Shopping Cart
Remove All
Your shopping cart is currently empty
Anti-Phospho-Stathmin 1 (Ser63) Polyclonal Antibody is a Rabbit antibody targeting Phospho-Stathmin 1 (Ser63). Anti-Phospho-Stathmin 1 (Ser63) Polyclonal Antibody can be used in IHC,WB.
| Pack Size | Price | USA Warehouse | Global Warehouse | Quantity |
|---|---|---|---|---|
| 50 μL | $216 | 7-10 days | 7-10 days | |
| 100 μL | $316 | 7-10 days | 7-10 days |
| Description | Anti-Phospho-Stathmin 1 (Ser63) Polyclonal Antibody is a Rabbit antibody targeting Phospho-Stathmin 1 (Ser63). Anti-Phospho-Stathmin 1 (Ser63) Polyclonal Antibody can be used in IHC,WB. |
| Synonyms | Stathmin 1 (p-Ser63), Stathmin 1 (p-S63), p-Stathmin 1 (Ser63), p-Stathmin 1 (S63) |
| Ig Type | IgG |
| Reactivity | Human |
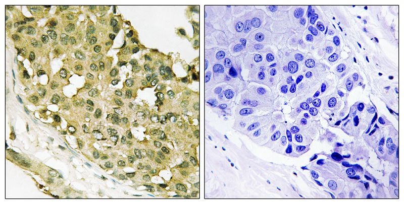
| Verified Activity | 1. Immunohistochemical analysis of paraffin-embedded human breast carcinoma tissue using STMN1 (Phospho-Ser63) antibody TMAC-03904 (left) or the same antibody preincubated with blocking peptide (right). 2. Western blot analysis of extracts from COS cells treated with nocodazole using STMN1 (Phospho-Ser63) Antibody.The lane on the right is treated with the antigen-specific peptide. ![]() ![]() |
| Application | |
| Recommended Dose | WB: 1:500-1000; IHC: 1:50-100 |
| Antibody Type | Polyclonal |
| Host Species | Rabbit |
| Construction | Polyclonal Antibody |
| Purification | Antibodies were produced by immunizing rabbits with synthetic phosphopeptide and KLH conjugates. Antibodies were purified by affinity-chromatography using epitope-specific phosphopeptide. Non-phospho specific antibodies were removed by chromatogramphy using non-phosphopeptide. |
| Appearance | Liquid |
| Formulation | Rabbit IgG in phosphate buffered saline (without Mg2+ and Ca2+), pH 7.4, 150mM NaCl, 0.02% sodium azide and 50% glycerol. |
| Research Background | This gene belongs to the stathmin family of genes. It encodes a ubiquitous cytosolic phosphoprotein proposed to function as an intracellular relay integrating regulatory signals of the cellular environment. The encoded protein is involved in the regulation of the microtubule filament system by destabilizing microtubules. It prevents assembly and promotes disassembly of microtubules. Alternatively spliced transcript variants encoding the same protein have been identified. |
| Conjucates | Unconjugated |
| Others Formats | Phospho |
| Immunogen | Peptide sequence around phosphorylation site of Serine 63(R-K-S(p)-H-E) derived from Human STMN1 |
| Antigen Species | human |
| Uniprot ID |
| Molecular Weight | Actual: 22 kDa. |
| Stability & Storage | Store at -20°C or -80°C for 12 months. Avoid repeated freeze-thaw cycles. |
| Transport | Shipping with blue ice. |
| Size | Quantity | Unit Price | Amount | Operation |
|---|

Copyright © 2015-2026 TargetMol Chemicals Inc. All Rights Reserved.