Shopping Cart
Remove All
Your shopping cart is currently empty
Synonyms: Znf145, Zinc finger protein PLZF, Zinc finger protein 145(Kruppel like expressed in promyelocytic leukemia), Zinc finger protein 145, Zinc finger and BTB domain-containing protein 16, Zinc finger and BTB domain containing 16, Zfp145, ZBTB16, ZBT16, Promyelocytic leukemia zinc finger protein
| Pack Size | Price | USA Stock | Global Stock | Quantity |
|---|---|---|---|---|
| 50 μL | $222 | 7-10 days | 7-10 days | |
| 100 μL | $372 | 7-10 days | 7-10 days | |
| 200 μL | $528 | 7-10 days | 7-10 days |
| Description | Anti-Plzf Polyclonal Antibody is a Rabbit antibody targeting Plzf. Anti-Plzf Polyclonal Antibody can be used in FCM, IF, IHC-Fr, IHC-P. |
| Synonyms | Znf145, Zinc finger protein PLZF, Zinc finger protein 145(Kruppel like expressed in promyelocytic leukemia), Zinc finger protein 145, Zinc finger and BTB domain-containing protein 16, Zinc finger and BTB domain containing 16, Zfp145, ZBTB16, ZBT16, Promyelocytic leukemia zinc finger protein |
| Ig Type | IgG |
| Reactivity | Human,Mouse (predicted:Rat,Dog,Cow,Horse) |
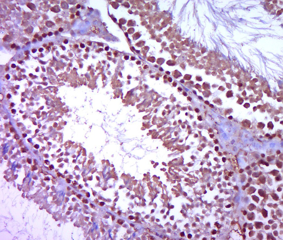
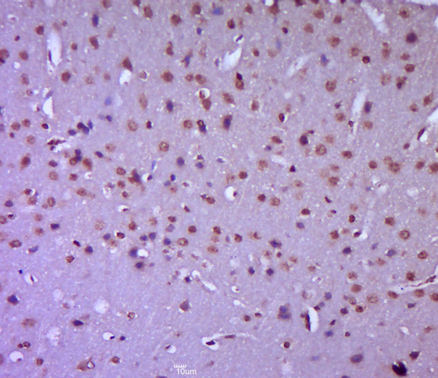
| Verified Activity | 1. Paraformaldehyde-fixed, paraffin embedded (mouse testis tissue); Antigen retrieval by boiling in sodium citrate buffer (pH6.0) for 15 min; Block endogenous peroxidase by 3% hydrogen peroxide for 20 min; Blocking buffer (normal goat serum) at 37°C for 30 min; Antibody incubation with (Plzf) Polyclonal Antibody, Unconjugated (TMAB-01553) at 1:400 overnight at 4°C, followed by a conjugated secondary for 20 min and DAB staining. 2. Paraformaldehyde-fixed, paraffin embedded (mouse brain tissue); Antigen retrieval by boiling in sodium citrate buffer (pH6.0) for 15 min; Block endogenous peroxidase by 3% hydrogen peroxide for 20 min; Blocking buffer (normal goat serum) at 37°C for 30 min; Antibody incubation with (Plzf) Polyclonal Antibody, Unconjugated (TMAB-01553) at 1:400 overnight at 4°C, followed by a conjugated secondary for 20 min and DAB staining. 3. Blank control: Molt4. Primary Antibody (green line): Rabbit Anti-PLZF antibody (TMAB-01553) Dilution: 1 μg/10^6 cells; Isotype Control Antibody (orange line): Rabbit IgG. Secondary Antibody: Goat anti-rabbit IgG-PE Dilution: 1 μg/test. Protocol The cells were fixed with 4% PFA (10 min at room temperature) and then permeabilized with PBST for 20 min at room temperature. The cells were then incubated in 5% BSA to block non-specific protein-protein interactions for 30 min at at room temperature. Cells stained with Primary Antibody for 30 min at room temperature. The secondary antibody used for 40 min at room temperature. 4. Hela cell; 4% Paraformaldehyde-fixed; Triton X-100 at room temperature for 20 min; Blocking buffer (normal goat serum) at 37°C for 20 min; Antibody incubation with (Plzf) polyclonal Antibody, Unconjugated (TMAB-01553) 1:25, 90 minutes at 37°C; followed by a conjugated Goat Anti-Rabbit IgG antibody at 37°C for 90 minutes, DAPI (blue) was used to stain the cell nucleus. |
| Application | |
| Recommended Dose | FCM=1 μg/Test; IF=1:100-500; IHC-Fr=1:100-500; IHC-P=1:100-500 |
| Antibody Type | Polyclonal |
| Host Species | Rabbit |
| Subcellular Localization | Nucleus. |
| Tissue Specificity | Within the hematopoietic system, PLZF is expressed in bone marrow, early myeloid cell lines and peripheral blood mononuclear cells. Also expressed in the ovary, and at lower levels, in the kidney and lung. |
| Construction | Polyclonal Antibody |
| Purification | Protein A purified |
| Appearance | Liquid |
| Formulation | 0.01M TBS (pH7.4) with 1% BSA, 0.02% Proclin300 and 50% Glycerol. |
| Concentration | 1 mg/mL |
| Research Background | Probable transcription factor. May play a role in myeloid maturation and in the development and/or maintenance of other differentiated tissues. Probable substrate-recognition component of an E3 ubiquitin-protein ligase complex which mediates the ubiquitination and subsequent proteasomal degradation of target proteins. |
| Immunogen | KLH conjugated synthetic peptide: human Plzf |
| Antigen Species | Human |
| Gene Name | ZBTB16 |
| Gene ID | |
| Protein Name | Zinc finger and BTB domain-containing protein 16 |
| Uniprot ID | |
| Function | Probable transcription factor. May play a role in myeloid maturation and in the development and/or maintenance of other differentiated tissues. Probable substrate-recognition component of an E3 ubiquitin-protein ligase complex which mediates the ubiquitination and subsequent proteasomal degradation of target proteins. |
| Molecular Weight | Theoretical: 74 kDa. |
| Stability & Storage | Store at -20°C or -80°C for 12 months. Avoid repeated freeze-thaw cycles. |
| Transport | Shipping with blue ice. |
| Size | Quantity | Unit Price | Amount | Operation |
|---|

Copyright © 2015-2026 TargetMol Chemicals Inc. All Rights Reserved.