Shopping Cart
Remove All
Your shopping cart is currently empty
Synonyms: Retinoblastoma-associated protein, Retinoblastoma, RB1, RB transcriptional corepressor 1, RB, pRb (Rb), pRb, PPP1R130, pp110, p110-RB1, p105-Rb, OSRC
| Pack Size | Price | USA Stock | Global Stock | Quantity |
|---|---|---|---|---|
| 50 μL | $303 | 7-10 days | 7-10 days | |
| 100 μL | $497 | 7-10 days | 7-10 days |
| Description | Anti-RB1 Antibody (6K434) is a Rabbit antibody targeting RB1. Anti-RB1 Antibody (6K434) can be used in ICC/IF,IHC,IP,WB. |
| Synonyms | Retinoblastoma-associated protein, Retinoblastoma, RB1, RB transcriptional corepressor 1, RB, pRb (Rb), pRb, PPP1R130, pp110, p110-RB1, p105-Rb, OSRC |
| Ig Type | IgG |
| Clone | 6K434 |
| Reactivity | Human,Mouse |
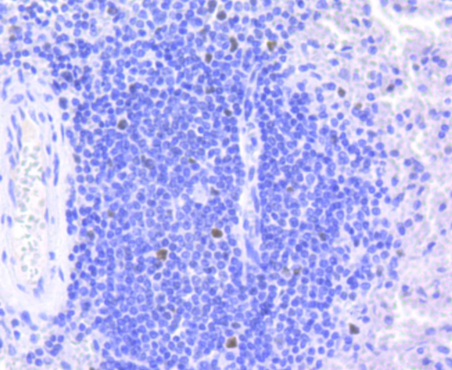
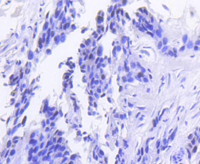
| Verified Activity | 1. Immunohistochemical analysis of paraffin-embedded human spleen tissue using anti-Rb antibody. Counter stained with hematoxylin. 2. Immunohistochemical analysis of paraffin-embedded human breast carcinoma tissue using anti-Rb antibody. Counter stained with hematoxylin. |
| Application | |
| Recommended Dose | WB: 1:500-1000; IHC: 1:50-200; ICC/IF: 1:50-200 |
| Antibody Type | Monoclonal |
| Host Species | Rabbit |
| Construction | Recombinant Antibody |
| Purification | ProA affinity purified |
| Appearance | Liquid |
| Formulation | 1*TBS (pH7.4), 1%BSA, 40%Glycerol. Preservative: 0.05% Sodium Azide. |
| Research Background | Pediatric cancer retinoblastoma and the formation of other human tumors can be attributed to mutations in the retinoblastoma tumor suppressor gene. The retinoblastoma tumor suppressor gene product, known as Rb or pRb, regulates differentiation, apoptosis and cell cycle control by coordinating the cell cycle, at G1/S, with transcriptional machinery that includes the heterodimeric E2F family. During G1, cyclin D (D1, D2, D3)-dependent kinase-mediated phosphorylation of Rb at Ser 795 marks the conversion of Rb from a transcriptionally repressive, hypophosphorylated state to an inactive, phosphorylated state, which may be sustained through mitosis by differential phosphorylation of up to 16 putative serine or threonine residues, including Ser 249/Thr 252, Thr 373, Thr 356, Ser 780, Ser 807/Ser 811 and Thr 821/Thr 826. Hypophosphorylated Rb represses the transcription of genes controlling cell cycle through direct protein-protein interactions, by binding and inactivating the promoters of transcription factors, and through recruitment of histone deacetylase, which deacetylates promoter regions and enhances nucleosome formation, thereby masking transcription enhancing cis elements. |
| Conjucates | Unconjugated |
| Immunogen | Recombinant Protein |
| Uniprot ID |
| Molecular Weight | Theoretical: 105 kDa. |
| Stability & Storage | Store at -20°C or -80°C for 12 months. Avoid repeated freeze-thaw cycles. |
| Transport | Shipping with blue ice. |
| Size | Quantity | Unit Price | Amount | Operation |
|---|

Copyright © 2015-2026 TargetMol Chemicals Inc. All Rights Reserved.