Shopping Cart
Remove All
Your shopping cart is currently empty
Synonyms: Postmeiotic segregation increased, S. cerevisiae, 2, PMSL2, PMS2CL, PMS2_HUMAN, PMS2 postmeiotic segregation increased 2 (S. cerevisiae), PMS2 postmeiotic segregation increased 2, PMS2, PMS1 protein homolog 2, PMS 2, Mismatch repair gene PMSL2, Mismatch repair endonuclease PMS2, HNPCC4, H_DJ0042M02.9, DNA mismatch repair protein PMS2, DNA mismatch repair gene homologue
| Pack Size | Price | USA Stock | Global Stock | Quantity |
|---|---|---|---|---|
| 50 μL | $297 | 7-10 days | 7-10 days | |
| 100 μL | $497 | 7-10 days | 7-10 days |
| Description | Anti-PMS2 Antibody (2B500) is a Rabbit antibody targeting PMS2. Anti-PMS2 Antibody (2B500) can be used in FCM,ICC/IF,IHC,IP,WB. |
| Synonyms | Postmeiotic segregation increased, S. cerevisiae, 2, PMSL2, PMS2CL, PMS2_HUMAN, PMS2 postmeiotic segregation increased 2 (S. cerevisiae), PMS2 postmeiotic segregation increased 2, PMS2, PMS1 protein homolog 2, PMS 2, Mismatch repair gene PMSL2, Mismatch repair endonuclease PMS2, HNPCC4, H_DJ0042M02.9, DNA mismatch repair protein PMS2, DNA mismatch repair gene homologue |
| Ig Type | IgG |
| Clone | 2B500 |
| Reactivity | Human |
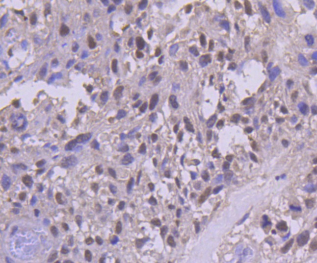
| Verified Activity | 1. Western blot analysis of PMS2 on Hela cell lysates. Proteins were transferred to a PVDF membrane and blocked with 5% BSA in PBS for 1 hour at room temperature. The primary antibody was used at a 1:1,000 dilution in 5% BSA at room temperature for 2 hours. Goat Anti-Mouse IgG-HRP Secondary Antibody (HA1006) at 1:5,000 dilution was used for 1 hour at room temperature. 2. Immunohistochemical analysis of paraffin-embedded human colon cancer tissue using anti-PMS2 antibody. The section was pre-treated using heat mediated antigen retrieval with sodium citrate buffer (pH6) for 20 mins. The tissues were blocked in 5% BSA for 30 minutes at room temperature, washed with ddH2O and PBS, and then probed with the antibody (ET1605-1) at 1/200 dilution, for 30 minutes at room temperature and detected using an HRP conjugated compact polymer system. DAB was used as the chrogen. Counter stained with hematoxylin and mounted with DPX. 3. Immunohistochemical analysis of paraffin-embedded human breast cancer tissue using anti-PMS2 antibody. The section was pre-treated using heat mediated antigen retrieval with sodium citrate buffer (pH6) for 20 mins. The tissues were blocked in 5% BSA for 30 minutes at room temperature, washed with ddH2O and PBS, and then probed with the antibody (ET1605-1) at 1/200 dilution, for 30 minutes at room temperature and detected using an HRP conjugated compact polymer system. DAB was used as the chrogen. Counter stained with hematoxylin and mounted with DPX. 4. ICC staining PMS2 in Hela cells (red). Formalin fixed cells were permeabilized with 0.1% Triton X-100 in TBS for 10 minutes at room temperature and blocked with 1% Blocker BSA for 15 minutes at room temperature. Cells were probed with Carbonic anhydrase 2 monoclonal antibody at a dilution of 1:100 for at least 1 hour at room temperature, washed with PBS. Alexa Fluor 488 Goat anti-Mouse IgG was used as the secondary antibody at 1/100 dilution. The nuclear counter stain is DAPI (blue). 5. Flow cytometric analysis of PMS2 was done on Hela cells. The cells were fixed, permeabilized and stained with APE1 antibody at 1/100 dilution (red) compared with an unlabelled control (cells without incubation with primary antibody; black). After incubation of the primary antibody on room temperature for an hour, the cells was stained with a Alexa Fluor 488-conjugated goat anti-rabbit IgG Secondary antibody at 1/500 dilution for 30 minutes. |
| Application | |
| Recommended Dose | WB: 1:1000-2000; IHC: 1:50-100; ICC/IF: 1:50-200; FCM: 1:50-100 |
| Antibody Type | Monoclonal |
| Host Species | Rabbit |
| Construction | Recombinant Antibody |
| Purification | ProA affinity purified |
| Appearance | Liquid |
| Formulation | 1*TBS (pH7.4), 1%BSA, 40%Glycerol. Preservative: 0.05% Sodium Azide. |
| Research Background | The finding that mutations in DNA mismatch repair genes are associated with hereditary nonpolyposis colorectal cancer (HNPCC) has resulted in considerable interest in the understanding of the mechanism of DNA mismatch repair. Initially, inherited mutations in the MSH2 and MLH1 homologs of the bacterial DNA mismatch repair genes MutS and MutL were demonstrated at high frequency in HNPCC and were shown to be associated with microsatellite instability. The demonstration that 10 to 45% of pancreatic, gastric, breast, ovarian and small cell lung cancers also display microsatellite instability has been interpreted to suggest that DNA mismatch repair is not restricted to HNPCC tumors but is a common feature in tumor initiation or progression. Two additional homologs of the prokaryotic MutL gene, designated PMS1 and PMS2, have been identified and shown to be mutated in the germline of HNPCC patients. |
| Conjucates | Unconjugated |
| Immunogen | Recombinant Protein |
| Uniprot ID |
| Molecular Weight | Theoretical: 96 kDa. |
| Stability & Storage | Store at -20°C or -80°C for 12 months. Avoid repeated freeze-thaw cycles. |
| Transport | Shipping with blue ice. |
| Size | Quantity | Unit Price | Amount | Operation |
|---|

Copyright © 2015-2026 TargetMol Chemicals Inc. All Rights Reserved.