Shopping Cart
Remove All
Your shopping cart is currently empty
Synonyms: Tyrosine-protein kinase SYK(Spleen tyrosine kinase) [Contains: 72kDa tyrosine-protein kinase SYK, Tyrosine-protein kinase SYK, Tyrosine protein kinase SYK, Syk (p-Y323), Syk (p-Tyr323), Syk, Spleen tyrosine kinase, p-Syk (Y323), p-Syk (Tyr323), p72syk, KSYK, 40 kDa tyrosine-protein kinase SYK
| Pack Size | Price | USA Stock | Global Stock | Quantity |
|---|---|---|---|---|
| 50 μL | $216 | 7-10 days | 7-10 days | |
| 100 μL | $316 | 7-10 days | 7-10 days |
| Description | Anti-Phospho-Syk (Tyr323) Polyclonal Antibody is a Rabbit antibody targeting Phospho-Syk (Tyr323). Anti-Phospho-Syk (Tyr323) Polyclonal Antibody can be used in IF,IHC,WB. |
| Synonyms | Tyrosine-protein kinase SYK(Spleen tyrosine kinase) [Contains: 72kDa tyrosine-protein kinase SYK, Tyrosine-protein kinase SYK, Tyrosine protein kinase SYK, Syk (p-Y323), Syk (p-Tyr323), Syk, Spleen tyrosine kinase, p-Syk (Y323), p-Syk (Tyr323), p72syk, KSYK, 40 kDa tyrosine-protein kinase SYK |
| Ig Type | IgG |
| Reactivity | Human,Mouse,Rat |
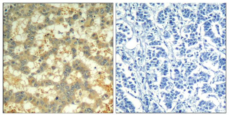
| Verified Activity | 1. Western blot analysis of extracts from JK cells untreated or treated with H2O2 for the indicated times, using syk (phospho-Tyr323) Antibody TMAC-03929. 2. Immunohistochemical analysis of paraffin-embedded human breast carcinoma tissue using syk (Phospho-Tyr323) Antibody TMAC-03929 (left) or the same antibody preincubated with blocking peptide (right). 3. Immunofluorescence staining of methanol-fixed Hela cells using syk (phospho-Tyr323) Antibody TMAC-03929. |
| Application | |
| Antibody Type | Polyclonal |
| Host Species | Rabbit |
| Construction | Polyclonal Antibody |
| Purification | Antibodies were produced by immunizing rabbits with synthetic phosphopeptide and KLH conjugates. Antibodies were purified by affinity-chromatography using epitope-specific phosphopeptide. Non-phospho specific antibodies were removed by chromatogramphy using non-phosphopeptide. |
| Appearance | Liquid |
| Formulation | Supplied at 1.0mg/mL in phosphate buffered saline (without Mg2+ and Ca2+), pH 7.4, 150mM NaCl, 0.02% sodium azide and 50% glycerol. |
| Research Background | Positive effector of BCR-stimulated responses. Couples the B-cell antigen receptor (BCR) to the mobilization of calcium ion either through a phosphoinositide 3-kinase-dependent pathway, when not phosphorylated on tyrosines of the linker region, or through a phospholipase C-gamma-dependent pathway, when phosphorylated on Tyr-348 and Tyr-352. Thus the differential phosphorylation of Syk can determine the pathway by which BCR is coupled to the regulation of intracellular calcium ion |
| Conjucates | Unconjugated |
| Others Formats | Phospho |
| Immunogen | Peptide sequence around phosphorylation site of tyrosine 323 (N-P-Y(p)-E- P) derived from Human syk |
| Antigen Species | human |
| Uniprot ID |
| Stability & Storage | Store at 2°C-8°C for 1 month. Store at -20°C or -80°C for 12 months. Avoid repeated freeze-thaw cycles. |
| Transport | Shipping with blue ice. |
| Size | Quantity | Unit Price | Amount | Operation |
|---|

Copyright © 2015-2026 TargetMol Chemicals Inc. All Rights Reserved.