Shopping Cart
Remove All
Your shopping cart is currently empty
Anti-SALL1 Polyclonal Antibody is a Rabbit antibody targeting SALL1. Anti-SALL1 Polyclonal Antibody can be used in IF,IHC-Fr,IHC-P.
| Pack Size | Price | USA Warehouse | Global Warehouse | Quantity |
|---|---|---|---|---|
| 50 μL | $221 | 7-10 days | 7-10 days | |
| 100 μL | $373 | 7-10 days | 7-10 days | |
| 200 μL | $527 | 7-10 days | 7-10 days |
| Description | Anti-SALL1 Polyclonal Antibody is a Rabbit antibody targeting SALL1. Anti-SALL1 Polyclonal Antibody can be used in IF,IHC-Fr,IHC-P. |
| Synonyms | Zinc finger protein Spalt-1, Zinc finger protein SALL1, Zinc finger protein 794, Townes Brocks syndrome, TBS, Spalt-like transcription factor 1, Sal-like protein 1, SALL 1, Sal-1, Sal1, Sal like protein 1, HSal1 |
| Ig Type | IgG |
| Reactivity | Mouse,Rat (predicted:Human,Chicken,Dog,Cow,Horse,Rabbit,Sheep) |
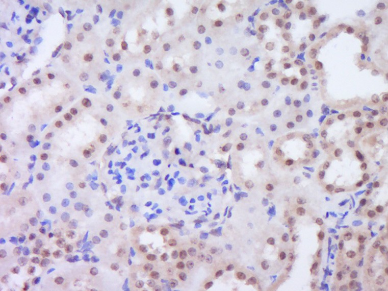
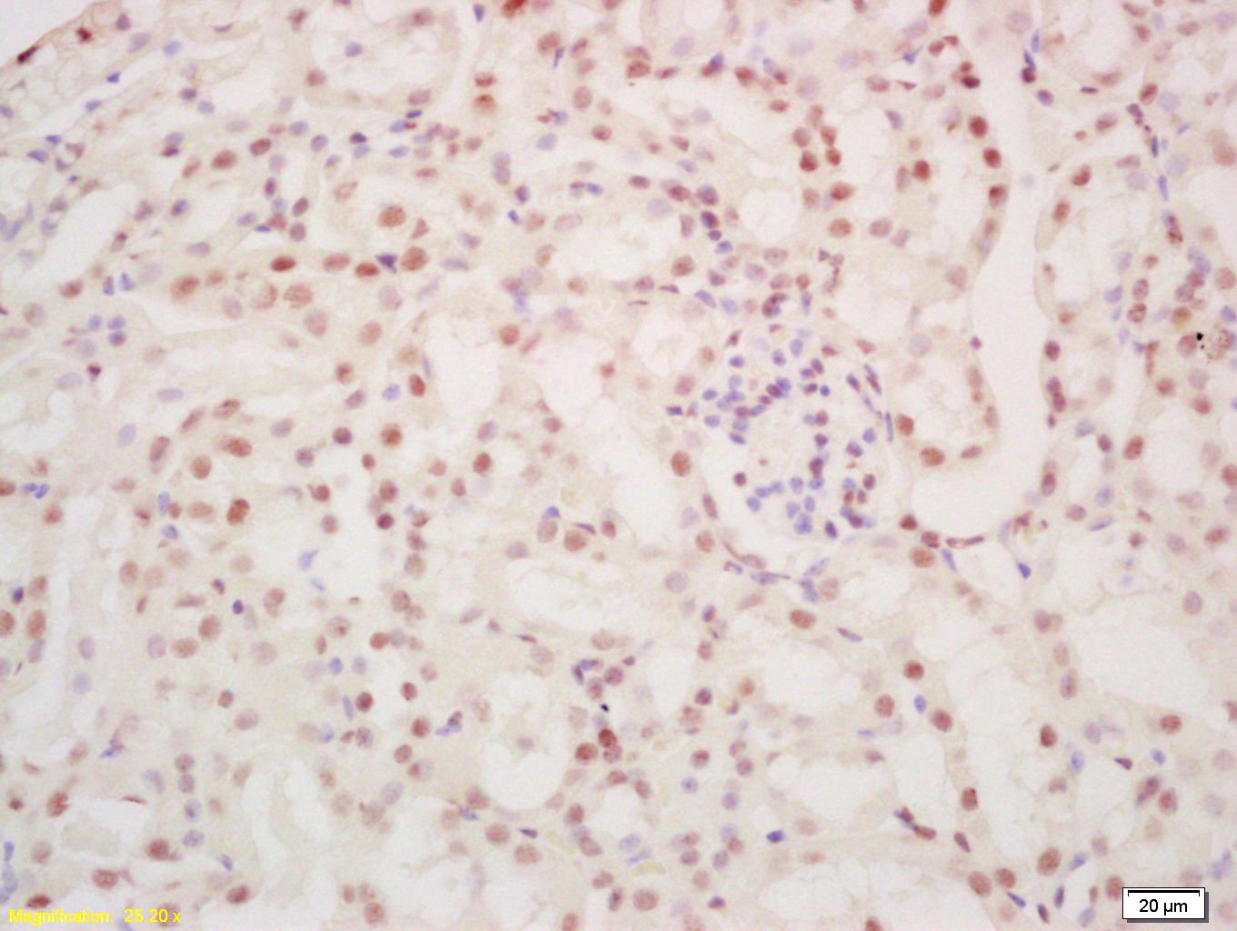
| Verified Activity | 1. Paraformaldehyde-fixed, paraffin embedded (Rat kidney); Antigen retrieval by boiling in sodium citrate buffer (pH6.0) for 15 min; Block endogenous peroxidase by 3% hydrogen peroxide for 20 min; Blocking buffer (normal goat serum) at 37°C for 30 min; Antibody incubation with (SALL1) Polyclonal Antibody, Unconjugated (TMAB-01650) at 1:400 overnight at 4°C, followed by operating according to SP Kit (Rabbit) instructionsand DAB staining. 2. Tissue/cell: mouse kidney tissue; 4% Paraformaldehyde-fixed and paraffin-embedded; Antigen retrieval: citrate buffer (0.01M, pH6.0), Boiling bathing for 15 min; Block endogenous peroxidase by 3% Hydrogen peroxide for 30 min; Blocking buffer (normal goat serum) at 37°C for 20 min; Incubation: Anti-SALL1 Polyclonal Antibody, Unconjugated (TMAB-01650) 1:200, overnight at 4°C, followed by conjugation to the secondary antibody and DAb staining. ![]() ![]() |
| Application | |
| Recommended Dose | IHC-P: 1:100-500; IHC-Fr: 1:100-500; IF: 1:100-500 |
