Shopping Cart
Remove All
Your shopping cart is currently empty
Anti-S100A10 Polyclonal Antibody is a Rabbit antibody targeting S100A10. Anti-S100A10 Polyclonal Antibody can be used in ELISA, IF, IHC-Fr, IHC-P, WB.
| Pack Size | Price | USA Stock | Global Stock | Quantity |
|---|---|---|---|---|
| 50 μL | $220 | 7-10 days | 7-10 days | |
| 100 μL | $373 | 7-10 days | 7-10 days |
| Description | Anti-S100A10 Polyclonal Antibody is a Rabbit antibody targeting S100A10. Anti-S100A10 Polyclonal Antibody can be used in ELISA, IF, IHC-Fr, IHC-P, WB. |
| Synonyms | S100 calcium binding protein A10, P11, p10, MGC111133, GP11, CLP11, CAL1L, Ca[1], ANX2LG, ANX2L, 42C |
| Ig Type | IgG |
| Reactivity | Human,Mouse,Rat |
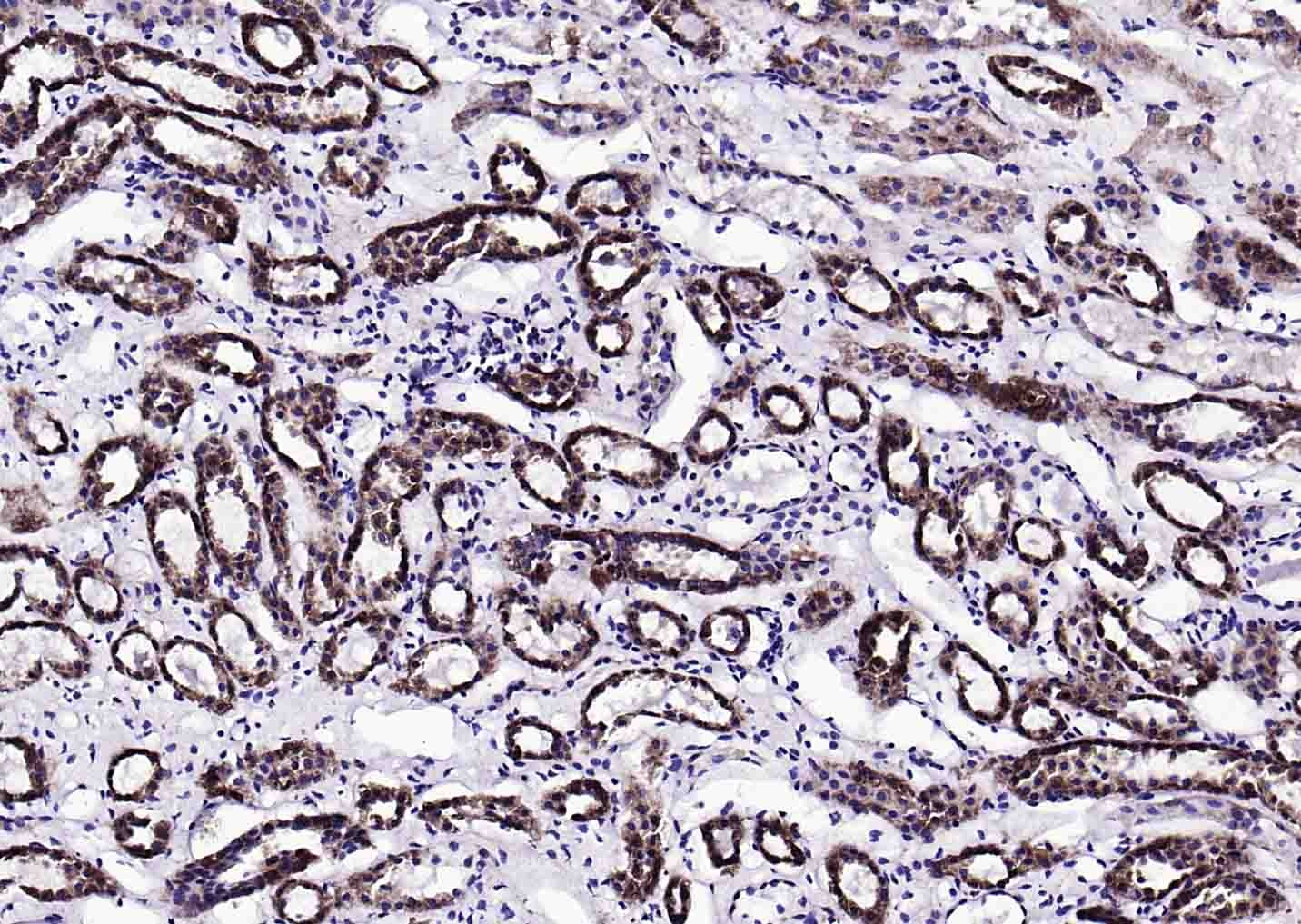
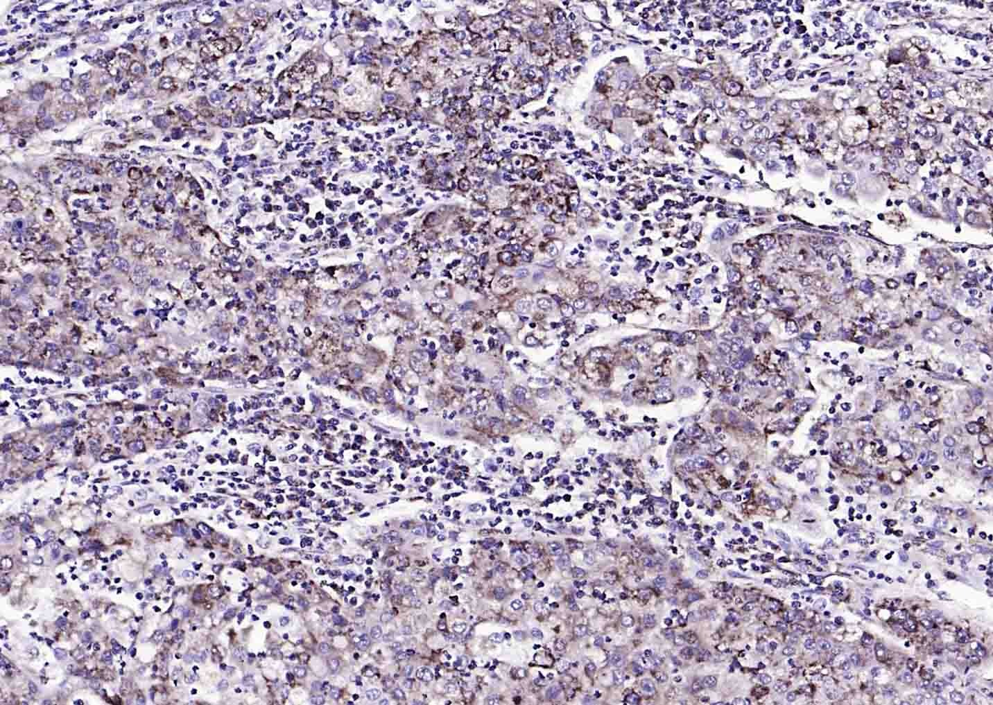
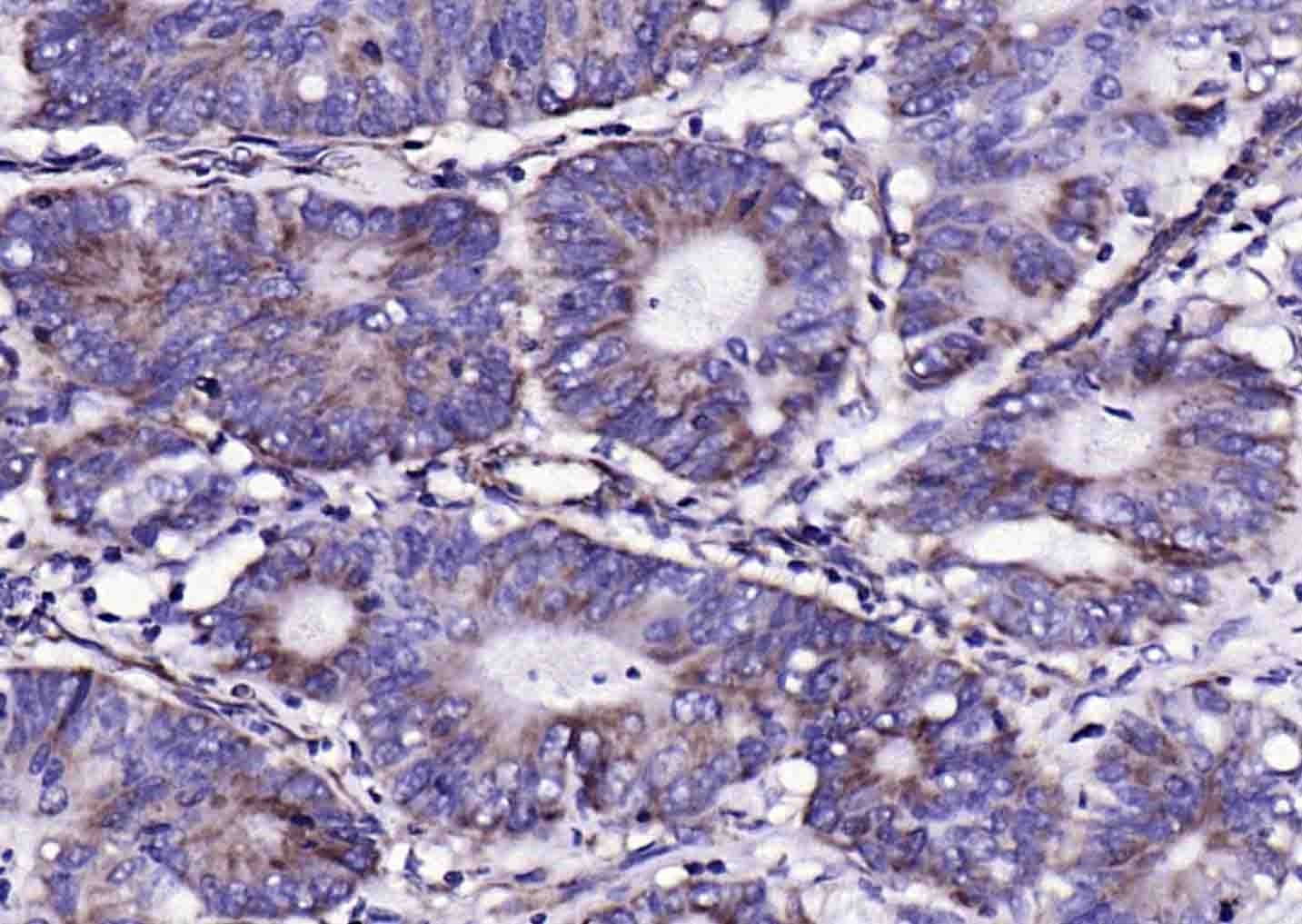
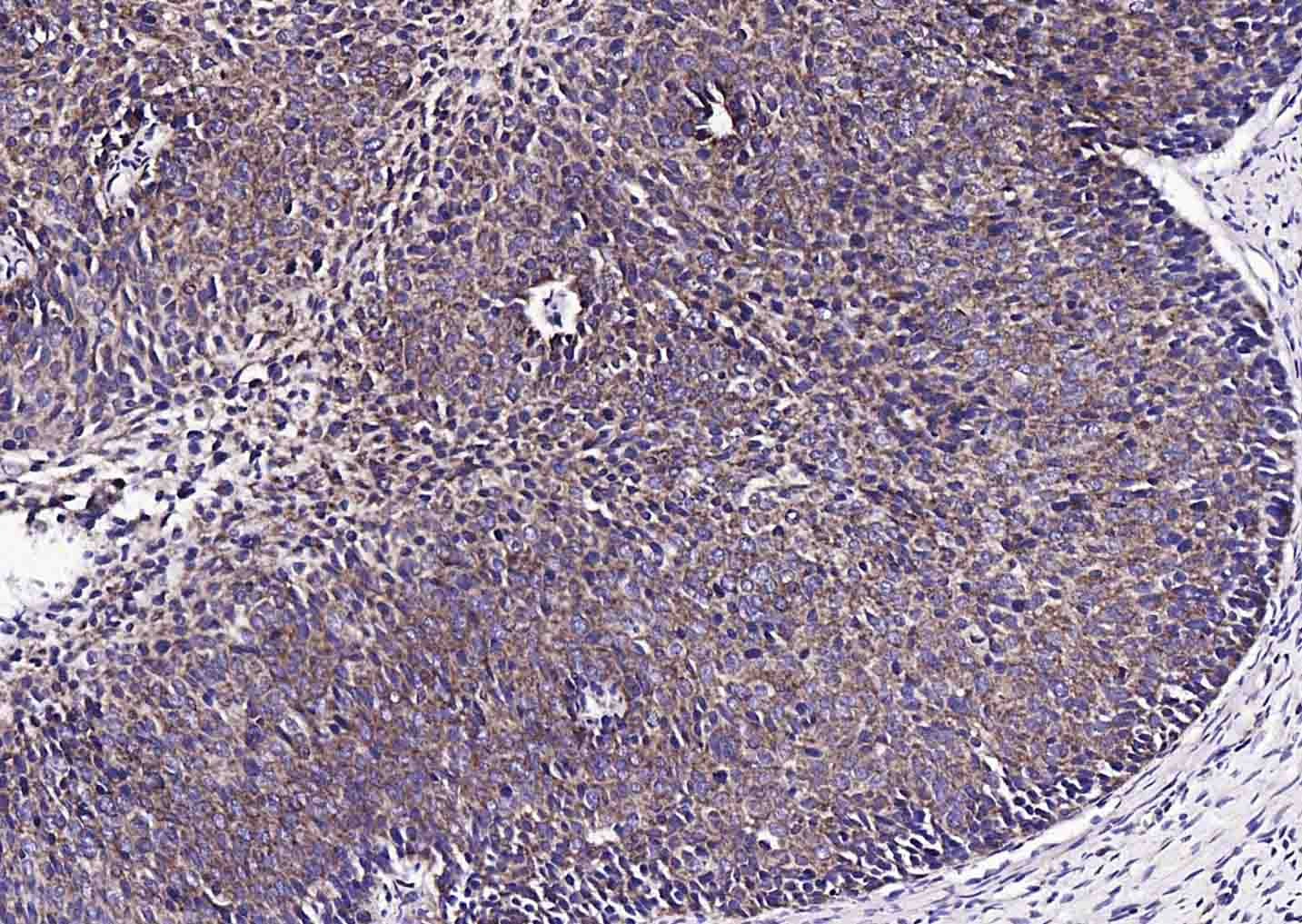
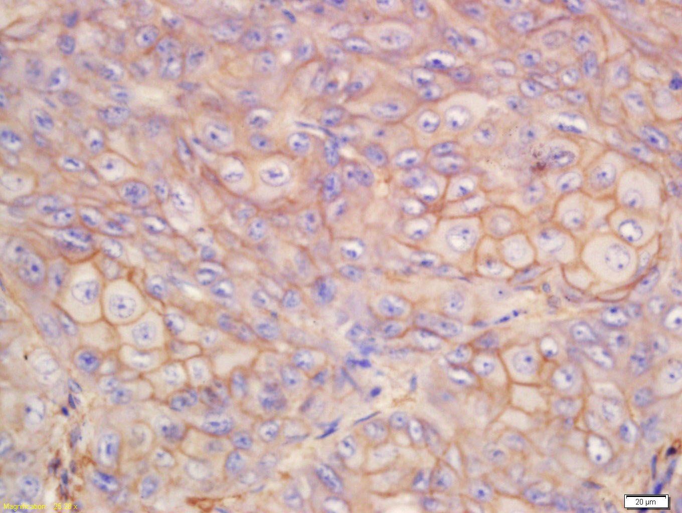
| Verified Activity | 1. Tissue/cell: Human laryngeal tissue; 4% Paraformaldehyde-fixed and paraffin-embedded; Antigen retrieval: citrate buffer (0.01M, pH6.0), Boiling bathing for 15 min; Block endogenous peroxidase by 3% Hydrogen peroxide for 30 min; Blocking buffer (normal goat serum) at 37°C for 20 min; Incubation: Anti-S100A10 Polyclonal Antibody, Unconjugated (TMAB-01642) 1:200, overnight at 4°C, followed by conjugation to the secondary antibody and DAb staining. 