Shopping Cart
Remove All
Your shopping cart is currently empty
Anti-PKC gamma Antibody (9I127) is a Rabbit antibody targeting PKC gamma. Anti-PKC gamma Antibody (9I127) can be used in IHC,WB.
| Pack Size | Price | USA Warehouse | Global Warehouse | Quantity |
|---|---|---|---|---|
| 50 μL | $296 | 7-10 days | 7-10 days | |
| 100 μL | $497 | 7-10 days | 7-10 days |
| Description | Anti-PKC gamma Antibody (9I127) is a Rabbit antibody targeting PKC gamma. Anti-PKC gamma Antibody (9I127) can be used in IHC,WB. |
| Synonyms | SCA14, SCA 14, Protein kinase C, gamma, Protein kinase C gamma type, Protein kinase C gamma polypeptide, Protein kinase C gamma, PRKCG, PKCγ, PKCgamma, PKCG, PKCg, PKCC, PKC γ, PKC g, OTTHUMP00000067291, MGC57564, KPCG_HUMAN |
| Ig Type | IgG |
| Clone | 9I127 |
| Reactivity | Human,Mouse,Rat |
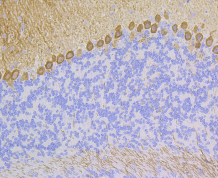
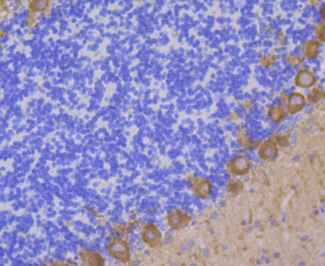
| Verified Activity | 1. Western blot analysis of PKC gamma on A549 cell lysates using anti-PKC gamma antibody at 1/1,000 dilution. 2. Immunohistochemical analysis of paraffin-embedded rat cerebellum tissue using anti-PKC gamma antibody. Counter stained with hematoxylin. 3. Immunohistochemical analysis of paraffin-embedded mouse cerebellum tissue using anti-PKC gamma antibody. Counter stained with hematoxylin. ![]() ![]() ![]() |
| Application | |
| Recommended Dose | WB: 1:500-2000; IHC: 1:50-200 |
| Antibody Type | Monoclonal |
| Host Species | Rabbit |
| Construction | Recombinant Antibody |
| Purification | ProA affinity purified |
| Appearance | Liquid |
| Formulation | 1*TBS (pH7.4), 1%BSA, 40%Glycerol. Preservative: 0.05% Sodium Azide. |
| Conjucates | Unconjugated |
| Immunogen | A synthesized peptide: within Human PKC gamma aa 350-450 |
| Antigen Species | human |
| Uniprot ID |
| Molecular Weight | Theoretical: 78 kDa. |
| Stability & Storage | Store at -20°C or -80°C for 12 months. Avoid repeated freeze-thaw cycles. |
| Transport | Shipping with blue ice. |
| Size | Quantity | Unit Price | Amount | Operation |
|---|

Copyright © 2015-2026 TargetMol Chemicals Inc. All Rights Reserved.