Shopping Cart
Remove All
Your shopping cart is currently empty
Anti-Phospho-VHL (Ser68) Polyclonal Antibody is a Rabbit antibody targeting Phospho-VHL (Ser68). Anti-Phospho-VHL (Ser68) Polyclonal Antibody can be used in IF,IHC.
| Pack Size | Price | USA Warehouse | Global Warehouse | Quantity |
|---|---|---|---|---|
| 50 μL | $297 | 7-10 days | 7-10 days | |
| 100 μL | $498 | 7-10 days | 7-10 days |
| Description | Anti-Phospho-VHL (Ser68) Polyclonal Antibody is a Rabbit antibody targeting Phospho-VHL (Ser68). Anti-Phospho-VHL (Ser68) Polyclonal Antibody can be used in IF,IHC. |
| Synonyms | VHL (p-Ser68), VHL (p-S68), p-VHL (Ser68), p-VHL (S68) |
| Ig Type | IgG |
| Reactivity | Human,Mouse,Rat |
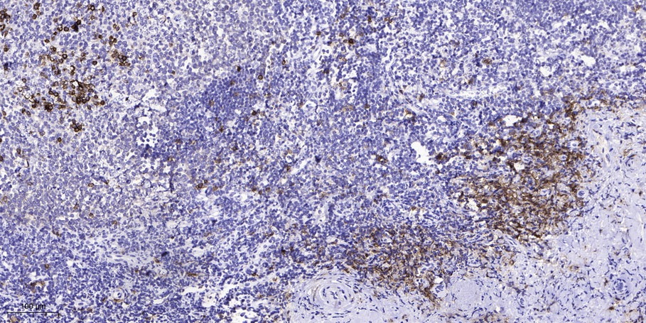
| Verified Activity | 1. Immunohistochemical analysis of paraffin-embedded human tonsil. 1, Antibody was diluted at 1:200(4°C overnight). 2, Tris-EDTA,pH9.0 was used for antigen retrieval. 3,Secondary antibody was diluted at 1:200(room temperature, 45min). ![]() |
| Application | |
| Recommended Dose | IHC: 1:100-300; IF: 1:50-200 |
| Antibody Type | Polyclonal |
| Host Species | Rabbit |
| Construction | Polyclonal Antibody |
| Purification | The antibody was affinity-purified from rabbit antiserum by affinity-chromatography using epitope-specific immunogen. |
| Appearance | Liquid |
| Formulation | Rabbit IgG in phosphate buffered saline (without Mg2+ and Ca2+), pH 7.4, 150mM NaCl, 0.02% sodium azide and 50% glycerol. |
| Conjucates | Unconjugated |
| Others Formats | Phospho |
| Immunogen | A synthesized phosphopeptide: human VHL around the phosphorylation site of Ser68 |
| Antigen Species | human |
| Uniprot ID |
| Stability & Storage | Store at -20°C or -80°C for 12 months. Avoid repeated freeze-thaw cycles. |
| Transport | Shipping with blue ice. |
| Size | Quantity | Unit Price | Amount | Operation |
|---|

Copyright © 2015-2026 TargetMol Chemicals Inc. All Rights Reserved.