Shopping Cart
Remove All
Your shopping cart is currently empty
Anti-Phospho-WAVE1 (Tyr125) Polyclonal Antibody is a Rabbit antibody targeting Phospho-WAVE1 (Tyr125). Anti-Phospho-WAVE1 (Tyr125) Polyclonal Antibody can be used in IHC,WB.
| Pack Size | Price | USA Warehouse | Global Warehouse | Quantity |
|---|---|---|---|---|
| 50 μL | $218 | 7-10 days | 7-10 days | |
| 100 μL | $318 | 7-10 days | 7-10 days |
| Description | Anti-Phospho-WAVE1 (Tyr125) Polyclonal Antibody is a Rabbit antibody targeting Phospho-WAVE1 (Tyr125). Anti-Phospho-WAVE1 (Tyr125) Polyclonal Antibody can be used in IHC,WB. |
| Synonyms | WAVE1 (p-Y125), WAVE1 (p-Tyr125), p-WAVE1 (Y125), p-WAVE1 (Tyr125) |
| Ig Type | IgG |
| Reactivity | Human,Mouse |
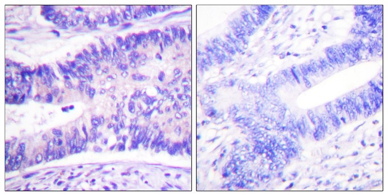
| Verified Activity | 1. Western blot analysis of extracts from NIH/3T3 cells, treated with Insulin (0.01U/ml, 15mins), using WAVE1 (Phospho-Tyr125) antibody TMAC-04278. The lane on the right is treated with the synthesized peptide. 2. Immunohistochemistry analysis of paraffin-embedded human colon carcinoma tissue using WAVE1 (Phospho-Tyr125) antibody TMAC-04278. The picture on the right is treated with the synthesized peptide. ![]() ![]() |
| Application | |
| Recommended Dose | WB: 1:500-3000; IHC: 1:50-100 |
| Antibody Type | Polyclonal |
| Host Species | Rabbit |
| Construction | Polyclonal Antibody |
| Purification | Antibodies were produced by immunizing rabbits with synthetic phosphopeptide and KLH conjugates. Antibodies were purified by affinity-chromatography using epitope-specific phosphopeptide. Non-phospho specific antibodies were removed by chromatogramphy using non-phosphopeptide. |
| Appearance | Liquid |
| Formulation | Rabbit IgG in phosphate buffered saline (without Mg2+ and Ca2+), pH 7.4, 150mM NaCl, 0.02% sodium azide and 50% glycerol. |
| Research Background | Downstream effector molecule involved in the transmission of signals from tyrosine kinase receptors and small GTPases to the actin cytoskeleton. Promotes formation of actin filaments. Part of the WAVE complex that regulates lamellipodia formation. The WAVE complex regulates actin filament reorganization via its interaction with the Arp2/3 complex. |
| Conjucates | Unconjugated |
| Others Formats | Phospho |
| Immunogen | Peptide sequence around phosphorylation site of tyrosine 125 (E-T-Y(p)-D-V) derived from Human WAVE1 |
| Antigen Species | human |
| Uniprot ID |
| Molecular Weight | Actual: 70 kDa. |
| Stability & Storage | Store at -20°C or -80°C for 12 months. Avoid repeated freeze-thaw cycles. |
| Transport | Shipping with blue ice. |
| Size | Quantity | Unit Price | Amount | Operation |
|---|

Copyright © 2015-2026 TargetMol Chemicals Inc. All Rights Reserved.