Shopping Cart
Remove All
Your shopping cart is currently empty
Anti-Podocin Polyclonal Antibody is a Rabbit antibody targeting Podocin. Anti-Podocin Polyclonal Antibody can be used in IF, IHC-Fr, IHC-P.
| Pack Size | Price | USA Warehouse | Global Warehouse | Quantity |
|---|---|---|---|---|
| 50 μL | $222 | 7-10 days | 7-10 days | |
| 100 μL | $374 | 7-10 days | 7-10 days | |
| 200 μL | $529 | 7-10 days | 7-10 days |
| Description | Anti-Podocin Polyclonal Antibody is a Rabbit antibody targeting Podocin. Anti-Podocin Polyclonal Antibody can be used in IF, IHC-Fr, IHC-P. |
| Synonyms | Podocin, NPHS2 |
| Ig Type | IgG |
| Reactivity | Human,Rat |
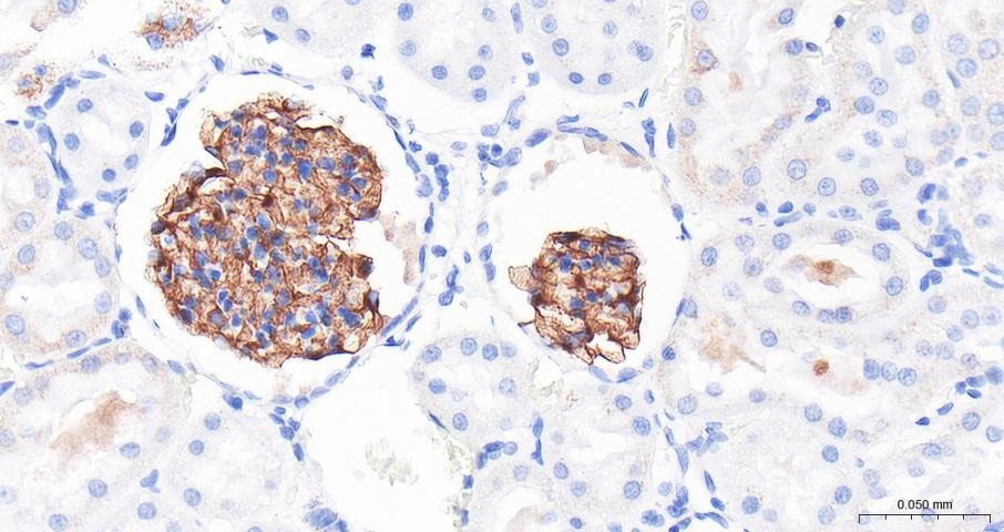
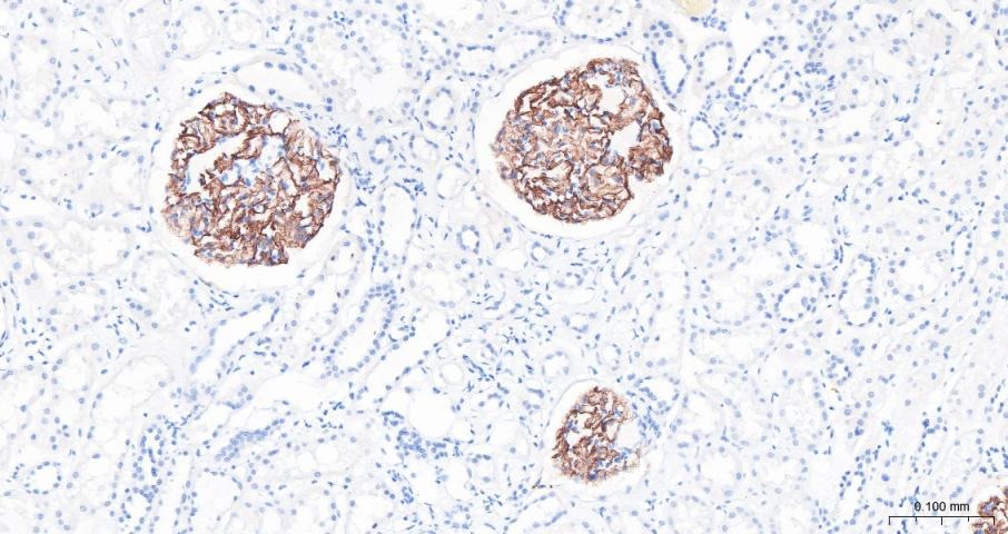
| Verified Activity | 1. 25 μg total protein per Lane of various lysates probed with NPHS2 polyclonal antibody, unconjugated (TMAB-01556) at 1:1000 dilution and 4°C overnight incubation. Followed by conjugated secondary antibody incubation at RT for 60 min. 2. Paraformaldehyde-fixed, paraffin embedded Rat Kidney; Antigen retrieval by boiling in sodium citrate buffer (pH6.0) for 15 min; Antibody incubation with NPHS2 Polyclonal Antibody, Unconjugated (TMAB-01556) at 1:200 overnight at 4°C, followed by conjugation to the secondary antibody and DAB staining. 3. Paraformaldehyde-fixed, paraffin embedded Human Kidney; Antigen retrieval by boiling in sodium citrate buffer (pH6.0) for 15 min; Antibody incubation with NPHS2 Polyclonal Antibody, Unconjugated (TMAB-01556) at 1:200 overnight at 4°C, followed by conjugation to the secondary antibody and DAB staining. ![]() ![]() ![]() |
| Application | |
| Recommended Dose | IF=1:100-500; IHC-Fr=1:100-500; IHC-P=1:100-500 |
| Antibody Type | Polyclonal |
| Host Species | Rabbit |
| Subcellular Localization | Cell membrane; Peripheral membrane protein. |
| Tissue Specificity | Almost exclusively expressed in the podocytes of fetal and mature kidney glomeruli. |
| Construction | Polyclonal Antibody |
| Purification | Protein A purified |
| Appearance | Liquid |
| Formulation | 0.01M TBS (pH7.4) with 1% BSA, 0.02% Proclin300 and 50% Glycerol. |
| Concentration | 1 mg/mL |
| Research Background | Podocin is an important member of a group of proteins shown to be associated with the slit diaphragm. Podocin belongs to the band 7 stomatin family of lipid raft-associated proteins. It is a hairpin like integral membrane protein with intracellular N and C termini. Podocin is located at the insertion site of the slit membrane, and is thought to act as a scaffold protein required to maintain or regulate the structural integrity of the slit diaphragm. It plays a role in the regulation of glomerular permeability, acting probably as a linker between the plasma membrane and the cytoskeleton. |
| Immunogen | KLH conjugated synthetic peptide: human NPHS2/Podocin |
| Antigen Species | Human |
| Gene Name | NPHS2 |
| Gene ID | |
| Protein Name | Podocin |
| Uniprot ID | |
| Biology Area | Other Antibodies,Transmembrane,Other Cell Types |
| Molecular Weight | Theoretical: 42 kDa. |
| Stability & Storage | Store at -20°C or -80°C for 12 months. Avoid repeated freeze-thaw cycles. |
| Transport | Shipping with blue ice. |
| Size | Quantity | Unit Price | Amount | Operation |
|---|

Copyright © 2015-2026 TargetMol Chemicals Inc. All Rights Reserved.