
| Antigen Species | Human |
| Gene Name | SHBG |
| Gene ID | |
| Protein Name | Sex hormone-binding globulin |
| Uniprot ID | |
| Biology Area | Cancer,Hormones,Lipid metabolism |
| Function | Functions as an androgen transport protein, but may also be involved in receptor mediated processes. Each dimer binds one molecule of steroid. Specific for 5-alpha-dihydrotestosterone, testosterone, and 17-beta-estradiol. Regulates the plasma metabolic clearance rate of steroid hormones by controlling their plasma concentration. |
| Molecular Weight | Theoretical: 40 kDa. Actual: 50 kDa. |
| Stability & Storage | Store at -20°C or -80°C for 12 months. Avoid repeated freeze-thaw cycles. |
| Transport | Shipping with blue ice. |
| Size | Quantity | Unit Price | Amount | Operation |
|---|

Copyright © 2015-2026 TargetMol Chemicals Inc. All Rights Reserved.