Shopping Cart
Remove All
Your shopping cart is currently empty
Anti-Phospho-SMC1A (Ser957) Antibody (1H28) is a Rabbit antibody targeting Phospho-SMC1A (Ser957). Anti-Phospho-SMC1A (Ser957) Antibody (1H28) can be used in ICC,IHC,WB.
| Pack Size | Price | USA Warehouse | Global Warehouse | Quantity |
|---|---|---|---|---|
| 50 μL | $297 | 7-10 days | 7-10 days | |
| 100 μL | $498 | 7-10 days | 7-10 days |
| Description | Anti-Phospho-SMC1A (Ser957) Antibody (1H28) is a Rabbit antibody targeting Phospho-SMC1A (Ser957). Anti-Phospho-SMC1A (Ser957) Antibody (1H28) can be used in ICC,IHC,WB. |
| Synonyms | SMC1A (p-Ser957), SMC1A (p-S957), p-SMC1A (Ser957), p-SMC1A (S957) |
| Ig Type | IgG |
| Clone | 1H28 |
| Reactivity | Human |
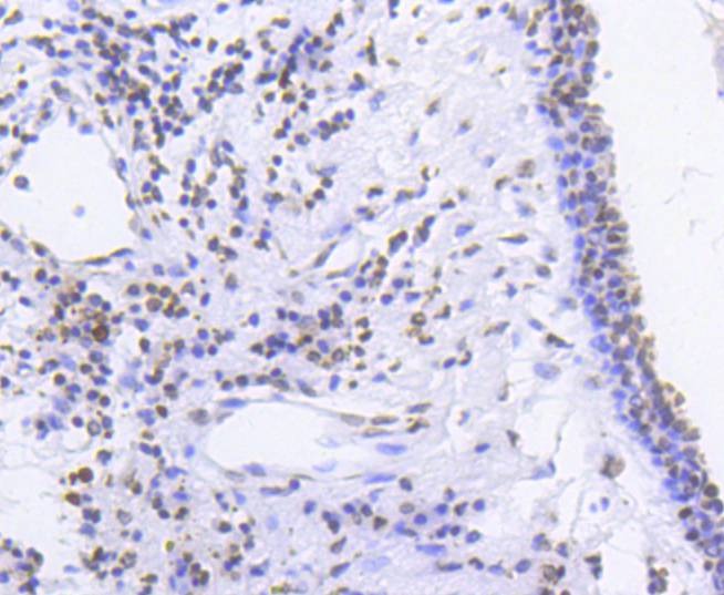
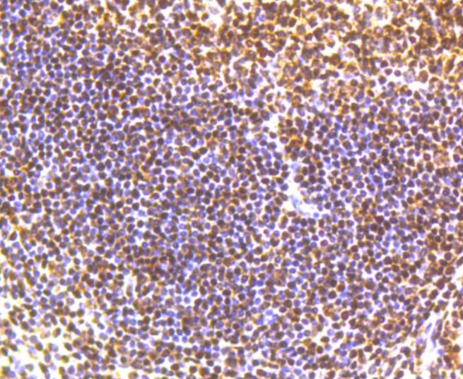
| Verified Activity | 1. Western blot analysis of SMC1 (phospho S957) on Hela cells lysates using anti-phospho-SMC1 (S957) antibody at 1/1,000 dilution. 2. Immunohistochemical analysis of paraffin-embedded human tonsil tissue using anti-phospho-SMC1 (S957) antibody. Counter stained with hematoxylin. 3. Immunohistochemical analysis of paraffin-embedded human lung cancer tissue using anti-phospho-SMC1 (S957) antibody. Counter stained with hematoxylin. 4. Immunohistochemical analysis of paraffin-embedded human breast carcinoma tissue using anti-phospho-SMC1 (S957) antibody. Counter stained with hematoxylin. ![]() ![]() ![]() ![]() |
| Application | |
| Recommended Dose | WB: 1:1000-5000; IHC: 1:50-200; ICC: 1:50-200 |
| Antibody Type | Monoclonal |
| Host Species | Rabbit |
| Construction | Hybridoma Monoclonal Antibody |
| Purification | ProA affinity purified |
| Appearance | Liquid |
| Formulation | 1*TBS (pH7.4), 1%BSA, 40%Glycerol. Preservative: 0.05% Sodium Azide. |
| Research Background | The SMC (structural maintenance of chromosomes) family of proteins form heterodimeric complexes that modulate sister chromatid cohesion and chromosome condensation for mitosis. The two distinct classes of SMC protein complexes are comprised of SMC1 (also designated SB1.8) with SMC3 (also designated HCAP for human chromosome-associated protein and Bamacan for the secreted proteoglycan), and SMC2 (also designated hCAP-E) with SMC4 (also designated hCAP-C). The SMC1/SMC3 complex is required for metaphase progression in mitotic cells and functions independently of the SMC2/SMC4 complex during the cell cycle. SMC1 is ubiqitiously expressed in various human tissues, including thymus, testis and colon. SMC3 is expressed as a nuclear protein in the colon, but can also occur as a secreted proteoglycan expressed in testis and brain. The secreted proteoglycan contains several glycosylation sites and is thought to play a role in basement membrane physiology. |
| Conjucates | Unconjugated |
| Others Formats | Phospho |
| Immunogen | A synthesized phosphopeptide: human SMC1 around the phosphorylation site of Ser957 |
| Antigen Species | human |
| Uniprot ID |
| Molecular Weight | Theoretical: 160 kDa. |
| Stability & Storage | Store at -20°C or -80°C for 12 months. Avoid repeated freeze-thaw cycles. |
| Transport | Shipping with blue ice. |
| Size | Quantity | Unit Price | Amount | Operation |
|---|

Copyright © 2015-2026 TargetMol Chemicals Inc. All Rights Reserved.