Shopping Cart
Remove All
Your shopping cart is currently empty
Anti-Proteasome 20S C2 Antibody (1C993) is a Rabbit antibody targeting Proteasome 20S C2. Anti-Proteasome 20S C2 Antibody (1C993) can be used in FCM,IHC,IP,WB.
| Pack Size | Price | USA Warehouse | Global Warehouse | Quantity |
|---|---|---|---|---|
| 50 μL | $297 | 7-10 days | 7-10 days | |
| 100 μL | $498 | 7-10 days | 7-10 days |
| Description | Anti-Proteasome 20S C2 Antibody (1C993) is a Rabbit antibody targeting Proteasome 20S C2. Anti-Proteasome 20S C2 Antibody (1C993) can be used in FCM,IHC,IP,WB. |
| Synonyms | psmA1, PSMA 1, PSC2, PSC 2, PSA1_HUMAN, Protein P30 33K, Proteasome subunit nu, Proteasome subunit alpha type-1, Proteasome subunit alpha type I, Proteasome subunit alpha type 1, Proteasome nu chain, Proteasome component C2, Proteasome alpha 1 subunit, Proteasome (prosome macropain) subunit alpha type 1, PROS-30, PROS30, PROS 30, NU, Multicatalytic endopeptidase complex subunit C2, MGC23915, MGC22853, MGC21459, MGC1667, MGC14751, MGC14575, MGC14542, Macropain subunit nu, Macropain subunit C2, HC2, HC 2, 30 kDa prosomal protein |
| Ig Type | IgG |
| Clone | 1C993 |
| Reactivity | Human,Mouse,Rat |
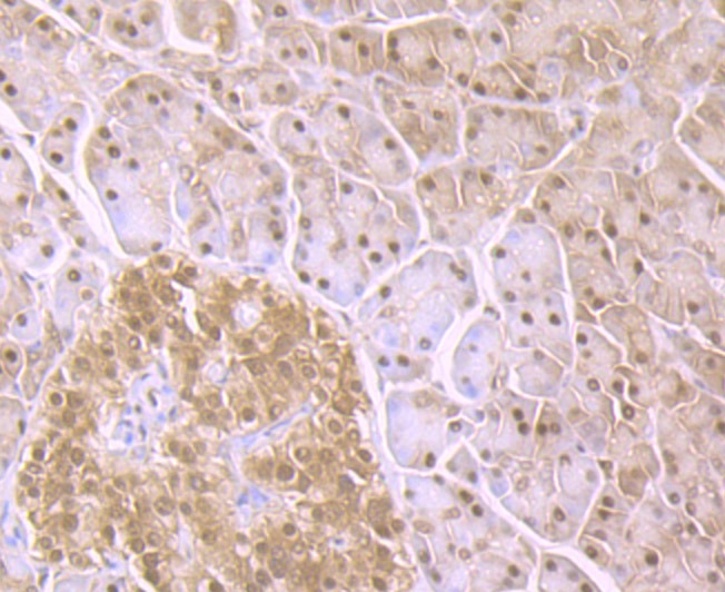
| Verified Activity | 1. Western blot analysis of Proteasome 20S C2 on different lysates using anti-Proteasome 20S C2 antibody at 1/500 dilution. Positive control: Lane 1: PC-3M, Lane 2: K562, Lane 3: Rat testis, Lane 4: Mouse testis, Lane 5: Mouse colon. 2. Immunohistochemical analysis of paraffin-embedded human pancreas tissue using anti-Proteasome 20S C2 antibody. Counter stained with hematoxylin. 3. Immunohistochemical analysis of paraffin-embedded rat testis tissue using anti-Proteasome 20S C2 antibody. Counter stained with hematoxylin. 4. Immunohistochemical analysis of paraffin-embedded mouse cerebellum tissue using anti-Proteasome 20S C2 antibody. Counter stained with hematoxylin. 5. Immunohistochemical analysis of paraffin-embedded human liver cancer tissue using anti-Proteasome 20S C2 antibody. Counter stained with hematoxylin. 6. Flow cytometric analysis of K562 cells with Proteasome 20S C2 antibody at 1/100 dilution (red) compared with an unlabelled control (cells without incubation with primary antibody; black). Alexa Fluor 488-conjugated goat anti rabbit IgG was used as the secondary antibody. ![]() ![]() ![]() ![]() ![]() ![]() |
| Application | |
| Recommended Dose | WB: 1:500-2000; IHC: 1:50-200; ICC: 1:50-200; FCM: 1:50-100 |
| Antibody Type | Monoclonal |
| Host Species | Rabbit |
| Construction | Recombinant Antibody |
| Purification | ProA affinity purified |
| Appearance | Liquid |
| Formulation | 1*TBS (pH7.4), 1%BSA, 40%Glycerol. Preservative: 0.05% Sodium Azide. |
| Research Background | Component of the 20S core proteasome complex involved in the proteolytic degradation of most intracellular proteins. This complex plays numerous essential roles within the cell by associating with different regulatory particles. Associated with two 19S regulatory particles, forms the 26S proteasome and thus participates in the ATP-dependent degradation of ubiquitinated proteins. The 26S proteasome plays a key role in the maintenance of protein homeostasis by removing misfolded or damaged proteins that could impair cellular functions, and by removing proteins whose functions are no longer required. Associated with the PA200 or PA28, the 20S proteasome mediates ubiquitin-independent protein degradation. This type of proteolysis is required in several pathways including spermatogenesis (20S-PA200 complex) or generation of a subset of MHC class I-presented antigenic peptides (20S-PA28 complex). |
| Conjucates | Unconjugated |
| Immunogen | Recombinant Protein |
| Uniprot ID |
| Molecular Weight | Theoretical: 30 kDa. |
| Stability & Storage | Store at -20°C or -80°C for 12 months. Avoid repeated freeze-thaw cycles. |
| Transport | Shipping with blue ice. |
| Size | Quantity | Unit Price | Amount | Operation |
|---|

Copyright © 2015-2026 TargetMol Chemicals Inc. All Rights Reserved.