2. Sample: Lane 1: Mouse Heart tissue lysates Lane 2: Mouse Heart tissue lysates Primary: Anti-S100A10 (TMAB-01642) at 1/1000 dilution Secondary: IRDye800CW Goat Anti-Rabbit IgG at 1/20000 dilution Predicted band size: 11 kDa Observed band size: 13 kDa 3. Paraformaldehyde-fixed, paraffin embedded (rat kidney); Antigen retrieval by boiling in sodium citrate buffer (pH6.0) for 15 min; Block endogenous peroxidase by 3% hydrogen peroxide for 20 min; Blocking buffer (normal goat serum) at 37°C for 30 min; Incubation with (S100A10) Polyclonal Antibody, Unconjugated (TMAB-01642) at 1:200 overnight at 4°C, followed by operating according to SP Kit (Rabbit) instructionsand DAB staining. 4. Paraformaldehyde-fixed, paraffin embedded (human kidney); Antigen retrieval by boiling in sodium citrate buffer (pH6.0) for 15 min; Block endogenous peroxidase by 3% hydrogen peroxide for 20 min; Blocking buffer (normal goat serum) at 37°C for 30 min; Incubation with (S100A10) Polyclonal Antibody, Unconjugated (TMAB-01642) at 1:200 overnight at 4°C, followed by operating according to SP Kit (Rabbit) instructionsand DAB staining. 