Shopping Cart
Remove All
Your shopping cart is currently empty
Anti-Phospho-SRF (Ser77) Polyclonal Antibody is a Rabbit antibody targeting Phospho-SRF (Ser77). Anti-Phospho-SRF (Ser77) Polyclonal Antibody can be used in IHC,WB.
| Pack Size | Price | USA Warehouse | Global Warehouse | Quantity |
|---|---|---|---|---|
| 50 μL | $216 | 7-10 days | 7-10 days | |
| 100 μL | $316 | 7-10 days | 7-10 days |
| Description | Anti-Phospho-SRF (Ser77) Polyclonal Antibody is a Rabbit antibody targeting Phospho-SRF (Ser77). Anti-Phospho-SRF (Ser77) Polyclonal Antibody can be used in IHC,WB. |
| Synonyms | SRF (p-Ser77), SRF (p-S77), p-SRF (Ser77), p-SRF (S77) |
| Ig Type | IgG |
| Reactivity | Human,Mouse |
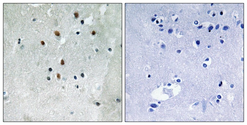
| Verified Activity | 1. Western blot analysis of extracts from Jurkat cells, treated with PMA (125ng/ml, 30mins), using SRF (Phospho-Ser77) antibody TMAC-03855. The lane on the right is treated with the synthesized peptide. 2. Immunohistochemistry analysis of paraffin-embedded human brain tissue using SRF (Phospho-Ser77) antibody TMAC-03855. The picture on the right is treated with the synthesized peptide. ![]() ![]() |
| Application | |
| Recommended Dose | WB: 1:500-3000; IHC: 1:50-100 |
| Antibody Type | Polyclonal |
| Host Species | Rabbit |
| Construction | Polyclonal Antibody |
| Purification | Antibodies were produced by immunizing rabbits with synthetic phosphopeptide and KLH conjugates. Antibodies were purified by affinity-chromatography using epitope-specific phosphopeptide. Non-phospho specific antibodies were removed by chromatogramphy using non-phosphopeptide. |
| Appearance | Liquid |
| Formulation | Rabbit IgG in phosphate buffered saline (without Mg2+ and Ca2+), pH 7.4, 150mM NaCl, 0.02% sodium azide and 50% glycerol. |
| Research Background | SRF is a transcription factor that binds to the serum response element (SRE), a short sequence of dyad symmetry located 300 bp to the 5' of the site of transcription initiation of some genes (such as FOS). Required for cardiac differentiation and maturation. |
| Conjucates | Unconjugated |
| Others Formats | Phospho |
| Immunogen | Peptide sequence around phosphorylation site of serine 77 (L-Y-S(p)-G-S) derived from Human SRF |
| Antigen Species | human |
| Uniprot ID |
| Molecular Weight | Actual: 52 kDa. |
| Stability & Storage | Store at -20°C or -80°C for 12 months. Avoid repeated freeze-thaw cycles. |
| Transport | Shipping with blue ice. |
| Size | Quantity | Unit Price | Amount | Operation |
|---|

Copyright © 2015-2026 TargetMol Chemicals Inc. All Rights Reserved.