Shopping Cart
Remove All
Your shopping cart is currently empty
Synonyms: PIWL1_HUMAN, Piwi-like protein 1, PIWIL 1, Piwi like 1 (drosophila), Piwi like 1, Piwi homolog, Piwi (Drosophila) like 1, PIWI, MIWI, HIWI
| Pack Size | Price | USA Stock | Global Stock | Quantity |
|---|---|---|---|---|
| 50 μL | $298 | 7-10 days | 7-10 days | |
| 100 μL | $496 | 7-10 days | 7-10 days |
| Description | Anti-PIWIL1 Antibody (9H748) is a Rabbit antibody targeting PIWIL1. Anti-PIWIL1 Antibody (9H748) can be used in IHC,WB. |
| Synonyms | PIWL1_HUMAN, Piwi-like protein 1, PIWIL 1, Piwi like 1 (drosophila), Piwi like 1, Piwi homolog, Piwi (Drosophila) like 1, PIWI, MIWI, HIWI |
| Ig Type | IgG |
| Clone | 9H748 |
| Reactivity | Human,Mouse,Rat |
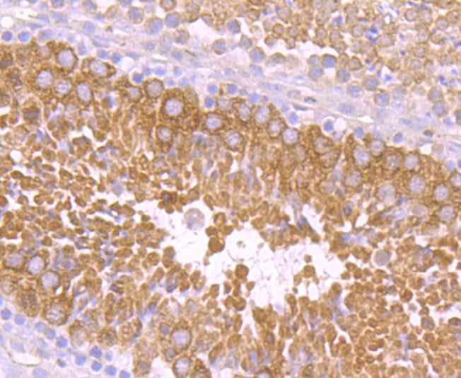
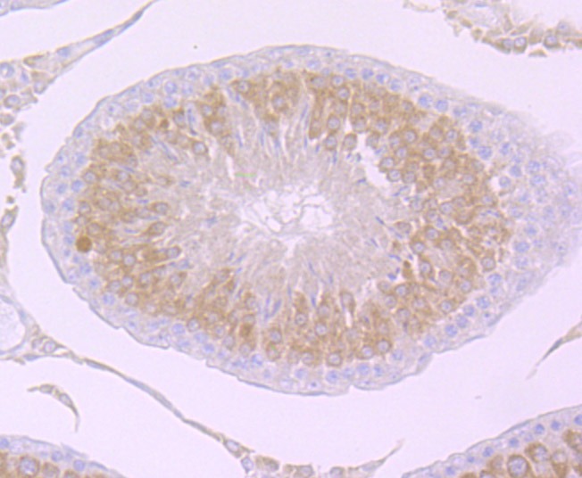
| Verified Activity | 1. Western blot analysis of PIWIL1 on mouse testis tissue lysate using anti-PIWIL1 antibody at 1/500 dilution. 2. Immunohistochemical analysis of paraffin-embedded rat testis tissue using anti-PIWIL1 antibody. Counter stained with hematoxylin. 3. Immunohistochemical analysis of paraffin-embedded mouse testis tissue using anti-PIWIL1 antibody. Counter stained with hematoxylin. |
| Application | |
| Recommended Dose | WB: 1:500-1000; IHC: 1:50-200 |
| Antibody Type | Monoclonal |
| Host Species | Rabbit |
| Construction | Recombinant Antibody |
| Purification | ProA affinity purified |
| Appearance | Liquid |
| Formulation | 1*TBS (pH7.4), 1%BSA, 40%Glycerol. Preservative: 0.05% Sodium Azide. |
| Research Background | Endoribonuclease that plays a central role in postnatal germ cells by repressing transposable elements and preventing their mobilization, which is essential for the germline integrity. Acts via the piRNA metabolic process, which mediates the repression of transposable elements during meiosis by forming complexes composed of piRNAs and Piwi proteins and governs the methylation and subsequent repression of transposons. Directly binds methylated piRNAs, a class of 24 to 30 nucleotide RNAs that are generated by a Dicer-independent mechanism and are primarily derived from transposons and other repeated sequence elements. Strongly prefers a uridine in the first position of their guide (g1U preference, also named 1U-bias). Not involved in the piRNA amplification loop, also named ping-pong amplification cycle. Acts as an endoribonuclease that cleaves transposon messenger RNAs. Besides their function in transposable elements repression, piRNAs are probably involved in other processes during meiosis such as translation regulation. Probable component of some RISC complex, which mediates RNA cleavage and translational silencing. Also plays a role in the formation of chromatoid bodies and is required for some miRNAs stability. Required to sequester RNF8 in the cytoplasm until late spermatogenesis; RNF8 being released upon ubiquitination and degradation of PIWIL1. |
| Conjucates | Unconjugated |
| Immunogen | Recombinant Protein |
| Uniprot ID |
| Molecular Weight | Theoretical: 98 kDa. |
| Stability & Storage | Store at -20°C or -80°C for 12 months. Avoid repeated freeze-thaw cycles. |
| Transport | Shipping with blue ice. |
| Size | Quantity | Unit Price | Amount | Operation |
|---|

Copyright © 2015-2026 TargetMol Chemicals Inc. All Rights Reserved.