5. Paraformaldehyde-fixed, paraffin embedded (mouse kidney); Antigen retrieval by boiling in sodium citrate buffer (pH6.0) for 15 min; Block endogenous peroxidase by 3% hydrogen peroxide for 20 min; Blocking buffer (normal goat serum) at 37°C for 30 min; Incubation with (S100A10) Polyclonal Antibody, Unconjugated (TMAB-01642) at 1:200 overnight at 4°C, followed by operating according to SP Kit (Rabbit) instructionsand DAB staining. 6. Paraformaldehyde-fixed, paraffin embedded (human lung carcinoma); Antigen retrieval by boiling in sodium citrate buffer (pH6.0) for 15 min; Block endogenous peroxidase by 3% hydrogen peroxide for 20 min; Blocking buffer (normal goat serum) at 37°C for 30 min; Incubation with (S100A10) Polyclonal Antibody, Unconjugated (TMAB-01642) at 1:200 overnight at 4°C, followed by operating according to SP Kit (Rabbit) instructionsand DAB staining. 7. Paraformaldehyde-fixed, paraffin embedded (human cervical carcinoma); Antigen retrieval by boiling in sodium citrate buffer (pH6.0) for 15 min; Block endogenous peroxidase by 3% hydrogen peroxide for 20 min; Blocking buffer (normal goat serum) at 37°C for 30 min; Incubation with (S100A10) Polyclonal Antibody, Unconjugated (TMAB-01642) at 1:200 overnight at 4°C, followed by operating according to SP Kit (Rabbit) instructionsand DAB staining. 