Shopping Cart
Remove All
Your shopping cart is currently empty
Anti-PLA2R Polyclonal Antibody is a Rabbit antibody targeting PLA2R. Anti-PLA2R Polyclonal Antibody can be used in IF,IHC-Fr,IHC-P,WB.
| Pack Size | Price | USA Stock | Global Stock | Quantity |
|---|---|---|---|---|
| 50 μL | $220 | 7-10 days | 7-10 days | |
| 100 μL | $372 | 7-10 days | 7-10 days | |
| 200 μL | $528 | 7-10 days | 7-10 days |
| Description | Anti-PLA2R Polyclonal Antibody is a Rabbit antibody targeting PLA2R. Anti-PLA2R Polyclonal Antibody can be used in IF,IHC-Fr,IHC-P,WB. |
| Synonyms | PLA2R1, PLA2-R, PLA2R, PLA2IR, PLA2G1R, PLA2 R, phospholipase A2 receptor 1, M-type receptor, M type receptor, C-type lectin domain family 13 member C, CLEC13C, 180 kDa secretory phospholipase A2 receptor |
| Ig Type | IgG |
| Reactivity | Human,Mouse (predicted:Cow,Rabbit) |
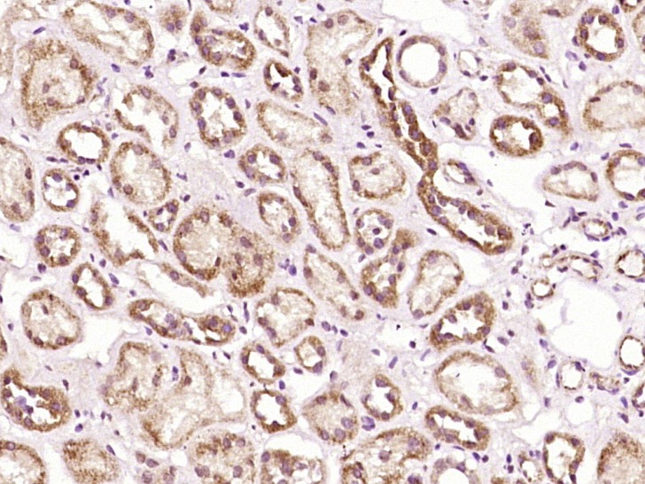
| Verified Activity | 1. Paraformaldehyde-fixed, paraffin embedded (Human kidney tissue); Antigen retrieval by boiling in sodium citrate buffer (pH6.0) for 15 min; Block endogenous peroxidase by 3% hydrogen peroxide for 20 min; Blocking buffer (normal goat serum) at 37°C for 30 min; Antibody incubation with (PLA2R) Polyclonal Antibody, Unconjugated (TMAB-01546) at 1:400 overnight at 4°C, followed by operating according to SP Kit (Rabbit) instructionsand DAB staining. 2. Sample: Pancreas (Mouse) Lysate at 40 μg Primary: Anti-PLA2R (TMAB-01546) at 1/1000 dilution Secondary: IRDye800CW Goat Anti-Rabbit IgG at 1/20000 dilution Predicted band size: 153 kDa Observed band size: 153 kDa ![]() ![]() |
| Application | |
| Recommended Dose | WB: 1:500-2000; IHC-P: 1:100-500; IHC-Fr: 1:100-500; IF: 1:100-500 |
| Antibody Type | Polyclonal |
| Host Species | Rabbit |
| Subcellular Localization | Secreted and Cell membrane. |
| Tissue Specificity | Present in lung macrophage (at protein level). Highly expressed in kidney. Also expressed in pancreas, amnion, choriodecidua and placenta. Isoform 2 is expressed at much lower level. |
| Construction | Polyclonal Antibody |
| Purification | Protein A purified |
| Appearance | Liquid |
| Formulation | 0.01M TBS (pH7.4) with 1% BSA, 0.02% Proclin300 and 50% Glycerol. |
| Concentration | 1 mg/mL |
| Research Background | This gene represents a phospholipase A2 receptor. The encoded protein likely exists as both a transmembrane form and a soluble form. The transmembrane receptor may play a role in clearance of phospholipase A2, thereby inhibiting its action. Polymorphisms at this locus have been associated with susceptibility to idiopathic membranous nephropathy. Alternatively spliced transcript variants encoding different isoforms have been identified.[provided by RefSeq, Sep 2010] |
| Immunogen | KLH conjugated synthetic peptide: human PLA2R |
| Antigen Species | Human |
| Gene Name | PLA2R1 |
| Gene ID | |
| Protein Name | Secretory phospholipase A2 receptor |
| Biology Area | Lipases,Lipases,Lipid metabolism |
| Function | Receptor for secretory phospholipase A2 (sPLA2). Acts as a receptor for phosholipase sPLA2-IB/PLA2G1B but not sPLA2-IIA/PLA2G2A. Also able to bind to snake PA2-like toxins. Although its precise function remains unclear, binding of sPLA2 to its receptor participates in both positive and negative regulation of sPLA2 functions as well as clearance of sPLA2. Binding of sPLA2-IB/PLA2G1B induces various effects depending on the cell type, such as activation of the mitogen-activated protein kinase (MAPK) cascade to induce cell proliferation, the production of lipid mediators, selective release of arachidonic acid in bone marrow-derived mast cells. In neutrophils, binding of sPLA2-IB/PLA2G1B can activate p38 MAPK to stimulate elastase release and cell adhesion. May be involved in responses in proinflammatory cytokine productions during endotoxic shock. Also has endocytic properties and rapidly internalizes sPLA2 ligands, which is particularly important for the clearance of extracellular sPLA2s to protect their potent enzymatic activities. The soluble secretory phospholipase A2 receptor form is circulating and acts as a negative regulator of sPLA2 functions by blocking the biological functions of sPLA2-IB/PLA2G1B. |
| Molecular Weight | Theoretical: 153 kDa. Actual: 153 kDa. |
| Stability & Storage | Store at -20°C or -80°C for 12 months. Avoid repeated freeze-thaw cycles. |
| Transport | Shipping with blue ice. |
| Size | Quantity | Unit Price | Amount | Operation |
|---|

Copyright © 2015-2026 TargetMol Chemicals Inc. All Rights Reserved.