Shopping Cart
Remove All
Your shopping cart is currently empty
Anti-S100A4 Antibody (9W585) is a Rabbit antibody targeting S100A4. Anti-S100A4 Antibody (9W585) can be used in FCM,ICC/IF,IHC,IP,WB.
| Pack Size | Price | USA Warehouse | Global Warehouse | Quantity |
|---|---|---|---|---|
| 50 μL | $297 | 7-10 days | 7-10 days | |
| 100 μL | $497 | 7-10 days | 7-10 days |
| Description | Anti-S100A4 Antibody (9W585) is a Rabbit antibody targeting S100A4. Anti-S100A4 Antibody (9W585) can be used in FCM,ICC/IF,IHC,IP,WB. |
| Synonyms | S100 calcium binding protein A4, PEL98, P9KA, MTS1, CAPL, 42A, 18A2 |
| Ig Type | IgG |
| Clone | 9W585 |
| Reactivity | Human,Mouse,Rat |
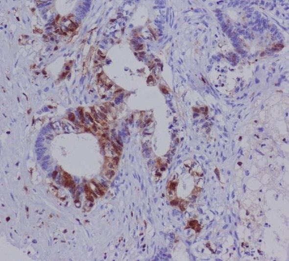
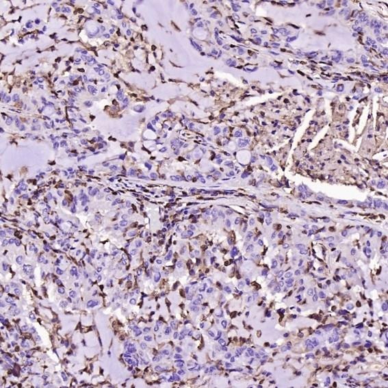
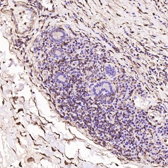
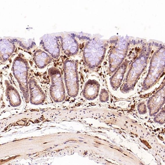
| Verified Activity | 1. All lanes use the Antibody at 1:2K dilution for 1 hour at room temperature. 2. Western blot analysis of S100A4 expression in A375 cell lysate. 3. Immunohistochemical analysis of paraffin-embedded Rat stomach, using the Antibody at 1:200 dilution. 4. Immunohistochemical analysis of paraffin-embedded Human lung adenocarcinoma, using the Antibody at 1:200 dilution. 5. Immunohistochemical analysis of paraffin-embedded Human thyroid cancer, using the Antibody at 1:200 dilution. 6. Immunohistochemical analysis of paraffin-embedded Human esophageal carcinoma, using the Antibody at 500 dilution. 7. Immunohistochemical analysis of paraffin-embedded human colon carcinoma, using S100A4 Antibody. 8. Immunofluorescent analysis of HeLa cells, using S100A4 Antibody. ![]() ![]() ![]() ![]() ![]() ![]() ![]() ![]() |
| Application | |
| Recommended Dose | WB: 1:1000-2000 IHC: 1:100-200 ICC/IF: 1:50-200 IP 1:20-50 FCM 1:20-100 |
| Antibody Type | Monoclonal |
| Host Species | Rabbit |
| Construction | Recombinant Antibody |
| Purification | Affinity-chromatography |
| Appearance | Liquid |
| Formulation | Rabbit IgG in 10mM phosphate buffered saline , pH 7.4, 150mM sodium chloride, 0.05% BSA, 0.02% sodium azide and 50% glycerol. |
| Research Background | The Mts1 gene encodes a small acidic Ca2+-binding protein, Mts1 (also designated S100A4, calvasculin or metastasin). Mts1 belongs to the S100 family of small Ca2+-binding proteins and is expressed in a cell-specific manner. Mts1 protein is involved in tumor progression and metastasis, and also has a significant stimulatory effect on angiogenesis. The level of Mts1 protein in serum increases with aging, suggesting that Mts1 may play a role in the ind-uction of tumor progression via stimulation of angiogenesis. In addition, Mts1 cooperates with p53 in apoptosis induction by binding to the C-term-inal regulatory domain of p53 to inhibit the DNA binding activity of p53. The ability of Mts1 to enhance p53-dependent apoptosis may accelerate the loss of p53 function in tumors. Thus, Mts1 can contribute to the development of a more aggressive phenotype during tumor progression. |
| Conjucates | Unconjugated |
| Immunogen | A synthesized peptide: human S100A4 |
| Antigen Species | human |
| Uniprot ID |
| Molecular Weight | Theoretical: 12 kDa. |
| Stability & Storage | Store at 2°C-8°C for 1 month. Store at -20°C or -80°C for 12 months. Avoid repeated freeze-thaw cycles. |
| Transport | Shipping with blue ice. |
| Size | Quantity | Unit Price | Amount | Operation |
|---|

Copyright © 2015-2026 TargetMol Chemicals Inc. All Rights Reserved.