Shopping Cart
Remove All
Your shopping cart is currently empty
Synonyms: Protein kinase C zeta, Protein kinase C gamma, Protein kinase C epsilon, Protein kinase C delta, Protein kinase C beta, Protein kinase C alpha, Protein kinase C, PRKCZ, PRKCG, PRKCE, PRKCD, PRKCB2, PRKCB1, PRKCB, PRKCA, PKCG, PKCE, PKCD, PKCB, PKC-alpha, PKC-A, PKCA, PKC2, PKC zeta, PKC gamma, PKC epsilon, PKC delta, PKC beta, PKC alpha, KPCA_HUMAN
| Pack Size | Price | USA Stock | Global Stock | Quantity |
|---|---|---|---|---|
| 50 μL | $296 | 7-10 days | 7-10 days | |
| 100 μL | $498 | 7-10 days | 7-10 days |
| Description | Anti-PRKCA Antibody (6S104) is a Rabbit antibody targeting PRKCA. Anti-PRKCA Antibody (6S104) can be used in FCM,ICC/IF,IHC,IP,WB. |
| Synonyms | Protein kinase C zeta, Protein kinase C gamma, Protein kinase C epsilon, Protein kinase C delta, Protein kinase C beta, Protein kinase C alpha, Protein kinase C, PRKCZ, PRKCG, PRKCE, PRKCD, PRKCB2, PRKCB1, PRKCB, PRKCA, PKCG, PKCE, PKCD, PKCB, PKC-alpha, PKC-A, PKCA, PKC2, PKC zeta, PKC gamma, PKC epsilon, PKC delta, PKC beta, PKC alpha, KPCA_HUMAN |
| Ig Type | IgG |
| Clone | 6S104 |
| Reactivity | Human,Mouse,Rat |
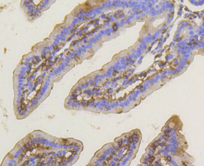
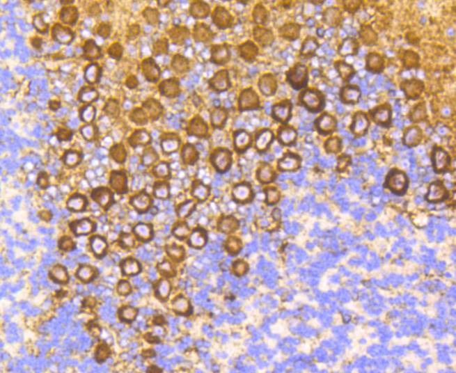
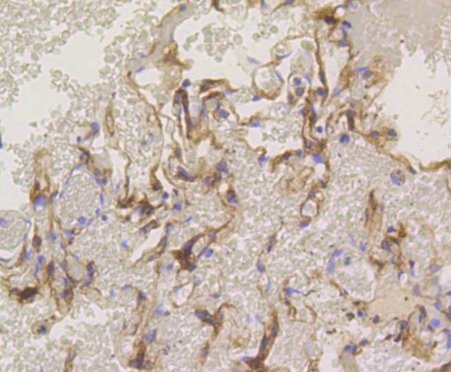
| Verified Activity | 1. Western blot analysis of PKC alpha on different lysates using anti-PKC alpha antibody at 1/1,000 dilution. Positive control: Lane 1: K562, Lane 2: 293. 2. Immunohistochemical analysis of paraffin-embedded mouse heart tissue using anti-PKC alpha antibody. Counter stained with hematoxylin. 3. Immunohistochemical analysis of paraffin-embedded human lung tissue using anti-PKC alpha antibody. Counter stained with hematoxylin. 4. Immunohistochemical analysis of paraffin-embedded mouse brain tissue using anti-PKC alpha antibody. Counter stained with hematoxylin. 5. Immunohistochemical analysis of paraffin-embedded mouse small intestine tissue using anti-PKC alpha antibody. Counter stained with hematoxylin. 6. ICC staining PKC alpha in Hela cells (green). The nuclear counter stain is DAPI (blue). Cells were fixed in paraformaldehyde, permeabilised with 0.25% Triton X100/PBS. 7. ICC staining PKC alpha in MCF-7 cells (green). The nuclear counter stain is DAPI (blue). Cells were fixed in paraformaldehyde, permeabilised with 0.25% Triton X100/PBS. 8. ICC staining PKC alpha in CRC cells (green). The nuclear counter stain is DAPI (blue). Cells were fixed in paraformaldehyde, permeabilised with 0.25% Triton X100/PBS. 9. ICC staining PKC alpha in A549 cells (green). The nuclear counter stain is DAPI (blue). Cells were fixed in paraformaldehyde, permeabilised with 0.25% Triton X100/PBS. 10. ICC staining PKC alpha in PC12 cells (green). The nuclear counter stain is DAPI (blue). Cells were fixed in paraformaldehyde, permeabilised with 0.25% Triton X100/PBS. 11. Flow cytometric analysis of Hela cells with PKC alpha antibody at 1/50 dilution (blue) compared with an unlabelled control (cells without incubation with primary antibody; red). Alexa Fluor 488-conjugated goat anti rabbit IgG was used as the secondary antibody. |
| Application | |
| Recommended Dose | WB: 1:1000-2000; IHC: 1:50-200; ICC/IF: 1:50-200; IP: 1:10-50; FCM: 1:50-100 |
| Antibody Type | Monoclonal |
| Host Species | Rabbit |
| Construction | Recombinant Antibody |
| Purification | ProA affinity purified |
| Appearance | Liquid |
| Formulation | 1*TBS (pH7.4), 1%BSA, 40%Glycerol. Preservative: 0.05% Sodium Azide. |
| Research Background | Members of the protein kinase C (PKC) family play a key regulatory role in a variety of cellular functions including cell growth and differentiation, gene expression, hormone secretion and membrane function. PKCs were originally identified as serine/threonine protein kinases whose activity was dependent on calcium and phospholipids. Diacylglycerols (DAG) and tumor-promoting phorbol esters bind to and activate PKC. PKCs can be subdivided into many different isoforms. Patterns of expression for each PKC isoform differ among tissues and PKC family members exhibit clear differences in their cofactor dependencies. For instance, the kinase activities of PKC and ?? are independent of Ca2+. On the other hand, most of the other PKC members possess phorbol ester-binding activities and kinase activities. |
| Conjucates | Unconjugated |
| Immunogen | Recombinant Protein |
| Uniprot ID |
| Molecular Weight | Theoretical: 75 kDa. |
| Stability & Storage | Store at -20°C or -80°C for 12 months. Avoid repeated freeze-thaw cycles. |
| Transport | Shipping with blue ice. |
| Size | Quantity | Unit Price | Amount | Operation |
|---|

Copyright © 2015-2026 TargetMol Chemicals Inc. All Rights Reserved.