Shopping Cart
Remove All
Your shopping cart is currently empty
Anti-RAD51 Polyclonal Antibody is a Rabbit antibody targeting RAD51. Anti-RAD51 Polyclonal Antibody can be used in FCM, IF, IHC-Fr, IHC-P, WB.
| Pack Size | Price | USA Stock | Global Stock | Quantity |
|---|---|---|---|---|
| 50 μL | $221 | 7-10 days | 7-10 days | |
| 100 μL | $373 | 7-10 days | 7-10 days | |
| 200 μL | $527 | 7-10 days | 7-10 days |
| Description | Anti-RAD51 Polyclonal Antibody is a Rabbit antibody targeting RAD51. Anti-RAD51 Polyclonal Antibody can be used in FCM, IF, IHC-Fr, IHC-P, WB. |
| Synonyms | recombination protein A, RecA, E. coli, homolog of, RecA like protein, RecA homolog E. coli, RECA, RAD51A, RAD51 S cerevisiae homolog, RAD51 homolog(RecA homolog, E. coli)(S. cerevisiae), RAD51 homolog S. cerevisiae, RAD51 homolog, Rad 51, HsT16930, HsRad51, HRAD51, homolog of S cerevisiae RAD51, Homolog of E coli RecA, HGNC:9817, E coli RecA homolog, DNA repair protein rhp51, DNA repair protein RAD51 homolog 1, BRCC5, BRCC 5, BRCA1/BRCA2 containing complex, subunit 5 |
| Ig Type | IgG |
| Reactivity | Human,Mouse,Rat (predicted:Pig,Cow,Horse,Rabbit) |
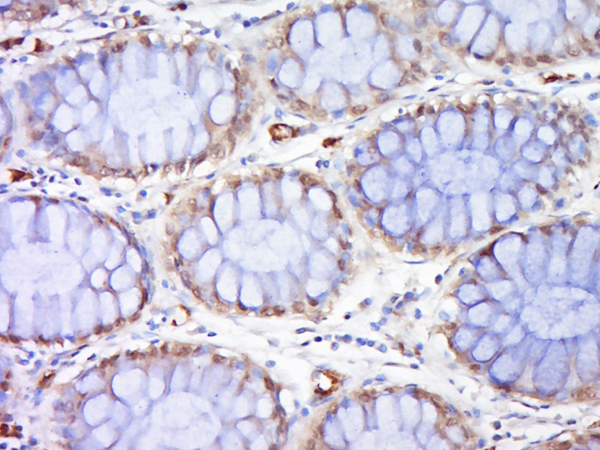
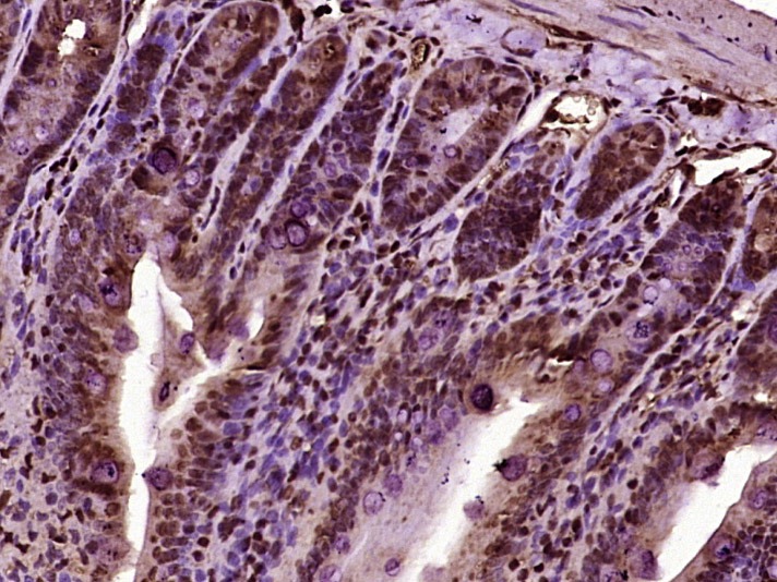
| Verified Activity | 1. Paraformaldehyde-fixed, paraffin embedded (mouse intestine tissue); Antigen retrieval by boiling in sodium citrate buffer (pH6.0) for 15 min; Block endogenous peroxidase by 3% hydrogen peroxide for 20 min; Blocking buffer (normal goat serum) at 37°C for 30 min; Antibody incubation with (Rad51) Polyclonal Antibody, Unconjugated (TMAB-01603) at 1:400 overnight at 4°C, followed by operating according to SP Kit (Rabbit) instructionsand DAB staining. 2. Sample: Hela (human) cell Lysate at 40 μg Primary: Anti-Rad51 (TMAB-01603) at 1/300 dilution Secondary: IRDye800CW Goat Anti-Rabbit IgG at 1/20000 dilution Predicted band size: 37 kDa Observed band size: 37 kDa 3. Sample: Bone (mouse) Lysate at 40 μg Primary: Anti-Rad51 (TMAB-01603) at 1/300 dilution Secondary: IRDye800CW Goat Anti-Rabbit IgG at 1/20000 dilution Predicted band size: 37 kDa Observed band size: 37 kDa 4. Paraformaldehyde-fixed, paraffin embedded (Rat testis); Antigen retrieval by boiling in sodium citrate buffer (pH6.0) for 15 min; Block endogenous peroxidase by 3% hydrogen peroxide for 20 min; Blocking buffer (normal goat serum) at 37°C for 30 min; Antibody incubation with (Rad51) Polyclonal Antibody, Unconjugated (TMAB-01603) at 1:400 overnight at 4°C, followed by operating according to SP Kit (Rabbit) instructionsand DAB staining. 5. Paraformaldehyde-fixed, paraffin embedded (human colon cancer); Antigen retrieval by boiling in sodium citrate buffer (pH6.0) for 15 min; Block endogenous peroxidase by 3% hydrogen peroxide for 20 min; Blocking buffer (normal goat serum) at 37°C for 30 min; Antibody incubation with (Rad51) Polyclonal Antibody, Unconjugated (TMAB-01603) at 1:500 overnight at 4°C, followed by a conjugated secondary for 20 min and DAB staining. 6. Blank control (black line): Hela. Primary Antibody (green line): Rabbit Anti-Rad51 antibody (TMAB-01603) Dilution: 2 μg/Test; Secondary Antibody (white blue line): Goat anti-rabbit IgG-FITC Dilution: 0.5 μg/Test. Isotype control (orange line): Normal Rabbit IgG Protocol The cells were fixed with 4% PFA (10 min at room temperature) and then permeabilized with 90% ice-cold methanol for 20 min at-20°C, The cells were then incubated in 5% BSA to block non-specific protein-protein interactions for 30 min at room temperature. Cells stained with Primary Antibody for 30 min at room temperature. The secondary antibody used for 40 min at room temperature. 