Shopping Cart
Remove All
Your shopping cart is currently empty
Anti-S100A8/9/9 Antibody (4J730) is a Mouse antibody targeting S100A8/9. Anti-S100A8/9/9 Antibody (4J730) can be used in IF,IHC-Fr,IHC-P,WB.
| Pack Size | Price | USA Warehouse | Global Warehouse | Quantity |
|---|---|---|---|---|
| 50 μL | $220 | 7-10 days | 7-10 days | |
| 100 μL | $372 | 7-10 days | 7-10 days |
| Description | Anti-S100A8/9/9 Antibody (4J730) is a Mouse antibody targeting S100A8/9. Anti-S100A8/9/9 Antibody (4J730) can be used in IF,IHC-Fr,IHC-P,WB. |
| Synonyms | S1A8, MRP8 & S1A9, MRP14, CFAG, CAGB, CAGA |
| Ig Type | IgG |
| Clone | 4J730 |
| Reactivity | Human (predicted:Mouse,Rat) |
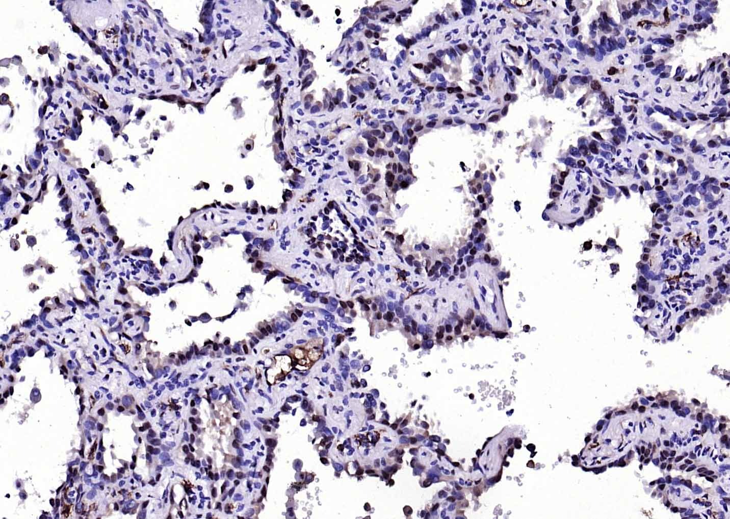
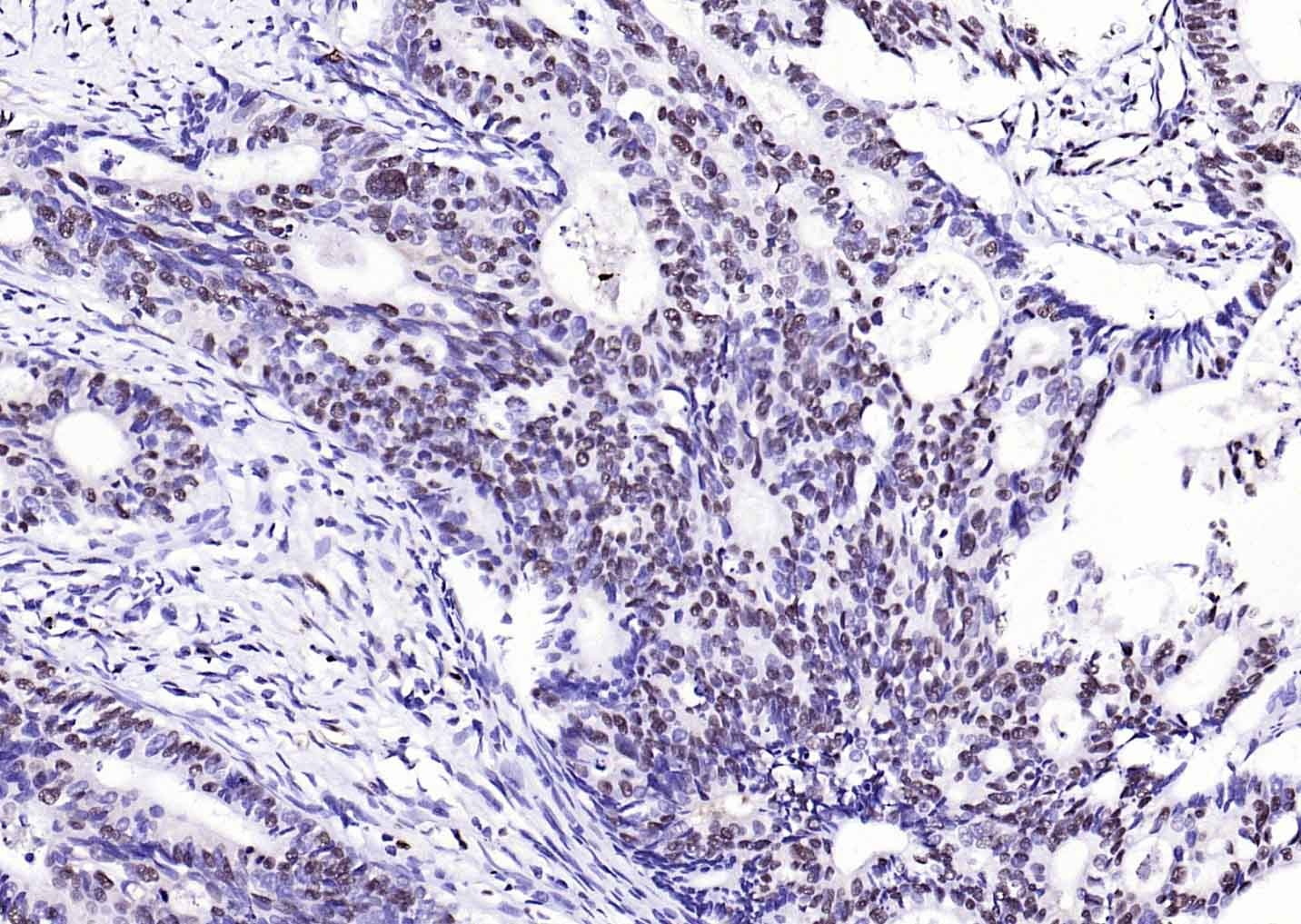
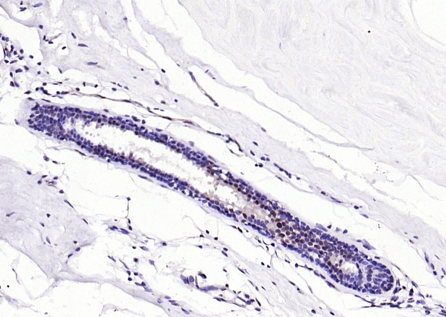
| Verified Activity | 1. Paraformaldehyde-fixed, paraffin embedded (human lung carcinoma); Antigen retrieval by boiling in sodium citrate buffer (pH6.0) for 15 min; Block endogenous peroxidase by 3% hydrogen peroxide for 20 min; Blocking buffer (normal goat serum) at 37°C for 30 min; Antibody incubation with (S100A8+A9 Complex) Monoclonal Antibody, Unconjugated (TMAB-01644) at 1:200 overnight at 4°C, followed by operating according to SP Kit (Mouse) instructionsand DAB staining. 2. Paraformaldehyde-fixed, paraffin embedded (human colon carcinoma); Antigen retrieval by boiling in sodium citrate buffer (pH6.0) for 15 min; Block endogenous peroxidase by 3% hydrogen peroxide for 20 min; Blocking buffer (normal goat serum) at 37°C for 30 min; Antibody incubation with (S100A8+A9 Complex) Monoclonal Antibody, Unconjugated (TMAB-01644) at 1:200 overnight at 4°C, followed by operating according to SP Kit (Mouse) instructionsand DAB staining. 3. Paraformaldehyde-fixed, paraffin embedded (human breast carcinoma); Antigen retrieval by boiling in sodium citrate buffer (pH6.0) for 15 min; Block endogenous peroxidase by 3% hydrogen peroxide for 20 min; Blocking buffer (normal goat serum) at 37°C for 30 min; Antibody incubation with (S100A8+A9 Complex) Monoclonal Antibody, Unconjugated (TMAB-01644) at 1:200 overnight at 4°C, followed by operating according to SP Kit (Mouse) instructionsand DAB staining. 4. Sample: Lane 1: Recombinant human S100-A8/A9 protein, His at 1/1000 dilution Secondary: IRDye800CW Goat Anti-Mouse IgG at 1/20000 dilution Predicted band size: 14 kDa Observed band size: 34 kDa ![]() ![]() ![]() ![]() |