8. Paraformaldehyde-fixed, paraffin embedded (human colon carcinoma); Antigen retrieval by boiling in sodium citrate buffer (pH6.0) for 15 min; Block endogenous peroxidase by 3% hydrogen peroxide for 20 min; Blocking buffer (normal goat serum) at 37°C for 30 min; Incubation with (S100A10) Polyclonal Antibody, Unconjugated (TMAB-01642) at 1:200 overnight at 4°C, followed by operating according to SP Kit (Rabbit) instructionsand DAB staining. 9. Paraformaldehyde-fixed, paraffin embedded (human gastric carcinoma); Antigen retrieval by boiling in sodium citrate buffer (pH6.0) for 15 min; Block endogenous peroxidase by 3% hydrogen peroxide for 20 min; Blocking buffer (normal goat serum) at 37°C for 30 min; Incubation with (S100A10) Polyclonal Antibody, Unconjugated (TMAB-01642) at 1:200 overnight at 4°C, followed by operating according to SP Kit (Rabbit) instructionsand DAB staining. ![]() ![]() ![]() ![]() ![]() ![]() ![]() ![]() ![]() |
| Application | |
| Recommended Dose | ELISA=1:5000-10000; IF=1:50-200; IHC-Fr=1:50-200; IHC-P=1:50-200; WB=1:500-2000 |
| Antibody Type | Polyclonal |
