Shopping Cart
Remove All
Your shopping cart is currently empty
Anti-Plectin Antibody (4J312) is a Rabbit antibody targeting Plectin. Anti-Plectin Antibody (4J312) can be used in IHC,IP,WB.
| Pack Size | Price | USA Warehouse | Global Warehouse | Quantity |
|---|---|---|---|---|
| 50 μL | $297 | 7-10 days | 7-10 days | |
| 100 μL | $498 | 7-10 days | 7-10 days |
| Description | Anti-Plectin Antibody (4J312) is a Rabbit antibody targeting Plectin. Anti-Plectin Antibody (4J312) can be used in IHC,IP,WB. |
| Synonyms | PLTN, Plectin-1, Plectin 6, Plectin 1 intermediate filament binding protein 500kDa, Plectin 1, Plectin, PLEC1b, PLEC1, PLEC_HUMAN, pleC, PCN, Hemidesmosomal protein 1, HD1, EBSO, EBS1 |
| Ig Type | IgG |
| Clone | 4J312 |
| Reactivity | Human,Mouse,Rat |
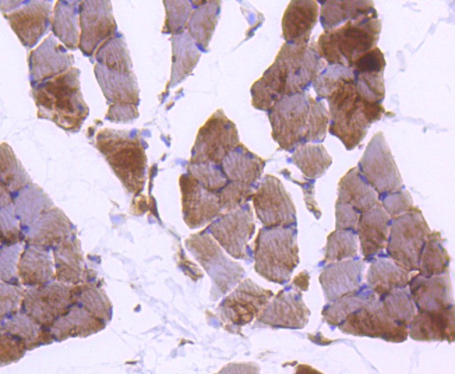
| Verified Activity | 1. Immunohistochemical analysis of paraffin-embedded rat skeletal muscle tissue using anti-Plectin antibody. Counter stained with hematoxylin. 2. Immunohistochemical analysis of paraffin-embedded mouse skeletal muscle tissue using anti-Plectin antibody. Counter stained with hematoxylin. ![]() ![]() |
| Application | |
| Recommended Dose | WB: 1:1000; IHC: 1:100-500 |
| Antibody Type | Monoclonal |
| Host Species | Rabbit |
| Construction | Recombinant Antibody |
| Purification | ProA affinity purified |
| Appearance | Liquid |
| Formulation | 1*TBS (pH7.4), 1%BSA, 40%Glycerol. Preservative: 0.05% Sodium Azide. |
| Research Background | Plectin is an abundant cytoskeletal protein that is involved in cytoplasm stabilization. Plectin has been shown to crosslink intermediate filaments to microtubules and microfilaments, and to anchor intermediate filaments to the plasma and nuclear membranes. Plectin binds both Lamin B and vimentin, and this binding is regulated by a variety of protein kinases. Phosphorylation by PKA or PKC results in decreased binding to Lamin B, and phosphorylation by PKA enhances the plectin-vimentin interactions. Plectin is also a substrate for p34cdc2 kinase. Several alternative splice isoforms of plectin are known to exist. Mutations in human plectin are known to cause epidermolysis bullosa simplex with muscular dystrophy (EBS-MD). |
| Conjucates | Unconjugated |
| Immunogen | Recombinant Protein |
| Uniprot ID |
| Molecular Weight | Theoretical: 531 kDa. |
| Stability & Storage | Store at -20°C or -80°C for 12 months. Avoid repeated freeze-thaw cycles. |
| Transport | Shipping with blue ice. |
| Size | Quantity | Unit Price | Amount | Operation |
|---|

Copyright © 2015-2026 TargetMol Chemicals Inc. All Rights Reserved.