Shopping Cart
Remove All
Your shopping cart is currently empty
Synonyms: Suppressor of cancer cell invasion protein, Suppressor of cancer cell invasion, SCAI_HUMAN, SCAI, Protein SCAI, NET40, MGC120528, MGC120526, MGC120525, FLJ36664, FLJ11758, C9orf126
| Pack Size | Price | USA Stock | Global Stock | Quantity |
|---|---|---|---|---|
| 50 μL | $298 | 7-10 days | 7-10 days | |
| 100 μL | $427 | 7-10 days | 7-10 days |
| Description | Anti-SCAI Antibody (9G836) is a Mouse antibody targeting SCAI. Anti-SCAI Antibody (9G836) can be used in ICC,IHC,WB. |
| Synonyms | Suppressor of cancer cell invasion protein, Suppressor of cancer cell invasion, SCAI_HUMAN, SCAI, Protein SCAI, NET40, MGC120528, MGC120526, MGC120525, FLJ36664, FLJ11758, C9orf126 |
| Clone | 9G836 |
| Reactivity | Human |
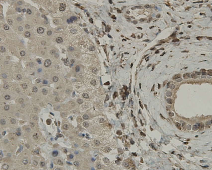
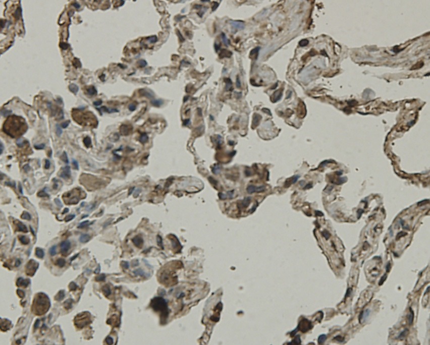
| Verified Activity | 1. Western blot analysis of SCAI on Recombinant protein using anti-SCAI antibody at 1/1,000 dilution. 2. Immunohistochemical analysis of paraffin-embedded human pancreas tissue using anti-SCAI antibody. Counter stained with hematoxylin. 3. Immunohistochemical analysis of paraffin-embedded human tonsil tissue using anti-SCAI antibody. Counter stained with hematoxylin. 4. Immunohistochemical analysis of paraffin-embedded human lung tissue using anti-SCAI antibody. Counter stained with hematoxylin. 5. Immunohistochemical analysis of paraffin-embedded human liver tissue using anti-SCAI antibody. Counter stained with hematoxylin. 6. Immunohistochemical analysis of paraffin-embedded human brain tissue using anti-SCAI antibody. Counter stained with hematoxylin. 7. Immunohistochemical analysis of paraffin-embedded human heart tissue using anti-SCAI antibody. Counter stained with hematoxylin. 8. ICC staining SCAI in SHG-44 cells (green). The nuclear counter stain is DAPI (blue). Cells were fixed in paraformaldehyde, permeabilised with 0.25% Triton X100/PBS. 9. ICC staining SCAI in SH-SY-5Y cells (green). The nuclear counter stain is DAPI (blue). Cells were fixed in paraformaldehyde, permeabilised with 0.25% Triton X100/PBS. 10. ICC staining SCAI in PC-12 cells (green). The nuclear counter stain is DAPI (blue). Cells were fixed in paraformaldehyde, permeabilised with 0.25% Triton X100/PBS. |
| Application | |
| Recommended Dose | WB: 1:1000-2000; IHC: 1:50-200; ICC: 1:50-200 |
| Antibody Type | Monoclonal |
| Host Species | Mouse |
| Construction | Hybridoma Monoclonal Antibody |
| Appearance | Liquid |
| Formulation | 1*TBS (pH7.4), 1%BSA, 40%Glycerol. Preservative: 0.23% Sodium Azide. |
| Research Background | Protein SCAI, also known as Suppressor of cancer cell invasion protein, and encoded by the gene name SCAI, is a tumor suppressor that suppresses MKL1-induced SRF transcriptional activity. It is a regulator of cell migration and appears to be involved in the RhoA (ras homolog gene family, member A)-Dia1 (diaphanous homolog 1) signal transduction pathway. SCAI localizes in the nucleus, where it binds and inhibits the myocardin-related transcription factor MAL by forming a ternary complex with serum response factor (SRF). |
| Conjucates | Unconjugated |
| Immunogen | Recombinant Protein |
| Uniprot ID |
| Molecular Weight | Theoretical: 48 kDa. |
| Stability & Storage | Store at -20°C or -80°C for 12 months. Avoid repeated freeze-thaw cycles. |
| Transport | Shipping with blue ice. |
| Size | Quantity | Unit Price | Amount | Operation |
|---|

Copyright © 2015-2026 TargetMol Chemicals Inc. All Rights Reserved.