Shopping Cart
- Remove All
 Your shopping cart is currently empty Your shopping cart is currently empty
Anti-Phospho-VEGFR2/KDR (Tyr1214) Polyclonal Antibody is a Rabbit antibody targeting Phospho-VEGFR2/KDR (Tyr1214). Anti-Phospho-VEGFR2/KDR (Tyr1214) Polyclonal Antibody can be used in IF,IHC,WB.
| Pack Size | Price | Availability | Quantity | 
|---|---|---|---|
| 50 μL | $217 | 7-10 days | |
| 100 μL | $317 | 7-10 days | 
| Description | Anti-Phospho-VEGFR2/KDR (Tyr1214) Polyclonal Antibody is a Rabbit antibody targeting Phospho-VEGFR2/KDR (Tyr1214). Anti-Phospho-VEGFR2/KDR (Tyr1214) Polyclonal Antibody can be used in IF,IHC,WB. | 
| Synonyms | VEGFR2/KDR (p-Y1214), VEGFR2/KDR (p-Tyr1214), p-VEGFR2/KDR (Y1214), p-VEGFR2/KDR (Tyr1214) | 
| Ig Type | IgG | 
| Reactivity | Human,Mouse,Rat | 
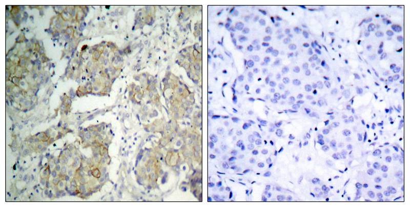
| Verified Activity | 1. Western blot analysis of extracts from SKOV3 cells using VEGFR2 (Phospho-Tyr1214) Antibody TMAC-04250 (Lane 1) and the same antibody preincubated with blocking peptide (Lane2). 2. Immunohistochemical analysis of paraffin-embedded human breast carcinoma tissue using VEGFR2 (Phospho-Tyr1214) Antibody TMAC-04250 (left) or the same antibody preincubated with blocking peptide (right). 3. Immunofluorescence staining of methanol-fixed MCF cells using VEGFR2 (Phospho-Tyr1214) Antibody TMAC-04250.    | 
| Application | |
| Antibody Type | Polyclonal | 
| Host Species | Rabbit | 
| Construction | Polyclonal Antibody | 
| Purification | Antibodies were produced by immunizing rabbits with synthetic phosphopeptide and KLH conjugates. Antibodies were purified by affinity-chromatography using epitope-specific phosphopeptide. Non-phospho specific antibodies were removed by chromatogramphy using non-phosphopeptide. | 
| Appearance | Liquid | 
| Formulation | Supplied at 1.0mg/mL in phosphate buffered saline (without Mg2+ and Ca2+), pH 7.4, 150mM NaCl, 0.02% sodium azide and 50% glycerol. | 
| Research Background | Receptor for VEGF or VEGFC. Has a tyrosine-protein kinase activity. The VEGF-kinase ligand/receptor signaling system plays a key role in vascular development and regulation of vascular permeability. In case of HIV-1 infection, the interaction with extracellular viral Tat protein seems to enhance angiogenesis in Kaposi's sarcoma lesions | 
| Conjucates | Unconjugated | 
| Others Formats | Phospho | 
| Immunogen | Peptide sequence around phosphorylation site of tyrosine 1214 (F-H-Y(p)-D-N) derived from Human VEGFR2 | 
| Antigen Species | human | 
| Uniprot ID | 
| Stability & Storage | Store at 2°C-8°C for 1 month. Store at -20°C or -80°C for 12 months. Avoid repeated freeze-thaw cycles. | 
| Transport | Shipping with blue ice. | 

Copyright © 2015-2025 TargetMol Chemicals Inc. All Rights Reserved.