Shopping Cart
Remove All
Your shopping cart is currently empty
Anti-Podoplanin Polyclonal Antibody is a Rabbit antibody targeting Podoplanin. Anti-Podoplanin Polyclonal Antibody can be used in IF,IHC-Fr,IHC-P,WB.
| Pack Size | Price | USA Warehouse | Global Warehouse | Quantity |
|---|---|---|---|---|
| 50 μL | $220 | 7-10 days | 7-10 days | |
| 100 μL | $374 | 7-10 days | 7-10 days | |
| 200 μL | $528 | 7-10 days | 7-10 days |
| Description | Anti-Podoplanin Polyclonal Antibody is a Rabbit antibody targeting Podoplanin. Anti-Podoplanin Polyclonal Antibody can be used in IF,IHC-Fr,IHC-P,WB. |
| Synonyms | TI1A, T1A-2, T1A2, T1A, podoplanin, PA2.26, OTS8, HT1A-1, GP40, Gp38, GP36, AGGRUS |
| Ig Type | IgG |
| Reactivity | Mouse,Rat |
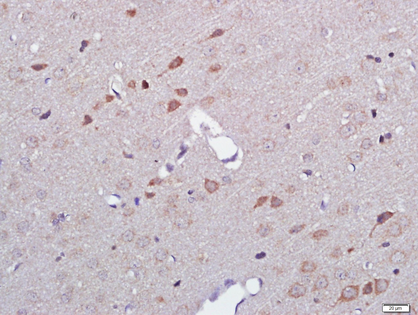
| Verified Activity | 1. Paraformaldehyde-fixed, paraffin embedded (rat brain tissue); Antigen retrieval by boiling in sodium citrate buffer (pH6.0) for 15 min; Block endogenous peroxidase by 3% hydrogen peroxide for 20 min; Blocking buffer (normal goat serum) at 37°C for 30 min; Antibody incubation with (Podoplanin) Polyclonal Antibody, Unconjugated (TMAB-01557) at 1:400 overnight at 4°C, followed by a conjugated secondary for 20 min and DAB staining. 2. Sample: Muscle (Mouse) Lysate at 40 μg Primary: Anti-Podoplanin (TMAB-01557) at 1/1000 dilution Secondary: IRDye800CW Goat Anti-Rabbit IgG at 1/20000 dilution Predicted band size: 15 kDa Observed band size: 37 kDa ![]() ![]() |
| Application | |
| Recommended Dose | WB: 1:500-2000; IHC-P: 1:100-500; IHC-Fr: 1:100-500; IF: 1:100-500 |
| Antibody Type | Polyclonal |
| Host Species | Rabbit |
| Subcellular Localization | Membrane; Single-pass type I membrane protein. Cell projection, filopodium membrane; Single-pass type I membrane protein. Cell projection, lamellipodium membrane; Single-pass type I membrane protein. Cell projection, microvillus membrane; Single-pass type I membrane protein. Cell projection, ruffle membrane; Single-pass type I membrane protein. Note=Localized to actin-rich microvilli and plasma membrane projections such as filopodia, lamellipodia and ruffles. |
| Tissue Specificity | Highly expressed in placenta, lung, skeletal muscle and brain. Weakly expressed in brain, kidney and liver. In placenta, expressed on the apical plasma membrane of endothelium. In lung, expressed in alveolar epithelium. Up-regulated in colorectal tumors a |
| Construction | Polyclonal Antibody |
| Purification | Protein A purified |
| Appearance | Liquid |
| Formulation | 0.01M TBS (pH7.4) with 1% BSA, 0.02% Proclin300 and 50% Glycerol. |
| Concentration | 1 mg/mL |
| Research Background | This gene encodes a type-I integral membrane glycoprotein with diverse distribution in human tissues. The physiological function of this protein may be related to its mucin-type character. The homologous protein in other species has been described as a differentiation antigen and influenza-virus receptor. The specific function of this protein has not been determined but it has been proposed as a marker of lung injury. Alternatively spliced transcript variants encoding different isoforms have been identified. [provided by RefSeq, Jul 2008] |
| Immunogen | KLH conjugated synthetic peptide: mouse Podoplanin |
| Antigen Species | Mouse |
| Gene Name | PDPN |
| Gene ID | |
| Protein Name | Podoplanin |
| Uniprot ID | |
| Biology Area | Other Cell Types,Endothelium,Blood,Endothelial Cell Markers |
| Function | May be involved in cell migration and/or actin cytoskeleton organization. When expressed in keratinocytes, induces changes in cell morphology with transfected cells showing an elongated shape, numerous membrane protrusions, major reorganization of the actin cytoskeleton, increased motility and decreased cell adhesion. Required for normal lung cell proliferation and alveolus formation at birth. Induces platelet aggregation. Does not have any effect on folic acid or amino acid transport. Does not function as a water channel or as a regulator of aquaporin-type water channels. |
| Molecular Weight | Theoretical: 15 kDa. Actual: 36-40 kDa. |
| Color | Transparent |
| Appearance | Liquid |
| Stability & Storage | Store at -20°C or -80°C for 12 months. Avoid repeated freeze-thaw cycles. |
| Transport | Shipping with blue ice. |
| Size | Quantity | Unit Price | Amount | Operation |
|---|

Copyright © 2015-2026 TargetMol Chemicals Inc. All Rights Reserved.