| Application | |
| Recommended Dose | WB: 1:500-1000; IHC-P: 1:100-200; IHC-Fr: 1:400-800; IF: 1:100-500 |
| Antibody Type | Monoclonal |
| Host Species | Mouse |
| Subcellular Localization | Secreted. Cytoplasm. Cytoplasm, cytoskeleton. Cell membrane; Peripheral membrane protein. |
| Tissue Specificity | Expressed by macrophages in chronic inflammations. Also expressed in epithelial cells constitutively or induced during dermatoses. |
| Construction | Hybridoma Monoclonal Antibody |
| Purification | Protein A purified |
| Appearance | Liquid |
| Formulation | 0.01M TBS (pH7.4) with 1% BSA, 0.02% Proclin300 and 50% Glycerol. |
| Concentration | 1 mg/mL |
| Research Background | The protein encoded by this gene is a member of the S100 family of proteins containing 2 EF-hand calcium-binding motifs. S100 proteins are localized in the cytoplasm and/or nucleus of a wide range of cells, and involved in the regulation of a number of cellular processes such as cell cycle progression and differentiation. S100 genes include at least 13 members which are located as a cluster on chromosome 1q21. This protein may function in the inhibition of casein kinase and as a cytokine. Altered expression of this protein is associated with the disease cystic fibrosis. [provided by RefSeq]. |
| Immunogen | Recombinant Protein: human human S100A8+A9 Complex |
| Antigen Species | Human |
| Gene Name | S100A8 |
| Gene ID | |
| Protein Name | Protein S100-A8 |
| Uniprot ID | |
| Biology Area | Macrophage / Inflamm.,Calcium Binding Proteins |
