Shopping Cart
- Remove All
 Your shopping cart is currently empty Your shopping cart is currently empty
Anti-Phospho-RSK1/2/3 (Thr573/570/577) Polyclonal Antibody is a Rabbit antibody targeting Phospho-RSK1/2/3 (Thr573/570/577). Anti-Phospho-RSK1/2/3 (Thr573/570/577) Polyclonal Antibody can be used in IF,IHC,WB.
| Pack Size | Price | Availability | Quantity | 
|---|---|---|---|
| 100 μL | $317 | 7-10 days | 
| Description | Anti-Phospho-RSK1/2/3 (Thr573/570/577) Polyclonal Antibody is a Rabbit antibody targeting Phospho-RSK1/2/3 (Thr573/570/577). Anti-Phospho-RSK1/2/3 (Thr573/570/577) Polyclonal Antibody can be used in IF,IHC,WB. | 
| Synonyms | S6K-alpha-1, S6K alpha 1, RSK1p90, RSK1, RSK 1 p90, RSK 1, RSK, RPS6KA1 (p-Thr573/570/577), RPS6KA1 (p-T573/570/577), rps6ka, RPS6K1 alpha, Ribosomal S6 kinase 1, Ribosomal protein S6 kinase polypeptide 1, Ribosomal protein S6 kinase alpha 1, Ribosomal protein S6 kinase 90kD polypeptide 1, ribosomal protein S6 kinase, p-RPS6KA1 (Thr573/570/577), p-RPS6KA1 (T573/570/577), pp90RSK1, polypeptide 1, Phospho-RPS6KA1 (T573/570/577), p90S6K, p90RSK1, p90 RSK1, OTTHUMP00000004113, Mitogen-activated protein kinase-activated protein kinase 1A, MGC79981, MAPKAPK-1a, MAPKAPK1A, MAPKAP kinase 1a, MAP kinase activated protein kinase 1a, KS6A1_HUMAN, HU1, HU 1, EC 2.7.11.1, dJ590P13.1, 90kD, 90 kDa ribosomal protein S6 kinase 1 | 
| Ig Type | IgG | 
| Reactivity | Human,Mouse,Rat | 
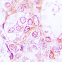
| Verified Activity | 1. Western blot analysis of RSK1/2/3 (phospho-Thr573/570/577) expression in Hela, HepG2 whole cell lysates. 2. Immunohistochemical analysis of RSK1/2/3 (phospho-Thr573/570/577) staining in human lung cancer formalin fixed paraffin embedded tissue section. The section was then incubated with the antibody at room temperature and detected using an HRP conjugated compact polymer system. DAB was used as the chromogen. The section was then counterstained with haematoxylin and mounted with DPX. 3. Immunofluorescent analysis of RSK1/2/3 (phospho-Thr573/570/577) staining in HeLa cells. Formalin-fixed cells were permeabilized with 0.1% Triton X-100 in TBS for 5-10 minutes and blocked with 3% BSA-PBS for 30 minutes at room temperature. Cells were probed with the primary antibody in 3% BSA-PBS and incubated overnight at 4 C in a hidified chamber. Cells were washed with PBST and incubated with a DyLight 594-conjugated secondary antibody (red) in PBS at room temperature in the dark. DAPI was used to stain the cell nuclei (blue).    | 
| Application | |
| Recommended Dose | WB: 1:500-1000; IHC: 1:50-100; IF:1:100-300 | 
| Antibody Type | Polyclonal | 
| Host Species | Rabbit | 
| Construction | Polyclonal Antibody | 
| Purification | The antibody was purified by immunogen affinity chromatography. | 
| Appearance | Liquid | 
| Formulation | Rabbit IgG in phosphate buffered saline (without Mg2+ and Ca2+), pH 7.4, 150mM NaCl, 0.02% sodium azide and 50% glycerol. | 
| Conjucates | Unconjugated | 
| Others Formats | Phospho | 
| Immunogen | KLH conjugated synthetic peptide: encompassing a sequence within the C-term region of human RSK1/2/3 | 
| Antigen Species | human | 
| Uniprot ID | 
| Molecular Weight | Theoretical: 90 kDa. | 
| Stability & Storage | Store at -20°C or -80°C for 12 months. Avoid repeated freeze-thaw cycles. | 
| Transport | Shipping with blue ice. | 

Copyright © 2015-2025 TargetMol Chemicals Inc. All Rights Reserved.