Shopping Cart
Remove All
Your shopping cart is currently empty
Anti-Phospho-TOP2A (Ser1106) Polyclonal Antibody is a Rabbit antibody targeting Phospho-TOP2A (Ser1106). Anti-Phospho-TOP2A (Ser1106) Polyclonal Antibody can be used in IHC,WB.
| Pack Size | Price | USA Warehouse | Global Warehouse | Quantity |
|---|---|---|---|---|
| 50 μL | $217 | 7-10 days | 7-10 days | |
| 100 μL | $318 | 7-10 days | 7-10 days |
| Description | Anti-Phospho-TOP2A (Ser1106) Polyclonal Antibody is a Rabbit antibody targeting Phospho-TOP2A (Ser1106). Anti-Phospho-TOP2A (Ser1106) Polyclonal Antibody can be used in IHC,WB. |
| Synonyms | TOP2A (p-Ser1106), TOP2A (p-S1106), p-TOP2A (Ser1106), p-TOP2A (S1106) |
| Ig Type | IgG |
| Reactivity | Human,Mouse |
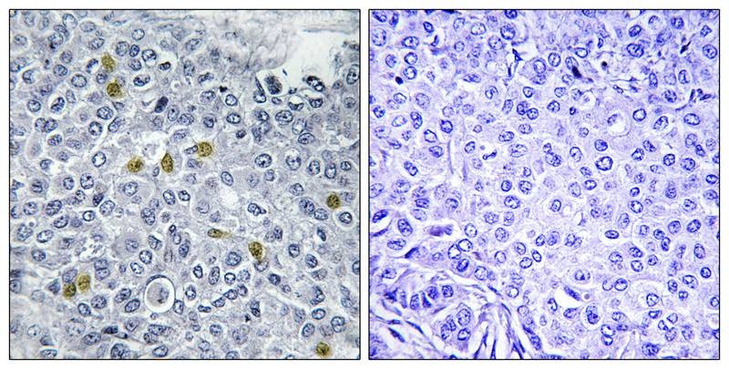
| Verified Activity | 1. Western blot analysis of extracts from Jurkat cells, treated with paclitaxel (1uM, 24hours), using TOP2A (Phospho-Ser1106) antibody TMAC-04078. The lane on the right is treated with the synthesized peptide. 2. Immunohistochemistry analysis of paraffin-embedded human breast carcinoma tissue using TOP2A (Phospho-Ser1106) antibody TMAC-04078. The picture on the right is treated with the synthesized peptide. ![]() ![]() |
| Application | |
| Recommended Dose | WB: 1:500-3000; IHC: 1:50-100 |
| Antibody Type | Polyclonal |
| Host Species | Rabbit |
| Construction | Polyclonal Antibody |
| Purification | Antibodies were produced by immunizing rabbits with synthetic phosphopeptide and KLH conjugates. Antibodies were purified by affinity-chromatography using epitope-specific phosphopeptide. Non-phospho specific antibodies were removed by chromatogramphy using non-phosphopeptide. |
| Appearance | Liquid |
| Formulation | Rabbit IgG in phosphate buffered saline (without Mg2+ and Ca2+), pH 7.4, 150mM NaCl, 0.02% sodium azide and 50% glycerol. |
| Research Background | Control of topological states of DNA by transient breakage and subsequent rejoining of DNA strands. Topoisomerase II makes double-strand breaks. Essential during mitosis and meiosis for proper segregation of daughter chromosomes. |
| Conjucates | Unconjugated |
| Others Formats | Phospho |
| Immunogen | Peptide sequence around phosphorylation site of serine 1106 (E-E-S(p)-D-N) derived from Human TOP2A |
| Antigen Species | human |
| Uniprot ID |
| Molecular Weight | Actual: 174 kDa. |
| Stability & Storage | Store at -20°C or -80°C for 12 months. Avoid repeated freeze-thaw cycles. |
| Transport | Shipping with blue ice. |
| Size | Quantity | Unit Price | Amount | Operation |
|---|

Copyright © 2015-2026 TargetMol Chemicals Inc. All Rights Reserved.