Shopping Cart
Remove All
Your shopping cart is currently empty
Anti-Phospho-Synapsin-1 (Ser9) Antibody (8A406) is a Rabbit antibody targeting Phospho-Synapsin-1 (Ser9). Anti-Phospho-Synapsin-1 (Ser9) Antibody (8A406) can be used in IHC,WB.
| Pack Size | Price | USA Warehouse | Global Warehouse | Quantity |
|---|---|---|---|---|
| 50 μL | $296 | 7-10 days | 7-10 days | |
| 100 μL | $498 | 7-10 days | 7-10 days |
| Description | Anti-Phospho-Synapsin-1 (Ser9) Antibody (8A406) is a Rabbit antibody targeting Phospho-Synapsin-1 (Ser9). Anti-Phospho-Synapsin-1 (Ser9) Antibody (8A406) can be used in IHC,WB. |
| Synonyms | Synapsin-1 (p-Ser9), Synapsin-1 (p-S9), p-Synapsin-1 (Ser9), p-Synapsin-1 (S9) |
| Ig Type | IgG |
| Clone | 8A406 |
| Reactivity | Human,Mouse,Rat |
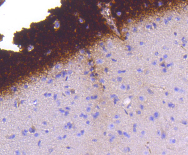
| Verified Activity | 1. Immunohistochemical analysis of paraffin-embedded rat brain tissue using anti-phospho-Synapsin (S9) antibody. Counter stained with hematoxylin. 2. Immunohistochemical analysis of paraffin-embedded mouse brain tissue using anti-phospho-Synapsin (S9) antibody. Counter stained with hematoxylin. ![]() ![]() |
| Application | |
| Recommended Dose | WB: 1:1000; IHC: 1:50-200 |
| Antibody Type | Monoclonal |
| Host Species | Rabbit |
| Construction | Hybridoma Monoclonal Antibody |
| Purification | ProA affinity purified |
| Appearance | Liquid |
| Formulation | 1*TBS (pH7.4), 1%BSA, 40%Glycerol. Preservative: 0.05% Sodium Azide. |
| Research Background | Synapsins are synaptic vesicle-associated phosphoproteins that regulate synaptic vesicle exocytosis and may be involved in synaptogenesis. Evidence suggests that Synapsin I, Synapsin II and Synapsin IIIa are ATP-binding proteins that are regulated by Ca2+ and calmodulin binding. Ca2+ has been shown to stimulate ATP binding to Synapsin I, to have no effect on Synapsin II and to inhibit Synapsin III. Synapsin I and Synapsin II both undergo alternative splicing to produce two forms of each protein, Synapsin la and lb and Synapsin IIa and IIb, respectively. Synapsin III gives rise to at least three isoforms: Synapsin IIIa, IIIb and IIIc. Synapsin III plays unique roles both in early axon outgrowth and in the regulation of synaptic vesicle trafficking. In cultured mouse hippocampal neurons, Synapsin III is expressed early during development, with levels peaking seven days after plating and declining thereafter. Synapsin III is highly concentrated in growth cones. |
| Conjucates | Unconjugated |
| Others Formats | Phospho |
| Immunogen | A synthesized phosphopeptide: human Synapsin around the phosphorylation site of Ser9 |
| Antigen Species | human |
| Uniprot ID |
| Molecular Weight | Theoretical: 77 kDa. |
| Stability & Storage | Store at -20°C or -80°C for 12 months. Avoid repeated freeze-thaw cycles. |
| Transport | Shipping with blue ice. |
| Size | Quantity | Unit Price | Amount | Operation |
|---|

Copyright © 2015-2026 TargetMol Chemicals Inc. All Rights Reserved.