Shopping Cart
Remove All
Your shopping cart is currently empty
Synonyms: SMAD2 (p-Ser425), SMAD2 (p-S425), SMAD2, p-SMAD2 (Ser425), p-SMAD2 (S425), Phospho-SMAD2 (S425), MADR2, MADH2, LDS6, JV18-1, JV18, hSMAD2, hMAD-2, CHTD8

| Pack Size | Price | USA Stock | Global Stock | Quantity |
|---|---|---|---|---|
| 50 μL | $297 | 7-10 days | 7-10 days | |
| 100 μL | $496 | 7-10 days | 7-10 days |
| Description | Anti-Phospho-SMAD3 (S425) Antibody (5Q618) is a Mouse antibody targeting Phospho-SMAD3 (S425). Anti-Phospho-SMAD3 (S425) Antibody (5Q618) can be used in IHC. |
| Synonyms | SMAD2 (p-Ser425), SMAD2 (p-S425), SMAD2, p-SMAD2 (Ser425), p-SMAD2 (S425), Phospho-SMAD2 (S425), MADR2, MADH2, LDS6, JV18-1, JV18, hSMAD2, hMAD-2, CHTD8 |
| Ig Type | IgG1 |
| Clone | 5Q618 |
| Reactivity | Human,Mouse,Rat |
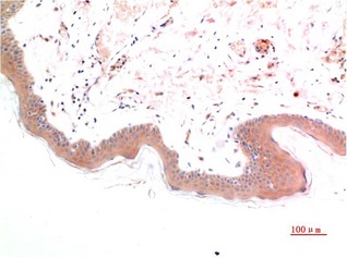
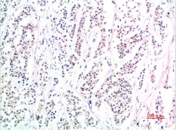
| Verified Activity | 1. Immunohistochemical analysis of paraffin-embedded Human Skin Tissue using Phospho-Smad3 (S425) Mouse mAb diluted at 1:200. 2. Immunohistochemical analysis of paraffin-embedded Human Stomach Carcinoma Tissue using Phospho-Smad3 (S425) Mouse mAb diluted at 1:200. |
| Application | |
| Recommended Dose | IHC: 1:50-200 |
| Antibody Type | Monoclonal |
| Host Species | Mouse |
| Construction | Hybridoma Monoclonal Antibody |
| Appearance | Liquid |
| Formulation | Liquid in PBS containing 50% glycerol, 0.5% BSA and 0.02% sodium azide. |
| Conjucates | Unconjugated |
| Others Formats | Phospho |
| Immunogen | A synthesized phosphopeptide: human Smad3 around the phosphorylation site of S425 |
| Uniprot ID |
| Molecular Weight | Theoretical: 52 kDa. |
| Stability & Storage | Store at -20°C or -80°C for 12 months. Avoid repeated freeze-thaw cycles. |
| Transport | Shipping with blue ice. |
| Size | Quantity | Unit Price | Amount | Operation |
|---|

Copyright © 2015-2026 TargetMol Chemicals Inc. All Rights Reserved.