Shopping Cart
- Remove All
 Your shopping cart is currently empty Your shopping cart is currently empty
Anti-Phospho-14-3-3 zeta/delta (Ser58) Polyclonal Antibody is a Rabbit antibody targeting Phospho-14-3-3 zeta/delta (Ser58). Anti-Phospho-14-3-3 zeta/delta (Ser58) Polyclonal Antibody can be used in IF,IHC,WB.
| Pack Size | Price | Availability | Quantity | 
|---|---|---|---|
| 50 μL | $217 | 7-10 days | |
| 100 μL | $317 | 7-10 days | 
| Description | Anti-Phospho-14-3-3 zeta/delta (Ser58) Polyclonal Antibody is a Rabbit antibody targeting Phospho-14-3-3 zeta/delta (Ser58). Anti-Phospho-14-3-3 zeta/delta (Ser58) Polyclonal Antibody can be used in IF,IHC,WB. | 
| Synonyms | p-14-3-3 zeta/delta (Ser58), p-14-3-3 zeta/delta (S58), 14-3-3 zeta/delta (p-Ser58), 14-3-3 zeta/delta (p-S58) | 
| Ig Type | IgG | 
| Reactivity | Human,Mouse,Rat | 
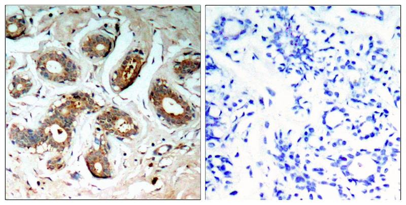
| Verified Activity | 1. Western blot analysis of extracts from Hela cells untreated or treated with UV using 14-3-3z(Phospho-Ser58) Antibody TMAC-00012. 2. Immunohistochemical analysis of paraffin-embedded human breast carcinoma tissue using 14-3-3z(Phospho-Ser58) Antibody TMAC-00012(left) or the same antibody preincubated with blocking peptide(right). 3. Immunofluorescence staining of methanol-fixed Hela cells using 14-3-3z(Phospho-Ser58) Antibody TMAC-00012.    | 
| Application | |
| Recommended Dose | WB: 1:500-1000; IHC: 1:50-100; IF: 1:100-200 | 
| Antibody Type | Polyclonal | 
| Host Species | Rabbit | 
| Construction | Polyclonal Antibody | 
| Purification | Antibodies were produced by immunizing rabbits with synthetic phosphopeptide and KLH conjugates. Antibodies were purified by affinity-chromatography using epitope-specific phosphopeptide. Non-phospho specific antibodies were removed by chromatogramphy using non-phosphopeptide. | 
| Appearance | Liquid | 
| Formulation | Supplied at 1.0mg/mL in phosphate buffered saline (without Mg2+ and Ca2+), pH 7.4, 150mM NaCl, 0.02% sodium azide and 50% glycerol. | 
| Research Background | This gene product belongs to the 14-3-3 family of proteins which mediate signal transduction by binding to phosphoserine-containing proteins. This highly conserved protein family is found in both plants and mammals, and this protein is 99% identical to the mouse, rat and sheep orthologs. The encoded protein interacts with IRS1 protein, suggesting a role in regulating insulin sensitivity. Several transcript variants that differ in the 5' UTR but that encode the same protein have been identified for this gene. | 
| Conjucates | Unconjugated | 
| Others Formats | Phospho | 
| Immunogen | Peptide sequence around phosphorylation site of serine 58 (R-S-S(p)-W-R) derived from Human 14-3-3 zeta | 
| Antigen Species | human | 
| Uniprot ID | 
| Stability & Storage | Store at 2°C-8°C for 1 month. Store at -20°C or -80°C for 12 months. Avoid repeated freeze-thaw cycles. | 
| Transport | Shipping with blue ice. | 

Copyright © 2015-2025 TargetMol Chemicals Inc. All Rights Reserved.