| Antibody Type | Polyclonal |
| Host Species | Rabbit |
| Subcellular Localization | Nucleus. |
| Tissue Specificity | Highest levels in kidney. Lower levels in adult brain (enriched in corpus callosum, lower expression in substantia nigra) and liver. |
| Construction | Polyclonal Antibody |
| Purification | Protein A purified |
| Appearance | Liquid |
| Formulation | 0.01M TBS (pH7.4) with 1% BSA, 0.02% Proclin300 and 50% Glycerol. |
| Concentration | 1 mg/mL |
| Research Background | Sall1 and Sall2 are mammalian homologs of the Drosophila region-specific home-otic gene spalt (sal), which encodes a zinc finger-containing transcription regulator. Drosophila spalt (sal) is an essential genetic component required for the specification of posterior head and anterior tail as opposed to trunk. Mammalian Sall1 may mediate higher order chromatin structure, and may be a component of a distinct heterochromatin-dependent silencing process. Sall1 is present in kidney, brain and liver. Sall2 is a p53-independent regulator of p21 and BAX, and can function in some cell types as a regulator of cell growth and survival. Human Sall2 is present in brain, heart, kidney or pancreas. Sall1 and Sall2 are expressed in different areas of the fetal brain that may represent distinct sets of neurons. |
| Immunogen | KLH conjugated synthetic peptide: human SALL1 |
| Antigen Species | Human |
| Gene Name | SALL1 |
| Gene ID | |
| Protein Name | Sal-like protein 1 |
| Uniprot ID | |
| Biology Area | DNA / RNA binding,Zinc Finger,Transcription Factors |
| Function | Transcriptional repressor involved in organogenesis. |
| Molecular Weight | Theoretical: 140 kDa. |
| Stability & Storage | Store at -20°C or -80°C for 12 months. Avoid repeated freeze-thaw cycles. |
| Transport | Shipping with blue ice. |
| Size | Quantity | Unit Price | Amount | Operation |
|---|

Copyright © 2015-2026 TargetMol Chemicals Inc. All Rights Reserved.