Shopping Cart
Remove All
Your shopping cart is currently empty
Anti-Phospho-WWOX (Tyr33) Polyclonal Antibody is a Rabbit antibody targeting Phospho-WWOX (Tyr33). Anti-Phospho-WWOX (Tyr33) Polyclonal Antibody can be used in IHC,WB.
| Pack Size | Price | USA Warehouse | Global Warehouse | Quantity |
|---|---|---|---|---|
| 50 μL | $216 | 7-10 days | 7-10 days | |
| 100 μL | $317 | 7-10 days | 7-10 days |
| Description | Anti-Phospho-WWOX (Tyr33) Polyclonal Antibody is a Rabbit antibody targeting Phospho-WWOX (Tyr33). Anti-Phospho-WWOX (Tyr33) Polyclonal Antibody can be used in IHC,WB. |
| Synonyms | WWOX (p-Y33), WWOX (p-Tyr33), p-WWOX (Y33), p-WWOX (Tyr33) |
| Ig Type | IgG |
| Reactivity | Human |
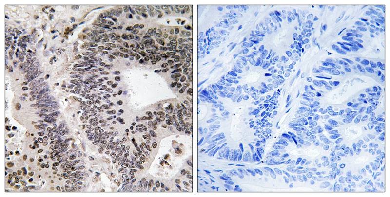
| Verified Activity | 1. Western blot analysis of extracts from HepG2 cells treated with PMA using WWOX (Phospho-Tyr33) Antibody TMAC-04292. The lane on the right is treated with the antigen-specific peptide. 2. Immunohistochemical analysis of paraffin-embedded human colon carcinoma tissue using WWOX (Phospho-Tyr33) antibody TMAC-04292 (left) or the same antibody preincubated with blocking peptide (right). ![]() ![]() |
| Application | |
| Recommended Dose | WB: 1:500-1000; IHC: 1:50-100 |
| Antibody Type | Polyclonal |
| Host Species | Rabbit |
| Construction | Polyclonal Antibody |
| Purification | Antibodies were produced by immunizing rabbits with synthetic phosphopeptide and KLH conjugates. Antibodies were purified by affinity-chromatography using epitope-specific phosphopeptide. Non-phospho specific antibodies were removed by chromatogramphy using non-phosphopeptide. |
| Appearance | Liquid |
| Formulation | Rabbit IgG in phosphate buffered saline (without Mg2+ and Ca2+), pH 7.4, 150mM NaCl, 0.02% sodium azide and 50% glycerol. |
| Research Background | WW domain-containing proteins are found in all eukaryotes and play an important role in the regulation of a wide variety of cellular functions such as protein degradation, transcription, and RNA splicing. This gene encodes a protein which contains 2 WW domains and a short-chain dehydrogenase/reductase domain (SRD). The highest normal expression of this gene is detected in hormonally regulated tissues such as testis, ovary, and prostate. This expression pattern and the presence of an SRD domain suggest a role for this gene in steroid metabolism. |
| Conjucates | Unconjugated |
| Others Formats | Phospho |
| Immunogen | Peptide sequence around phosphorylation site of tyrosine 33 (W-V-Y(p)-Y-A) derived from Human WWOX |
| Antigen Species | human |
| Uniprot ID |
| Molecular Weight | Actual: 55 kDa. |
| Stability & Storage | Store at -20°C or -80°C for 12 months. Avoid repeated freeze-thaw cycles. |
| Transport | Shipping with blue ice. |
| Size | Quantity | Unit Price | Amount | Operation |
|---|

Copyright © 2015-2026 TargetMol Chemicals Inc. All Rights Reserved.