Shopping Cart
Remove All
Your shopping cart is currently empty
Anti-Phospho-SMAD3 (Ser425) Polyclonal Antibody is a Rabbit antibody targeting Phospho-SMAD3 (Ser425). Anti-Phospho-SMAD3 (Ser425) Polyclonal Antibody can be used in IHC,WB.
| Pack Size | Price | USA Warehouse | Global Warehouse | Quantity |
|---|---|---|---|---|
| 50 μL | $218 | 7-10 days | 7-10 days | |
| 100 μL | $318 | 7-10 days | 7-10 days |
| Description | Anti-Phospho-SMAD3 (Ser425) Polyclonal Antibody is a Rabbit antibody targeting Phospho-SMAD3 (Ser425). Anti-Phospho-SMAD3 (Ser425) Polyclonal Antibody can be used in IHC,WB. |
| Synonyms | SMAD2 (p-Ser425), SMAD2 (p-S425), SMAD2, p-SMAD2 (Ser425), p-SMAD2 (S425), Phospho-SMAD2 (S425), MADR2, MADH2, LDS6, JV18-1, JV18, hSMAD2, hMAD-2, CHTD8 |
| Ig Type | IgG |
| Reactivity | Human,Mouse,Rat |
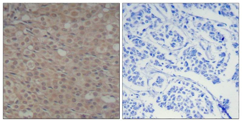
| Verified Activity | 1. Western blot analysis of extracts from Hela cells untreated or treated with EGF using Smad3 (Phospho-Ser425) Antibody TMAC-03796. 2. Immunohistochemical analysis of paraffin-embedded human breast carcinoma tissue using Smad3 (Phospho-Ser425) Antibody TMAC-03796 (left) or the same antibody preincubated with blocking peptide (right). ![]() ![]() |
| Application | |
| Antibody Type | Polyclonal |
| Host Species | Rabbit |
| Construction | Polyclonal Antibody |
| Purification | Antibodies were produced by immunizing rabbits with synthetic phosphopeptide and KLH conjugates. Antibodies were purified by affinity-chromatography using epitope-specific phosphopeptide. Non-phospho specific antibodies were removed by chromatogramphy using non-phosphopeptide. |
| Appearance | Liquid |
| Formulation | Supplied at 1.0mg/mL in phosphate buffered saline (without Mg2+ and Ca2+), pH 7.4, 150mM NaCl, 0.02% sodium azide and 50% glycerol. |
| Research Background | Smad3 encoded by this gene belongs to the SMAD, a family of proteins similar to the gene products of the Drosophila gene 'mothers against decapentaplegic' (Mad) and the C. elegans gene Sma. SMAD proteins are signal transducers and transcriptional modulators that mediate multiple signaling pathways. This protein functions as a transcriptional modulator activated by transforming growth factor-beta and is thought to play a role in the regulation of carcinogenesis. |
| Conjucates | Unconjugated |
| Others Formats | Phospho |
| Immunogen | Peptide sequence around phosphorylation site of serine 425 (C-S-S-V-S(p)) derived from Human Smad3 |
| Antigen Species | human |
| Uniprot ID |
| Stability & Storage | Store at 2°C-8°C for 1 month. Store at -20°C or -80°C for 12 months. Avoid repeated freeze-thaw cycles. |
| Transport | Shipping with blue ice. |
| Size | Quantity | Unit Price | Amount | Operation |
|---|

Copyright © 2015-2026 TargetMol Chemicals Inc. All Rights Reserved.