Shopping Cart
Remove All
Your shopping cart is currently empty
Anti-Progesterone Receptor Antibody (9Z37) is a Rabbit antibody targeting Progesterone Receptor. Anti-Progesterone Receptor Antibody (9Z37) can be used in ICC/IF,IHC,IP,WB.
| Pack Size | Price | USA Warehouse | Global Warehouse | Quantity |
|---|---|---|---|---|
| 50 μL | $297 | 7-10 days | 7-10 days | |
| 100 μL | $498 | 7-10 days | 7-10 days |
| Description | Anti-Progesterone Receptor Antibody (9Z37) is a Rabbit antibody targeting Progesterone Receptor. Anti-Progesterone Receptor Antibody (9Z37) can be used in ICC/IF,IHC,IP,WB. |
| Synonyms | Progestin receptor form B, Progestin receptor form A, Progesterone receptor, PRGR, PRB, PRA, PR, PGR, Nuclear receptor subfamily 3 group C member 3, NR3C3 |
| Ig Type | IgG |
| Clone | 9Z37 |
| Reactivity | Human |
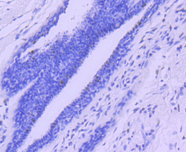
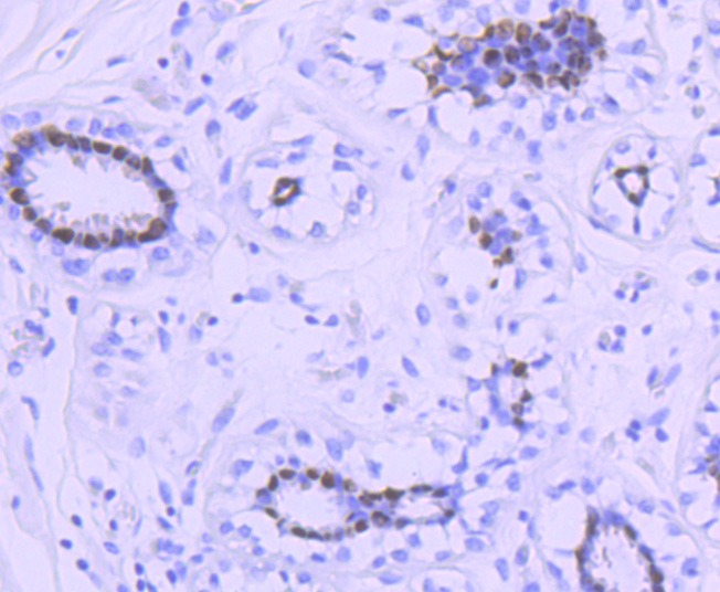
| Verified Activity | 1. Immunohistochemical analysis of paraffin-embedded human breast tissue using anti-Progesterone Receptor antibody. Counter stained with hematoxylin. 2. Immunohistochemical analysis of paraffin-embedded human breast carcinoma tissue using anti-Progesterone Receptor antibody. Counter stained with hematoxylin. 3. Immunohistochemical analysis of paraffin-embedded human uterus tissue using anti-Progesterone Receptor antibody. Counter stained with hematoxylin. 4. ICC staining Progesterone Receptor in MCF-7 cells (green). The nuclear counter stain is DAPI (blue). Cells were fixed in paraformaldehyde, permeabilised with 0.25% Triton X100/PBS. ![]() ![]() ![]() ![]() |
| Application | |
| Recommended Dose | WB: 1:1000; IHC: 1:50-200; ICC/IF: 1:50-200 |
| Antibody Type | Monoclonal |
| Host Species | Rabbit |
| Construction | Recombinant Antibody |
| Purification | ProA affinity purified |
| Appearance | Liquid |
| Formulation | 1*TBS (pH7.4), 1%BSA, 40%Glycerol. Preservative: 0.05% Sodium Azide. |
| Research Background | The effects of progesterone are mediated by two functionally different isoforms of the progesterone receptor, PR-A and PR-B, which are transcribed from distinct, estrogen-inducible promoters within a single copy of the PR gene. The first 164 amino acids of PR-B are absent in PR-A. Progesterone-bound PR-A and PR-B have different transcription activation properties. Specifically, PR-B functions as a transcriptional activator in most cell and promoter contexts, while PR-A is transcriptionally inactive and functions as a strong ligand-dependent transdominant repressor of steroid hormone receptor transcriptional activity. An inhibitory domain (ID), which maps to the amino terminus of the receptor, exists within both PR isoforms. Interestingly, the ID is functionally active only in PR-A and is necessary for steroid hormone transrepression by PR-A, suggesting that PR-A and PR-B may have different conformations in the cell. Phosphorylation of human PR occurs on at least nine serine residues. Phosphorylation of three of the residues is hormone-inducible (Ser 102, Ser 294 and Ser 345); the others are basal but hormone-stimulated. |
| Conjucates | Unconjugated |
| Immunogen | Recombinant Protein |
| Uniprot ID |
| Molecular Weight | Theoretical: 99 kDa. |
| Stability & Storage | Store at -20°C or -80°C for 12 months. Avoid repeated freeze-thaw cycles. |
| Transport | Shipping with blue ice. |
| Size | Quantity | Unit Price | Amount | Operation |
|---|

Copyright © 2015-2026 TargetMol Chemicals Inc. All Rights Reserved.