Shopping Cart
Remove All
Your shopping cart is currently empty
Anti-RBP4 Antibody (2C142) is a Rabbit antibody targeting RBP4. Anti-RBP4 Antibody (2C142) can be used in IHC,WB.
| Pack Size | Price | USA Warehouse | Global Warehouse | Quantity |
|---|---|---|---|---|
| 50 μL | $297 | 7-10 days | 7-10 days | |
| 100 μL | $498 | 7-10 days | 7-10 days |
| Description | Anti-RBP4 Antibody (2C142) is a Rabbit antibody targeting RBP4. Anti-RBP4 Antibody (2C142) can be used in IHC,WB. |
| Synonyms | Retinol-Binding Protein 4, RBP4, RBP, PRBP, Plasma Retinol-Binding Protein |
| Ig Type | IgG |
| Clone | 2C142 |
| Reactivity | Human |
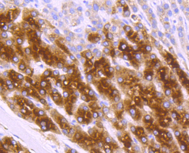
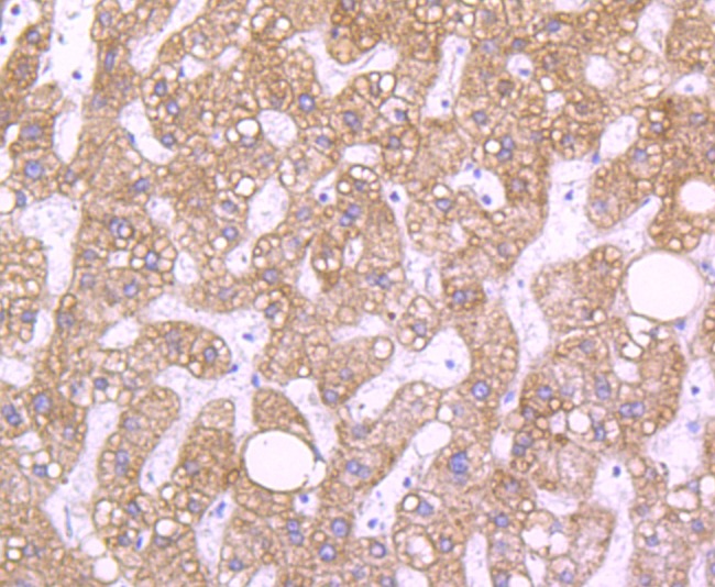
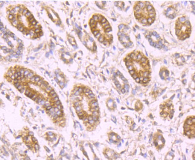
| Verified Activity | 1. Western blot analysis of RBP4 on human serum using anti- RBP4 antibody at 1/1,000 dilution. 2. Immunohistochemical analysis of paraffin-embedded human liver cancer tissue using anti-RBP4 antibody. Counter stained with hematoxylin. 3. Immunohistochemical analysis of paraffin-embedded human kidney tissue using anti- RBP4 antibody. Counter stained with hematoxylin. 4. Immunohistochemical analysis of paraffin-embedded human liver tissue using anti- RBP4 antibody. Counter stained with hematoxylin. ![]() ![]() ![]() ![]() |
| Application | |
| Recommended Dose | WB: 1:500-2000; IHC: 1:50-200 |
| Antibody Type | Monoclonal |
| Host Species | Rabbit |
| Construction | Recombinant Antibody |
| Purification | ProA affinity purified |
| Appearance | Liquid |
| Formulation | 1*TBS (pH7.4), 1%BSA, 40%Glycerol. Preservative: 0.05% Sodium Azide. |
| Research Background | Retinol (Vitamin A) is transported in the blood bound to its carrier protein, retinol-binding protein (RBP), also designated plasma retinol-binding protein (PRBP) or RBP4. A member of the lipocalin family, RBP conveys retinol from stores in the liver to peripheral tissues. In plasma, RBP binds transthyretin (TTR, formerly called prealbumin) to prevent glomerular filtration of low molecular weight RBP in the kidneys. The stability of this complex holds diagnostic importance because the molar ratio of RBP:TTR provides an indirect way to indicate marginal vitamin A deficiency. Vitamin A deficiency blocks the secretion of RBP resulting in defective delivery and supply to epidermal cells. Originally identified solely as a transporter protein, recent studies correlating increased levels of RBP expression in adipose tissue with insulin resistance have generated research into the possible roles the protein |
| Conjucates | Unconjugated |
| Immunogen | Recombinant Protein |
| Uniprot ID |
| Molecular Weight | Theoretical: 23 kDa. |
| Stability & Storage | Store at -20°C or -80°C for 12 months. Avoid repeated freeze-thaw cycles. |
| Transport | Shipping with blue ice. |
| Size | Quantity | Unit Price | Amount | Operation |
|---|

Copyright © 2015-2026 TargetMol Chemicals Inc. All Rights Reserved.