7. Hela cell; 4% Paraformaldehyde-fixed; Triton X-100 at room temperature for 20 min; Blocking buffer (normal goat serum) at 37°C for 20 min; Antibody incubation with (Rad51) polyclonal Antibody, Unconjugated (TMAB-01603) 1:25, 90 minutes at 37°C; followed by a conjugated Goat Anti-Rabbit IgG antibody at 37°C for 90 minutes, DAPI (blue) was used to stain the cell nucleus. ![]() ![]() ![]() ![]() ![]() ![]() ![]() |
| Application | |
| Recommended Dose | FCM=2 μg/Test; IF=1:100-500; IHC-Fr=1:100-500; IHC-P=1:100-500; WB=1:500-2000 |
| Antibody Type | Polyclonal |
| Host Species | Rabbit |
| Subcellular Localization | Nucleus. Cytoplasm. Cytoplasm, perinuclear region. Mitochondrion matrix. Note=Colocalizes with RAD51AP1 and RPA2 to multiple nuclear foci upon induction of DNA damage. DNA damage induces an increase in nuclear levels. |
| Tissue Specificity | Highly expressed in testis and thymus, followed by small intestine, placenta, colon, pancreas and ovary. Weakly expressed in breast. |
| Construction | Polyclonal Antibody |
| Purification | Protein A purified |
| Appearance | Liquid |
| Formulation | Preservative: 0.02% Proclin300, Constituents: 1% BSA, 0.01M PBS, pH7.4. |
| Concentration | 1 mg/mL |
| Research Background | The protein encoded by this gene is a member of the RAD51 protein family. RAD51 family members are highly similar to bacterial RecA and Saccharomyces cerevisiae Rad51, and are known to be involved in the homologous recombination and repair of DNA. This protein can interact with the ssDNA-binding protein RPA and RAD52, and it is thought to play roles in homologous pairing and strand transfer of DNA. This protein is also found to interact with BRCA1 and BRCA2, which may be important for the cellular response to DNA damage. BRCA2 is shown to regulate both the intracellular localization and DNA-binding ability of this protein. Loss of these controls following BRCA2 inactivation may be a key event leading to genomic instability and tumorigenesis. Two alternatively spliced transcript variants of this gene, which encode distinct proteins, have been reported. Transcript variants utilizing alternative polyA signals exist. |
| Immunogen | KLH conjugated synthetic peptide: human Rad51 |
| Antigen Species | Human |
| Gene Name | RAD51 |
| Gene ID | |
| Protein Name | DNA repair protein RAD51 homolog 1 |
| Uniprot ID | |
| Biology Area | Homologous Recomb. |
| Function | Participates in a common DNA damage response pathway associated with the activation of homologous recombination and double-strand break repair. Binds to single and double stranded DNA and exhibits DNA-dependent ATPase activity. Underwinds duplex DNA and forms helical nucleoprotein filaments. Plays a role in regulating mitochondrial DNA copy number under conditions of oxidative stress in the presence of RAD51C and XRCC3. |
| Molecular Weight | Theoretical: 37 kDa. Actual: 37 kDa. |
| Stability & Storage | Store at -20°C or -80°C for 12 months. Avoid repeated freeze-thaw cycles. |
| Transport | Shipping with blue ice. |
| Size | Quantity | Unit Price | Amount | Operation |
|---|

Copyright © 2015-2026 TargetMol Chemicals Inc. All Rights Reserved.