Shopping Cart
Remove All
Your shopping cart is currently empty
Anti-Phospho-TK1 (Ser13) Polyclonal Antibody is a Rabbit antibody targeting Phospho-TK1 (Ser13). Anti-Phospho-TK1 (Ser13) Polyclonal Antibody can be used in IHC,WB.
| Pack Size | Price | USA Warehouse | Global Warehouse | Quantity |
|---|---|---|---|---|
| 50 μL | $216 | 7-10 days | 7-10 days | |
| 100 μL | $318 | 7-10 days | 7-10 days |
| Description | Anti-Phospho-TK1 (Ser13) Polyclonal Antibody is a Rabbit antibody targeting Phospho-TK1 (Ser13). Anti-Phospho-TK1 (Ser13) Polyclonal Antibody can be used in IHC,WB. |
| Synonyms | TK1 (p-Ser13), TK1 (p-S13), p-TK1 (Ser13), p-TK1 (S13) |
| Ig Type | IgG |
| Reactivity | Human |
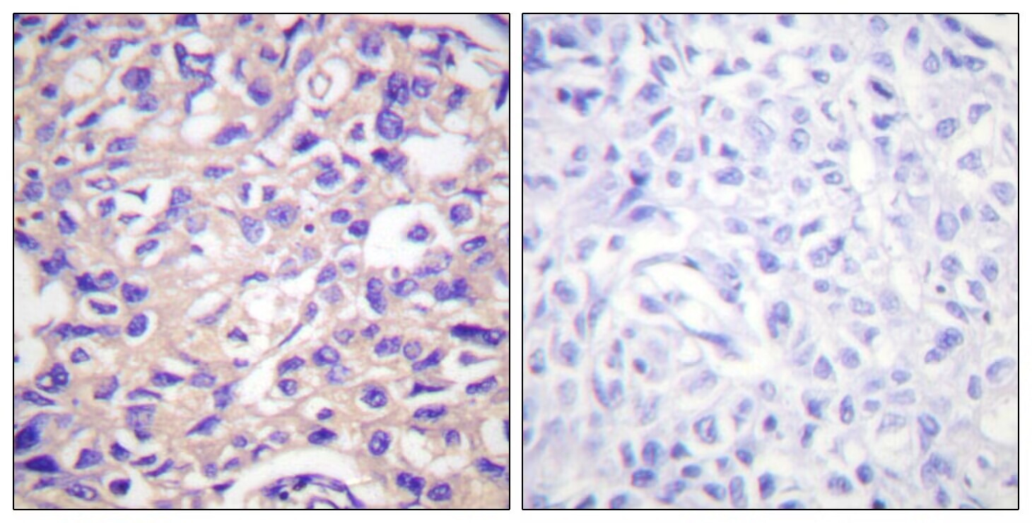
| Verified Activity | 1. Western blot analysis of lysates from HeLa cells treated with paclitaxel 1uM 24h, using TK (Phospho-Ser13) Antibody. The lane on the right is blocked with the phospho peptide. 2. Immunohistochemistry analysis of paraffin-embedded human breast carcinoma, using TK (Phospho-Ser13) Antibody. The picture on the right is blocked with the phospho peptide. ![]() ![]() |
| Application | |
| Recommended Dose | WB: 1:500-2000; IHC: 1:100-300 |
| Antibody Type | Polyclonal |
| Host Species | Rabbit |
| Construction | Polyclonal Antibody |
| Purification | Antibodies were produced by immunizing rabbits with synthetic phosphopeptide and KLH conjugates. Antibodies were purified by affinity-chromatography using epitope-specific phosphopeptide. Non-phospho specific antibodies were removed by chromatogramphy using non-phosphopeptide. |
| Appearance | Liquid |
| Formulation | Liquid in PBS containing 50% glycerol, 0.5% BSA and 0.02% sodium azide. |
| Research Background | TK is a cytosolic thymidine kinase. Phosphorylated during mitosis. Its enzymatic activity is high in proliferating cells and peaks during the S-phase of the cell cycle; it is very low in resting cells. |
| Conjucates | Unconjugated |
| Others Formats | Phospho |
| Immunogen | Peptide sequence around phosphorylation site of Serine 13(P-G-S(p)-P-S) derived from Human TK |
| Antigen Species | human |
| Uniprot ID |
| Molecular Weight | Actual: 25 kDa. |
| Stability & Storage | Store at -20°C or -80°C for 12 months. Avoid repeated freeze-thaw cycles. |
| Transport | Shipping with blue ice. |
| Size | Quantity | Unit Price | Amount | Operation |
|---|

Copyright © 2015-2026 TargetMol Chemicals Inc. All Rights Reserved.