| Host Species | Rabbit |
| Construction | Polyclonal Antibody |
| Purification | Protein A purified |
| Appearance | Liquid |
| Formulation | 0.01M TBS (pH7.4) with 1% BSA, 0.02% Proclin300 and 50% Glycerol. |
| Concentration | 1 mg/mL |
| Research Background | Because S100A10 induces the dimerization of ANXA2/p36, it may function as a regulator of protein phosphorylation in that the ANXA2 monomer is the preferred target (in vitro) of tyrosine-specific kinase. |
| Immunogen | KLH conjugated synthetic peptide: human S100A10 |
| Antigen Species | Human |
| Gene Name | S100A10 |
| Gene ID | |
| Protein Name | Protein S100-A10 |
| Uniprot ID | |
| Biology Area | Annexins,Calcium Binding Proteins |
| Function | Because S100A10 induces the dimerization of ANXA2/p36, it may function as a regulator of protein phosphorylation in that the ANXA2 monomer is the preferred target (in vitro) of tyrosine-specific kinase. |
| Molecular Weight | Theoretical: 11 kDa. Actual: 13 kDa. |
| Stability & Storage | Store at -20°C or -80°C for 12 months. Avoid repeated freeze-thaw cycles. |
| Transport | Shipping with blue ice. |
| Size | Quantity | Unit Price | Amount | Operation |
|---|

Copyright © 2015-2026 TargetMol Chemicals Inc. All Rights Reserved.