Shopping Cart
Remove All
Your shopping cart is currently empty
Anti-Phospho-YAP1 (Ser127) Antibody (5V148) is a Rabbit antibody targeting Phospho-YAP1 (Ser127). Anti-Phospho-YAP1 (Ser127) Antibody (5V148) can be used in IHC,WB.
| Pack Size | Price | USA Warehouse | Global Warehouse | Quantity |
|---|---|---|---|---|
| 50 μL | $298 | 7-10 days | 7-10 days | |
| 100 μL | $498 | 7-10 days | 7-10 days |
| Description | Anti-Phospho-YAP1 (Ser127) Antibody (5V148) is a Rabbit antibody targeting Phospho-YAP1 (Ser127). Anti-Phospho-YAP1 (Ser127) Antibody (5V148) can be used in IHC,WB. |
| Synonyms | YAP1 (p-Ser127), YAP1 (p-S127), p-YAP1 (Ser127), p-YAP1 (S127), Phospho-YAP1 (S127) |
| Ig Type | IgG |
| Clone | 5V148 |
| Reactivity | Human,Mouse,Rat |
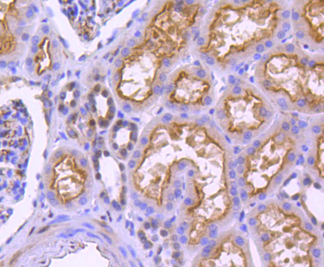
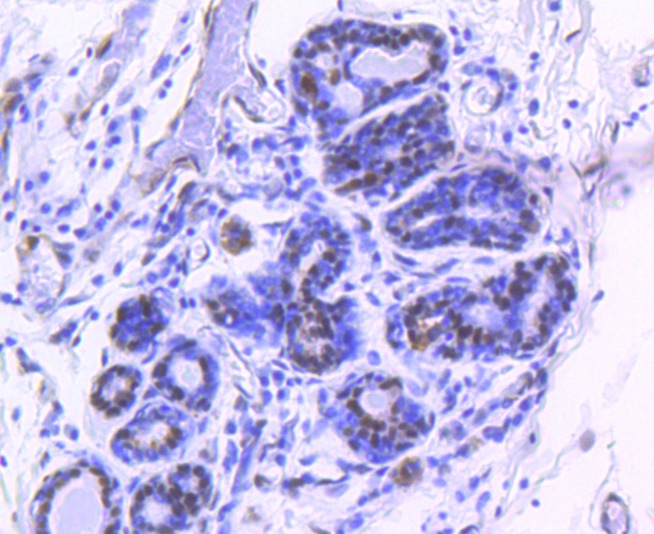
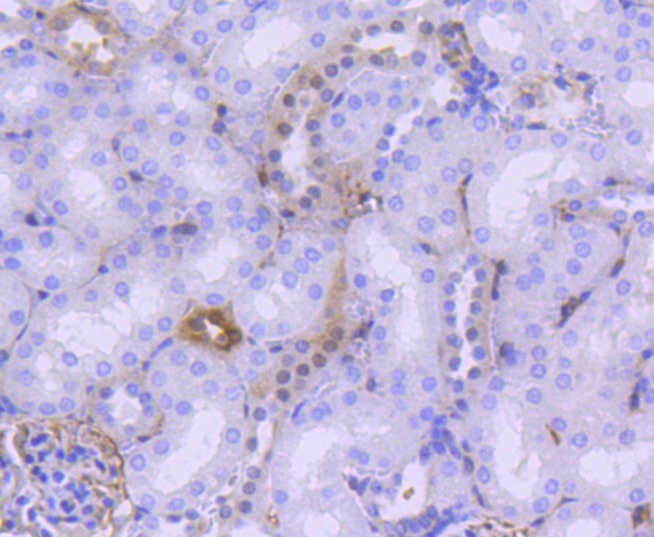
| Verified Activity | 1. Immunohistochemical analysis of paraffin-embedded human breast carcinoma tissue using anti-phospho-YAP1 (S127) antibody. Counter stained with hematoxylin. 2. Immunohistochemical analysis of paraffin-embedded human kidney tissue using anti-phospho-YAP1 (S127) antibody. Counter stained with hematoxylin. 3. Immunohistochemical analysis of paraffin-embedded mouse kidney tissue using anti-phospho-YAP1 (S127) antibody. Counter stained with hematoxylin. ![]() ![]() ![]() |
| Application | |
| Recommended Dose | WB: 1:500-1000; IHC: 1:50-200 |
| Antibody Type | Monoclonal |
| Host Species | Rabbit |
| Construction | Recombinant Antibody |
| Purification | ProA affinity purified |
| Appearance | Liquid |
| Formulation | 1*TBS (pH7.4), 1%BSA, 40%Glycerol. Preservative: 0.05% Sodium Azide. |
| Research Background | The Yes-associated protein, otherwise known as YAP, is a 14-3-3-binding molecule that was originally recognized by virtue of its ability to bind to the SH3 domain of Yes. The binding of YAP to 14-3-3 requires the phosphorylation of a homologous serine residue (Ser 112) in the YAP 14-3-3-binding motif. The highly conserved and ubiquitously expressed 14-3-3 proteins regulate differentiation, cell cycle progression and apoptosis by binding intracellular phosphoproteins involved in signal transduction. YAP may link events at the plasma membrane and cytoskeleton to inhibition of transcription in the nucleus in a manner regulated by 14-3-3 proteins. YAP shares homology with the WW domain of TAZ, transcriptional co-activator with PDZ-binding motif, which functions as a transcriptional co-activator by binding to the PPXY motif present in transcription factors. YAP is expressed at high levels in the lung, placenta, prostate, ovary and testis. |
| Conjucates | Unconjugated |
| Others Formats | Phospho |
| Immunogen | Human breast carcinoma tissue, human kidney tissue, mouse kidney tissue |
| Antigen Species | human |
| Uniprot ID |
| Molecular Weight | Theoretical: 65 kDa. |
| Stability & Storage | Store at -20°C or -80°C for 12 months. Avoid repeated freeze-thaw cycles. |
| Transport | Shipping with blue ice. |
| Size | Quantity | Unit Price | Amount | Operation |
|---|

Copyright © 2015-2026 TargetMol Chemicals Inc. All Rights Reserved.