| Function | S100A8 is a calcium- and zinc-binding protein which plays a prominent role in the regulation of inflammatory processes and immune response. It can induce neutrophil chemotaxis and adhesion. Predominantly found as calprotectin (S100A8/A9) which has a wide plethora of intra- and extracellular functions. The intracellular functions include: facilitating leukocyte arachidonic acid trafficking and metabolism, modulation of the tubulin-dependent cytoskeleton during migration of phagocytes and activation of the neutrophilic NADPH-oxidase. Activates NADPH-oxidase by facilitating the enzyme complex assembly at the cell membrane, transfering arachidonic acid, an essential cofactor, to the enzyme complex and S100A8 contributes to the enzyme assembly by directly binding to NCF2/P67PHOX. The extracellular functions involve proinfammatory, antimicrobial, oxidant-scavenging and apoptosis-inducing activities. Its proinflammatory activity includes recruitment of leukocytes, promotion of cytokine and chemokine production, and regulation of leukocyte adhesion and migration. Acts as an alarmin or a danger associated molecular pattern (DAMP) molecule and stimulates innate immune cells via binding to pattern recognition receptors such as Toll-like receptor 4 (TLR4) and receptor for advanced glycation endproducts (AGER). Binding to TLR4 and AGER activates the MAP-kinase and NF-kappa-B signaling pathways resulting in the amplification of the proinflammatory cascade. Has antimicrobial activity towards bacteria and fungi and exerts its antimicrobial activity probably via chelation of Zn(2+) which is essential for microbial growth. Can induce cell death via autophagy and apoptosis and this occurs through the cross-talk of mitochondria and lysosomes via reactive oxygen species (ROS) and the process involves BNIP3. Can regulate neutrophil number and apoptosis by an anti-apoptotic effect; regulates cell survival via ITGAM/ITGB and TLR4 and a signaling mechanism involving MEK-ERK. Its role as an oxidant scavenger has a protective role in preventing exaggerated tissue damage by scavenging oxidants. |
| Molecular Weight | Theoretical: 14 kDa. |
| Stability & Storage | Store at -20°C or -80°C for 12 months. Avoid repeated freeze-thaw cycles. |
| Transport | Shipping with blue ice. |
| Size | Quantity | Unit Price | Amount | Operation |
|---|

Copyright © 2015-2025 TargetMol Chemicals Inc. All Rights Reserved.