Shopping Cart
Remove All
Your shopping cart is currently empty
Anti-Profilin-1 Antibody (1I976) is a Rabbit antibody targeting Profilin-1. Anti-Profilin-1 Antibody (1I976) can be used in FCM,ICC,IHC,WB.
| Pack Size | Price | USA Warehouse | Global Warehouse | Quantity |
|---|---|---|---|---|
| 50 μL | $298 | 7-10 days | 7-10 days | |
| 100 μL | $496 | 7-10 days | 7-10 days |
| Description | Anti-Profilin-1 Antibody (1I976) is a Rabbit antibody targeting Profilin-1. Anti-Profilin-1 Antibody (1I976) can be used in FCM,ICC,IHC,WB. |
| Synonyms | Profilin-1, Profilin I, PFN1, Epididymis tissue protein Li 184a |
| Ig Type | IgG |
| Clone | 1I976 |
| Reactivity | Human,Mouse,Rat |
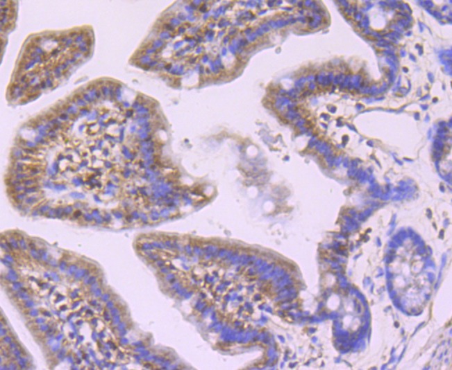
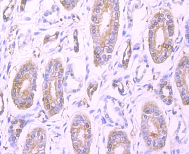
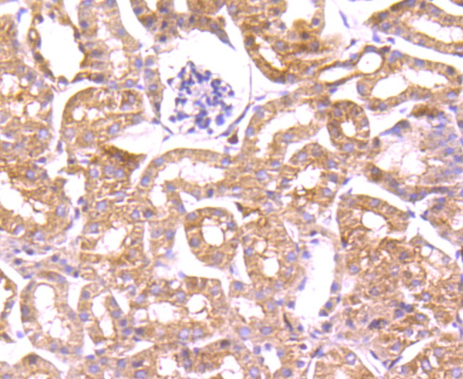
| Verified Activity | 1. Western blot analysis of Profilin 1 on Hela cell using anti-Profilin 1 antibody at 1/1,000 dilution. 2. Immunohistochemical analysis of paraffin-embedded human kidney tissue using anti-Profilin 1 antibody. Counter stained with hematoxylin. 3. Immunohistochemical analysis of paraffin-embedded mouse colon tissue using anti-Profilin 1 antibody. Counter stained with hematoxylin. 4. Immunohistochemical analysis of paraffin-embedded mouse kidney tissue using anti-Profilin 1 antibody. Counter stained with hematoxylin. 5. ICC staining Profilin 1 in A549 cells (green). The nuclear counter stain is DAPI (blue). Cells were fixed in paraformaldehyde, permeabilised with 0.25% Triton X100/PBS. 6. ICC staining Profilin 1 in Hela cells (green). The nuclear counter stain is DAPI (blue). Cells were fixed in paraformaldehyde, permeabilised with 0.25% Triton X100/PBS. 7. ICC staining Profilin 1 in HepG2 cells (green). The nuclear counter stain is DAPI (blue). Cells were fixed in paraformaldehyde, permeabilised with 0.25% Triton X100/PBS. 8. Flow cytometric analysis of Hela cells with Profilin 1 antibody at 1/100 dilution (red) compared with an unlabelled control (cells without incubation with primary antibody; black). ![]() ![]() ![]() ![]() ![]() ![]() ![]() ![]() |
| Application | |
| Recommended Dose | WB: 1:500-2000; IHC: 1:50-200; ICC: 1:50-200; FCM: 1:50-100 |
| Antibody Type | Monoclonal |
| Host Species | Rabbit |
| Construction | Recombinant Antibody |
| Purification | ProA affinity purified |
| Appearance | Liquid |
| Formulation | 1*TBS (pH7.4), 1%BSA, 40%Glycerol. Preservative: 0.05% Sodium Azide. |
| Research Background | Profilins regulate Actin polymerization by binding to and sequestering the Actin monomer. Profilins act as a nucleotide exchange factor that charges Actin with ATP after binding the Actin monomer through a 1:1 stoichiometric relationship. Human Profilin-1 and Profilin-2 are encoded by two separate genes mapping to chromosomes 17p13.2 and 3q25.1, respectively. Both Profilin-1 and Profilin-2 are abundantly expressed in kidney. Profilin-1 is highly expressed in lung, liver, placenta and kidney while Profilin-2 is highly expressed in brain and skeletal muscle. In axonal and dendritic processes of mouse brain, Profilins co-localize with dynamin I and synapsin. Profilin may play a role in mediating cell adhesion. The overexpression of Profilin in endothelial cells results in increased adhesion to Fibronectin. In food allergy, plant Profilin is considered a pan-allergen. Case studies indicate individuals with allergies to various foods including celery, carrots, zucchini and peanuts are actually sensitive to the Profilin proteins in these foods. |
| Conjucates | Unconjugated |
| Immunogen | Recombinant Protein |
| Uniprot ID |
| Molecular Weight | Theoretical: 15 kDa. |
| Stability & Storage | Store at -20°C or -80°C for 12 months. Avoid repeated freeze-thaw cycles. |
| Transport | Shipping with blue ice. |
| Size | Quantity | Unit Price | Amount | Operation |
|---|

Copyright © 2015-2026 TargetMol Chemicals Inc. All Rights Reserved.