Shopping Cart
Remove All
Your shopping cart is currently empty
Synonyms: WUGSC:H RG363E19.2, RIIbeta, RII(beta), RII beta, RATDNA, Protein kinase cAMP dependent regulatory type II beta, PRKAR2B, PRKAR2, PRKAR 2, Pkarb2, PKA2β, PKA2beta, PKA2b, PKA 2 β, PKA 2 b, MGC116401, KAP3_HUMAN, H RG363E19.2, cAMP-dependent protein kinase type II-beta regulatory subunit, cAMP dependent protein kinase type II beta regulatory subunit, cAMP dependent protein kinase type II beta regulatory chain, AW061005, AI451071
| Pack Size | Price | USA Stock | Global Stock | Quantity |
|---|---|---|---|---|
| 50 μL | $298 | 7-10 days | 7-10 days | |
| 100 μL | $498 | 7-10 days | 7-10 days |
| Description | Anti-PKA 2 beta Antibody (8T490) is a Rabbit antibody targeting PKA 2 beta. Anti-PKA 2 beta Antibody (8T490) can be used in FCM,ICC/IF,IHC,IP,WB. |
| Synonyms | WUGSC:H RG363E19.2, RIIbeta, RII(beta), RII beta, RATDNA, Protein kinase cAMP dependent regulatory type II beta, PRKAR2B, PRKAR2, PRKAR 2, Pkarb2, PKA2β, PKA2beta, PKA2b, PKA 2 β, PKA 2 b, MGC116401, KAP3_HUMAN, H RG363E19.2, cAMP-dependent protein kinase type II-beta regulatory subunit, cAMP dependent protein kinase type II beta regulatory subunit, cAMP dependent protein kinase type II beta regulatory chain, AW061005, AI451071 |
| Ig Type | IgG |
| Clone | 8T490 |
| Reactivity | Human,Mouse,Rat |
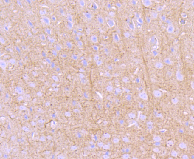
| Verified Activity | 1. Immunohistochemical analysis of paraffin-embedded mouse brain tissue using anti-PKA 2 beta (regulatory subunit) antibody. Counter stained with hematoxylin. 2. ICC staining PKA 2 beta (regulatory subunit) in Hela cells (green). The nuclear counter stain is DAPI (blue). Cells were fixed in paraformaldehyde, permeabilised with 0.25% Triton X100/PBS. 3. ICC staining PKA 2 beta (regulatory subunit) in N2A cells (green). The nuclear counter stain is DAPI (blue). Cells were fixed in paraformaldehyde, permeabilised with 0.25% Triton X100/PBS. 4. ICC staining PKA 2 beta (regulatory subunit) in SH-SY5Y cells (green). The nuclear counter stain is DAPI (blue). Cells were fixed in paraformaldehyde, permeabilised with 0.25% Triton X100/PBS. 5. Flow cytometric analysis of N2A cells with PKA 2 beta (regulatory subunit) antibody at 1/50 dilution (red) compared with an unlabelled control (cells without incubation with primary antibody; black). Alexa Fluor 488-conjugated goat anti rabbit IgG was used as the secondary antibody. |
| Application | |
| Recommended Dose | WB: 1:500-1000; IHC: 1:50-200; ICC/IF: 1:50-200; FCM: 1:50-100 |
| Antibody Type | Monoclonal |
| Host Species | Rabbit |
| Construction | Recombinant Antibody |
| Purification | ProA affinity purified |
| Appearance | Liquid |
| Formulation | 1*TBS (pH7.4), 1%BSA, 40%Glycerol. Preservative: 0.05% Sodium Azide. |
| Research Background | The second messenger cyclic AMP mediates diverse cellular responses to external signals such as proliferation, ion transport, regulation of metabolism and gene transcription by activation of the cAMP-dependent protein kinase (cAPK or PKA). Activation of PKA occurs when cAMP binds to the two regulatory subunits of the tetrameric PKA holoenzyme resulting in release of active catalytic subunits. One of several regulatory subunits, p-PKA IIβ reg (cAMP-dependent protein kinase type II-beta regulatory subunit), also known as PRKAR2B, is a 418 amino acid protein that is phosphorylated by the activated catalytic chain. p-PKA IIβ reg knockout mice exhibit diminished white adipose tissue and were protected against diet-induced obesity and fatty livers,as well as markedly reduced leptin mRNA. Also playing a role in the immune response, p-PKA IIβ reg suppresses CREB transcriptional activity and down-regulates IL-2 production in T-lymphocytes. |
| Conjucates | Unconjugated |
| Immunogen | Recombinant Protein |
| Uniprot ID |
| Molecular Weight | Theoretical: 46 kDa. |
| Stability & Storage | Store at -20°C or -80°C for 12 months. Avoid repeated freeze-thaw cycles. |
| Transport | Shipping with blue ice. |
| Size | Quantity | Unit Price | Amount | Operation |
|---|

Copyright © 2015-2026 TargetMol Chemicals Inc. All Rights Reserved.