Shopping Cart
Remove All
Your shopping cart is currently empty
Anti-Phospho-SHP-1 (Tyr536) Polyclonal Antibody is a Rabbit antibody targeting Phospho-SHP-1 (Tyr536). Anti-Phospho-SHP-1 (Tyr536) Polyclonal Antibody can be used in IF,IHC.
| Pack Size | Price | USA Warehouse | Global Warehouse | Quantity |
|---|---|---|---|---|
| 50 μL | $217 | 7-10 days | 7-10 days | |
| 100 μL | $316 | 7-10 days | 7-10 days |
| Description | Anti-Phospho-SHP-1 (Tyr536) Polyclonal Antibody is a Rabbit antibody targeting Phospho-SHP-1 (Tyr536). Anti-Phospho-SHP-1 (Tyr536) Polyclonal Antibody can be used in IF,IHC. |
| Synonyms | SH1 (p-Y536), SH1 (p-Tyr536), p-SHP-1 (Y536), p-SHP-1 (Tyr536) |
| Ig Type | IgG |
| Reactivity | Human,Mouse,Rat |
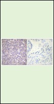
| Verified Activity | 1. Western Blot analysis of RAW264.7+EGF cells. 2. Western blot analysis of lysates from RAW264.7 cells treated with EGF 200ng/ml 5'. The lane on the right is blocked with the phospho peptide. 3. Immunohistochemical analysis of paraffin-embedded Human breast cancer. Antibody was diluted at 1:100 (4°C overnight). High-pressure and temperature Tris-EDTA,pH8.0 was used for antigen retrieval. Negetive contrl (right) obtaned from antibody was pre-absorbed by immunogen peptide. 4. Immunohistochemistry analysis of paraffin-embedded human breast carcinoma. The picture on the right is blocked with the phospho peptide. ![]() ![]() ![]() ![]() |
| Application | |
| Recommended Dose | WB: 1:500-2000; IHC: 1:100-300; IF: 1:50-200 |
| Antibody Type | Polyclonal |
| Host Species | Rabbit |
| Construction | Polyclonal Antibody |
| Purification | The antibody was affinity-purified from rabbit antiserum by affinity-chromatography using epitope-specific immunogen. |
| Appearance | Liquid |
| Formulation | Liquid in PBS containing 50% glycerol, 0.5% BSA and 0.02% sodium azide. |
| Research Background | Acts downstream of various receptor and cytoplasmic protein tyrosine kinases to participate in the signal transduction from the cell surface to the nucleus. |
| Conjucates | Unconjugated |
| Others Formats | Phospho |
| Immunogen | Peptide sequence around phosphorylation site of tyrosine 536 (S-E-Y(p)-G-N) derived from Human SHP-1 |
| Antigen Species | human |
| Uniprot ID |
| Stability & Storage | Store at 2°C-8°C for 1 month. Store at -20°C or -80°C for 12 months. Avoid repeated freeze-thaw cycles. |
| Transport | Shipping with blue ice. |
| Size | Quantity | Unit Price | Amount | Operation |
|---|

Copyright © 2015-2026 TargetMol Chemicals Inc. All Rights Reserved.