Shopping Cart
Remove All
Your shopping cart is currently empty
Anti-NF-kB p65 Antibody (9K999) is a Mouse antibody targeting NF-kB p65. Anti-NF-kB p65 Antibody (9K999) can be used in IHC,WB.
| Pack Size | Price | USA Warehouse | Global Warehouse | Quantity |
|---|---|---|---|---|
| 50 μL | $218 | 7-10 days | 7-10 days | |
| 100 μL | $316 | 7-10 days | 7-10 days |
| Description | Anti-NF-kB p65 Antibody (9K999) is a Mouse antibody targeting NF-kB p65. Anti-NF-kB p65 Antibody (9K999) can be used in IHC,WB. |
| Synonyms | v-rel avian reticuloendotheliosis viral oncogene homolog A, p65, NFKB3 |
| Clone | 9K999 |
| Reactivity | Human,Mouse,Rat |
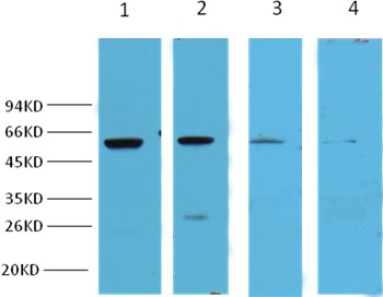
| Verified Activity | 1. Western blot analysis of Hela (lane 1), 293T(lane 2) and HepG (lane 3), using TMAC-02822 diluted at 1:2,000. 2. Western blot analysis of Mouse Heart (lane 1), Rat Heart (lane 2), Rat Liver (lane 3) and Rat Spleen (lane 4), using TMAC-02822 diluted at 1:3,000. 3. IHC staining of mouse hippocampus tissue with NFκB p65 mouse mAb diluted at 1:200. ![]() ![]() ![]() |
| Application | |
| Recommended Dose | WB: 1:1000-3000; IHC: 1:200 |
| Antibody Type | Monoclonal |
| Host Species | Mouse |
| Construction | Hybridoma Monoclonal Antibody |
| Purification | Affinity purification using immunogen. |
| Appearance | Liquid |
| Formulation | Mouse IgG1 in phosphate buffered saline (without Mg2+ and Ca2+), pH 7.4, 150mM NaCl, 0.02% sodium azide and 50% glycerol. |
| Research Background | NFkB p65 is ubiquitinated leading to its proteosomal degradation, which is required for termination of the NFkB response. Phosphorylation of NFkB p65 on S536 stimulates acetylation of K310 by CBP, enhancing transcriptional activity. NFkB p65 is also acetylated at K122, enhancing DNA binding and impairing the interaction with NFKBIA. The protein is deacetylated by HDAC3. Invasion of a host by a pathogen is frequently associated with the activation of NF-kB, which coordinates various aspects of immune function required for resistance to infection. |
| Conjucates | Unconjugated |
| Uniprot ID |
| Molecular Weight | Actual: 65 kDa. |
| Stability & Storage | Store at -20°C or -80°C for 12 months. Avoid repeated freeze-thaw cycles. |
| Transport | Shipping with blue ice. |
| Size | Quantity | Unit Price | Amount | Operation |
|---|

Copyright © 2015-2026 TargetMol Chemicals Inc. All Rights Reserved.