Shopping Cart
Remove All
Your shopping cart is currently empty
Anti-Phospho-STAT4 (Tyr693) Polyclonal Antibody is a Rabbit antibody targeting Phospho-STAT4 (Tyr693). Anti-Phospho-STAT4 (Tyr693) Polyclonal Antibody can be used in IF,IHC-Fr,IHC-P.
| Pack Size | Price | USA Warehouse | Global Warehouse | Quantity |
|---|---|---|---|---|
| 50 μL | $222 | 7-10 days | 7-10 days | |
| 100 μL | $372 | 7-10 days | 7-10 days | |
| 200 μL | $529 | 7-10 days | 7-10 days |
| Description | Anti-Phospho-STAT4 (Tyr693) Polyclonal Antibody is a Rabbit antibody targeting Phospho-STAT4 (Tyr693). Anti-Phospho-STAT4 (Tyr693) Polyclonal Antibody can be used in IF,IHC-Fr,IHC-P. |
| Synonyms | STAT4 (p-Y693), STAT4 (p-Tyr693), SLEB11, signal transducer and activator of transcription 4, p-STAT4 (Y693), p-STAT4 (Tyr693) |
| Ig Type | IgG |
| Reactivity | Mouse (predicted:Human,Rat,Chicken,Dog,Pig,Cow,Horse,Rabbit) |
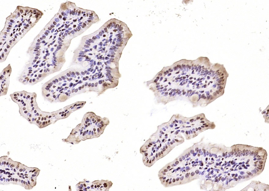
| Verified Activity | Paraformaldehyde-fixed, paraffin embedded (mouse intestine tissue); Antigen retrieval by boiling in sodium citrate buffer (pH6.0) for 15 min; Block endogenous peroxidase by 3% hydrogen peroxide for 20 min; Blocking buffer (normal goat serum) at 37°C for 30 min; Antibody incubation with (Phospho-Stat4 (Tyr693)) Polyclonal Antibody, Unconjugated (TMAB-01511) at 1:200 overnight at 4°C, followed by operating according to SP Kit (Rabbit) instructionsand DAB staining. ![]() |
| Application | |
| Recommended Dose | IHC-P: 1:100-500; IHC-Fr: 1:100-500; IF: 1:100-500 |
| Antibody Type | Polyclonal |
| Host Species | Rabbit |
| Subcellular Localization | Cytoplasm. Nucleus. Note=Translocated into the nucleus in response to phosphorylation. |
| Construction | Polyclonal Antibody |
| Purification | Protein A purified |
| Appearance | Liquid |
| Formulation | 0.01M TBS (pH7.4) with 1% BSA, 0.02% Proclin300 and 50% Glycerol. |
| Concentration | 1 mg/mL |
| Research Background | The protein encoded by this gene is a member of the STAT family of transcription factors. In response to cytokines and growth factors, STAT family members are phosphorylated by the receptor associated kinases, and then form homo- or heterodimers that translocate to the cell nucleus where they act as transcription activators. This protein is essential for mediating responses to IL12 in lymphocytes, and regulating the differentiation of T helper cells. Mutations in this gene may be associated with systemic lupus erythematosus and rheumatoid arthritis. Alternate splicing results in multiple transcript variants that encode the same protein. [provided by RefSeq, Aug 2011]. |
| Immunogen | KLH conjugated Synthesised phosphopeptide: human Stat4 around the phosphorylation site of Tyr693 |
| Antigen Species | Human |
| Gene Name | STAT4 |
| Gene ID | |
| Protein Name | Signal transducer and activator of transcription 4 |
| Uniprot ID | |
| Biology Area | STAT family,STATs,Other factors,Phosphoprotein ICE kits,STATs |
| Function | Carries out a dual function: signal transduction and activation of transcription. Involved in IL12 signaling. |
| Molecular Weight | Theoretical: 82 kDa. |
| Stability & Storage | Store at -20°C or -80°C for 12 months. Avoid repeated freeze-thaw cycles. |
| Transport | Shipping with blue ice. |
| Size | Quantity | Unit Price | Amount | Operation |
|---|

Copyright © 2015-2026 TargetMol Chemicals Inc. All Rights Reserved.