Shopping Cart
Remove All
Your shopping cart is currently empty
Anti-Phospho-STAT6 (Thr645) Polyclonal Antibody is a Rabbit antibody targeting Phospho-STAT6 (Thr645). Anti-Phospho-STAT6 (Thr645) Polyclonal Antibody can be used in IHC,WB.
| Pack Size | Price | USA Warehouse | Global Warehouse | Quantity |
|---|---|---|---|---|
| 50 μL | $217 | 7-10 days | 7-10 days | |
| 100 μL | $316 | 7-10 days | 7-10 days |
| Description | Anti-Phospho-STAT6 (Thr645) Polyclonal Antibody is a Rabbit antibody targeting Phospho-STAT6 (Thr645). Anti-Phospho-STAT6 (Thr645) Polyclonal Antibody can be used in IHC,WB. |
| Synonyms | STAT6 (p-Thr645), STAT6 (p-T645), p-STAT6 (Thr645), p-STAT6 (T645) |
| Ig Type | IgG |
| Reactivity | Human |
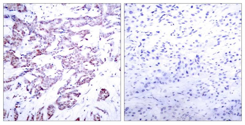
| Verified Activity | 1. Immunohistochemical analysis of paraffin-embedded human breast carcinoma tissue using STAT6 (Phospho-Thr645) Antibody TMAC-03892 (left) or the same antibody preincubated with blocking peptide (right). 2. Western blot analysis of extracts from Hela cells, treated with IL-4 or calf intestinal phosphatase (CIP), using STAT6 (Phospho-Thr645) Antibody TMAC-03892. ![]() ![]() |
| Application | |
| Antibody Type | Polyclonal |
| Host Species | Rabbit |
| Construction | Polyclonal Antibody |
| Purification | Antibodies were produced by immunizing rabbits with synthetic phosphopeptide and KLH conjugates. Antibodies were purified by affinity-chromatography using epitope-specific phosphopeptide. Non-phospho specific antibodies were removed by chromatogramphy using non-phosphopeptide. |
| Appearance | Liquid |
| Formulation | Supplied at 1.0mg/mL in phosphate buffered saline (without Mg2+ and Ca2+), pH 7.4, 150mM NaCl, 0.02% sodium azide and 50% glycerol. |
| Research Background | Carries out a dual function: signal transduction and activation of transcription. Involved in interleukin-4 signalling. |
| Conjucates | Unconjugated |
| Others Formats | Phospho |
| Immunogen | Peptide sequence around phosphorylation site of threonine 645 (P-A-T(p)-I-K) derived from Human STAT6 |
| Antigen Species | human |
| Uniprot ID |
| Stability & Storage | Store at 2°C-8°C for 1 month. Store at -20°C or -80°C for 12 months. Avoid repeated freeze-thaw cycles. |
| Transport | Shipping with blue ice. |
| Size | Quantity | Unit Price | Amount | Operation |
|---|

Copyright © 2015-2026 TargetMol Chemicals Inc. All Rights Reserved.