Shopping Cart
Remove All
Your shopping cart is currently empty
Anti-Securin Antibody (7P480) is a Rabbit antibody targeting Securin. Anti-Securin Antibody (7P480) can be used in FCM,ICC,IF,IHC,IP,WB.
| Pack Size | Price | USA Warehouse | Global Warehouse | Quantity |
|---|---|---|---|---|
| 50 μL | $297 | 7-10 days | 7-10 days | |
| 100 μL | $497 | 7-10 days | 7-10 days |
| Description | Anti-Securin Antibody (7P480) is a Rabbit antibody targeting Securin. Anti-Securin Antibody (7P480) can be used in FCM,ICC,IF,IHC,IP,WB. |
| Synonyms | TUTR1, TUTR 1, Tumor-transforming protein 1, Tumor transforming protein 1, Tumor transforming 1, Securin, Pttg3, PTTG1_HUMAN, PTTG1 protein, PTTG1, PTTG 1, PTTG, Pituitary tumor-transforming gene 1 protein, Pituitary tumor-transforming gene 1, Pituitary tumor-transforming 1, isoform CRA_b, Pituitary tumor-transforming 1, isoform CRA_a, Pituitary tumor transforming protein 1, Pituitary tumor transforming 1, Pds1, MGC138276, MGC126883, hPTTG, Esp1-associated protein, ESP1 associated protein 1, EAP1, EAP 1, Cut2, C87862, AW555095 |
| Ig Type | IgG |
| Clone | 7P480 |
| Reactivity | Human |
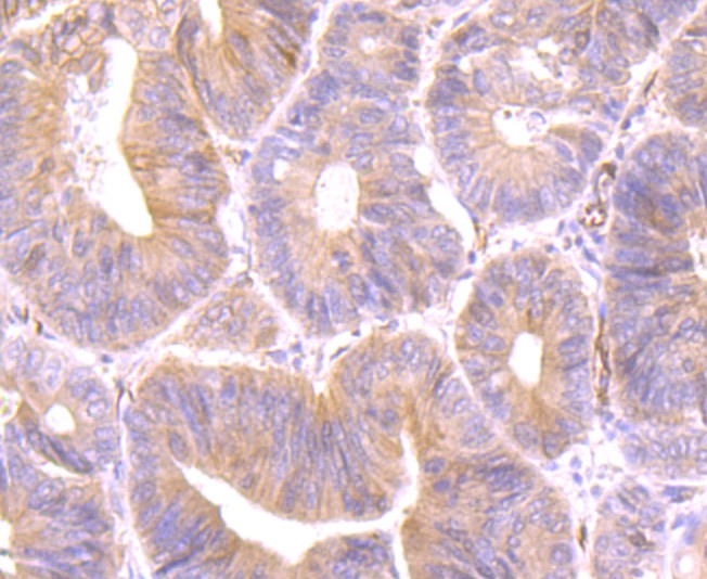
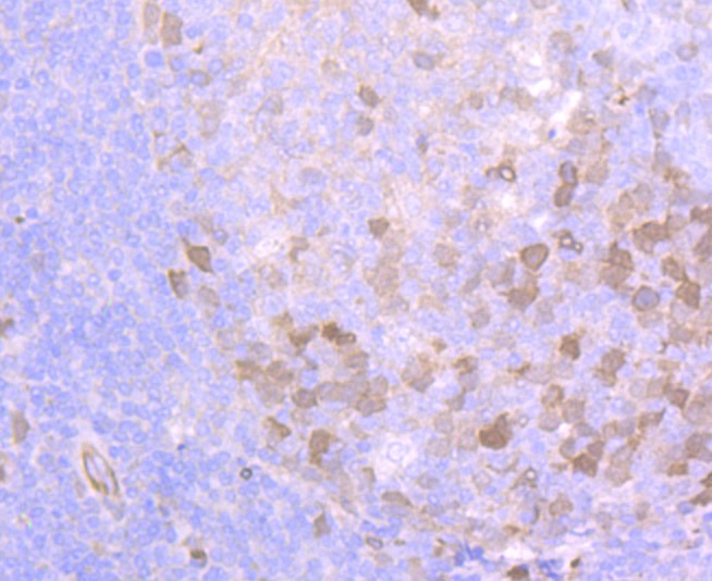
| Verified Activity | 1. Western blot analysis of Securin on SiHa cell lysate using anti-Securin antibody at 1/500 dilution. 2. Immunohistochemical analysis of paraffin-embedded human tonsil tissue using anti-Securin antibody. Counter stained with hematoxylin. 3. Immunohistochemical analysis of paraffin-embedded human colon cancer tissue using anti-Securin antibody. Counter stained with hematoxylin. 4. ICC staining Securin in A431 cells (green). The nuclear counter stain is DAPI (blue). Cells were fixed in paraformaldehyde, permeabilised with 0.25% Triton X100/PBS. 5. ICC staining Securin in HUVEC cells (green). The nuclear counter stain is DAPI (blue). Cells were fixed in paraformaldehyde, permeabilised with 0.25% Triton X100/PBS. 6. ICC staining Securin in PC-3M cells (green). The nuclear counter stain is DAPI (blue). Cells were fixed in paraformaldehyde, permeabilised with 0.25% Triton X100/PBS. 7. Flow cytometric analysis of A431 cells with Securin antibody at 1/100 dilution (red) compared with an unlabelled control (cells without incubation with primary antibody; black). Alexa Fluor 488-conjugated goat anti-rabbit IgG was used as the secondary antibody. ![]() ![]() ![]() ![]() ![]() ![]() ![]() |
| Application | |
| Recommended Dose | WB: 1:500; IHC: 1:50-200; ICC: 1:50-200; FCM: 1:50-100 |
| Antibody Type | Monoclonal |
| Host Species | Rabbit |
| Construction | Recombinant Antibody |
| Purification | ProA affinity purified |
| Appearance | Liquid |
| Formulation | 1*TBS (pH7.4), 1%BSA, 40%Glycerol. Preservative: 0.05% Sodium Azide. |
| Research Background | The product of the oncogene PTTG, pituitary tumor transforming gene, is a human homolog of the anaphase-inhibitor vertebrate protein, securin. PTTG contains a basic amino-terminal domain and an acidic carboxy-terminal domain, which acts as a transactivation domain when fused to a heterologous DNA binding domain. Human PTTG is overexpressed in Jurkat and is also detected in human thymus, testis and placenta. PTTG is mainly expressed in the cytoplasm and is also partially localized to the nucleus. Vertebrate PTTG regulates the separin Esp1, which promotes chromatid separation, to overcome the cohesive forces that hold sister chromatids together. This regulatory function of PTTG suggests that defective regulation of cohesion may contribute to cancer by promoting chromosome instability. Although vertebrate PTTG shares cell-cycle functions with its yeast securin counterparts Pds1p and Cut2, none share sequence homology. |
| Conjucates | Unconjugated |
| Immunogen | Recombinant Protein |
| Uniprot ID |
| Molecular Weight | Theoretical: 22 kDa. |
| Stability & Storage | Store at -20°C or -80°C for 12 months. Avoid repeated freeze-thaw cycles. |
| Transport | Shipping with blue ice. |
| Size | Quantity | Unit Price | Amount | Operation |
|---|

Copyright © 2015-2026 TargetMol Chemicals Inc. All Rights Reserved.