Shopping Cart
Remove All
Your shopping cart is currently empty
Synonyms: RZRG, RORG, RORC, Retinoid-related orphan receptor-gamma, RAR-related orphan receptor C, Nuclear receptor subfamily 1 group F member 3, Nuclear receptor RZR-gamma, Nuclear receptor ROR-gamma, NR1F3
| Pack Size | Price | USA Stock | Global Stock | Quantity |
|---|---|---|---|---|
| 50 μL | $220 | 7-10 days | 7-10 days | |
| 100 μL | $372 | 7-10 days | 7-10 days | |
| 200 μL | $529 | 7-10 days | 7-10 days |
| Description | Anti-RORC Polyclonal Antibody is a Rabbit antibody targeting RORC. Anti-RORC Polyclonal Antibody can be used in FCM, ICC/IF, IF, IHC-Fr, IHC-P, WB. |
| Synonyms | RZRG, RORG, RORC, Retinoid-related orphan receptor-gamma, RAR-related orphan receptor C, Nuclear receptor subfamily 1 group F member 3, Nuclear receptor RZR-gamma, Nuclear receptor ROR-gamma, NR1F3 |
| Ig Type | IgG |
| Reactivity | Mouse,Rat (predicted:Human,Chicken,Dog,Pig,Cow,Horse,Rabbit) |
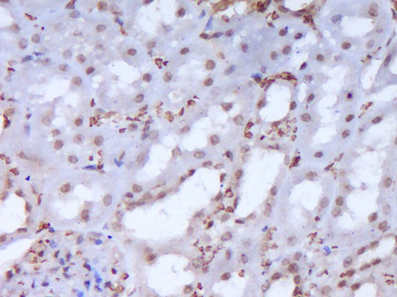
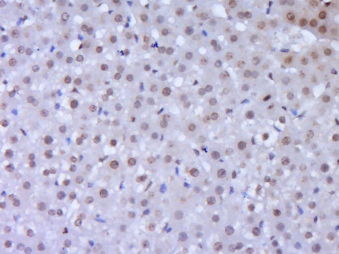
| Verified Activity | 1. Paraformaldehyde-fixed, paraffin embedded (Rat liver); Antigen retrieval by boiling in sodium citrate buffer (pH6.0) for 15 min; Block endogenous peroxidase by 3% hydrogen peroxide for 20 min; Blocking buffer (normal goat serum) at 37°C for 30 min; Antibody incubation with (ROR gamma T) Polyclonal Antibody, Unconjugated (TMAB-01632) at 1:400 overnight at 4°C, followed by operating according to SP Kit (Rabbit) instructionsand DAB staining. 2. Paraformaldehyde-fixed, paraffin embedded (Rat kidney); Antigen retrieval by boiling in sodium citrate buffer (pH6.0) for 15 min; Block endogenous peroxidase by 3% hydrogen peroxide for 20 min; Blocking buffer (normal goat serum) at 37°C for 30 min; Antibody incubation with (ROR gamma T) Polyclonal Antibody, Unconjugated (TMAB-01632) at 1:400 overnight at 4°C, followed by operating according to SP Kit (Rabbit) instructionsand DAB staining. 3. Sample: Liver (Mouse) Lysate at 40 μg Primary: Anti-ROR gamma T (TMAB-01632) at 1/300 dilution Secondary: IRDye800CW Goat Anti-Rabbit IgG at 1/20000 dilution Predicted band size: 54 kDa Observed band size: 54 kDa 4. Sample: Lane1: Mouse Muscle Lysates Lane2: Rat Muscle Lysates Primary: Anti-ROR Gamma (TMAB-01632) at 1/1000 dilution Secondary: IRDye800CW Goat Anti-Rabbit IgG at 1/20000 dilution Predicted band size: 57 kDa Observed band size: 50 kDa |
| Application | |
| Recommended Dose | FCM=1 μg/Test; ICC/IF=1:100-500; IF=1:100-500; IHC-Fr=1:100-500; IHC-P=1:100-500; WB=1:500-2000 |
| Antibody Type | Polyclonal |
| Host Species | Rabbit |
| Subcellular Localization | Nucleus (Probable). |
| Tissue Specificity | Isoform 1: widely expressed in many tissues, including liver and adipose, and highly expressed in skeletal muscle. Isoform 2: Primarily expressed in immature thymocytes. |
| Construction | Polyclonal Antibody |
| Purification | Protein A purified |
| Appearance | Liquid |
| Formulation | 0.01M TBS (pH7.4) with 1% BSA, 0.02% Proclin300 and 50% Glycerol. |
| Concentration | 1 mg/mL |
| Research Background | The protein encoded by this gene is a DNA-binding transcription factor and is a member of the NR1 subfamily of nuclear hormone receptors. The specific functions of this protein are not known; however, studies of a similar gene in mice have shown that this gene may be essential for lymphoid organogenesis and may play an important regulatory role in thymopoiesis. In addition, studies in mice suggest that the protein encoded by this gene may inhibit the expression of Fas ligand and IL2. Two transcript variants encoding different isoforms have been found for this gene. [provided by RefSeq, Jul 2008] |
| Immunogen | KLH conjugated synthetic peptide: mouse RORC |
| Antigen Species | Mouse |
| Gene Name | RORC |
| Gene ID | |
| Protein Name | Nuclear receptor ROR-gamma |
| Uniprot ID | |
| Biology Area | Corticoid,Transcription Factors,Hormones |
| Function | Possible nuclear receptor for hydroxycholesterols, the binding of which strongly promotes coactivators recruitment. Essential for thymopoiesis and the development of several secondary lymphoid tissues, including lymph nodes. Involved in lineage specification of uncommitted CD4(+) T helper cells into Th17 cells. Regulate the expression of several components of the circadian clock. |
| Molecular Weight | Theoretical: 54 kDa. Actual: 57 kDa. |
| Stability & Storage | Store at -20°C or -80°C for 12 months. Avoid repeated freeze-thaw cycles. |
| Transport | Shipping with blue ice. |
| Size | Quantity | Unit Price | Amount | Operation |
|---|

Copyright © 2015-2026 TargetMol Chemicals Inc. All Rights Reserved.