Shopping Cart
- Remove All
 Your shopping cart is currently empty Your shopping cart is currently empty
Anti-Phospho-RPS6KA1 (Thr573) Polyclonal Antibody is a Rabbit antibody targeting Phospho-RPS6KA1 (Thr573). Anti-Phospho-RPS6KA1 (Thr573) Polyclonal Antibody can be used in IHC,WB.
| Pack Size | Price | Availability | Quantity | 
|---|---|---|---|
| 50 μL | $216 | 7-10 days | |
| 100 μL | $318 | 7-10 days | 
| Description | Anti-Phospho-RPS6KA1 (Thr573) Polyclonal Antibody is a Rabbit antibody targeting Phospho-RPS6KA1 (Thr573). Anti-Phospho-RPS6KA1 (Thr573) Polyclonal Antibody can be used in IHC,WB. | 
| Synonyms | S6K-alpha-1, S6K alpha 1, RSK1p90, RSK1, RSK 1 p90, RSK 1, RSK, RPS6KA1 (p-Thr573), RPS6KA1 (p-T573), rps6ka, RPS6K1 alpha, Ribosomal S6 kinase 1, Ribosomal protein S6 kinase polypeptide 1, Ribosomal protein S6 kinase alpha 1, Ribosomal protein S6 kinase 90kD polypeptide 1, ribosomal protein S6 kinase, p-RPS6KA1 (Thr573), p-RPS6KA1 (T573), pp90RSK1, polypeptide 1, Phospho-RPS6KA1 (T573), p90S6K, p90RSK1, p90 RSK1, OTTHUMP00000004113, Mitogen-activated protein kinase-activated protein kinase 1A, MGC79981, MAPKAPK-1a, MAPKAPK1A, MAPKAP kinase 1a, MAP kinase activated protein kinase 1a, KS6A1_HUMAN, HU1, HU 1, EC 2.7.11.1, dJ590P13.1, 90kD, 90 kDa ribosomal protein S6 kinase 1 | 
| Ig Type | IgG | 
| Reactivity | Human | 
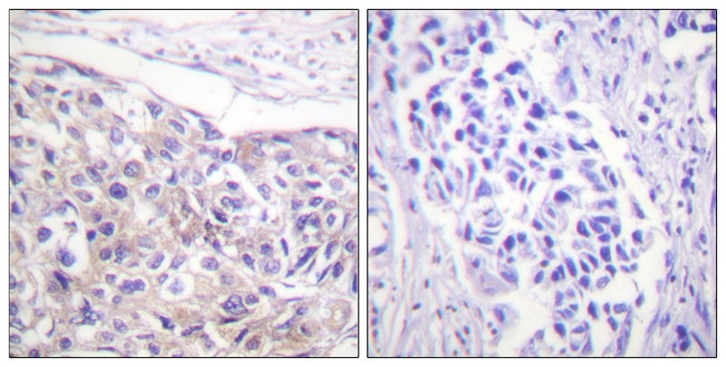
| Verified Activity | 1. Western blot analysis of extracts from 293 cells treated with UV using p90 RSK (Phospho-Thr573) Antibody TMAC-03039. The lane on the right is treated with the antigen-specific peptide. 2. Immunohistochemical analysis of paraffin-embedded human breast carcinoma tissue using p90 RSK (Phospho-Thr573) antibody TMAC-03039 (left) or the same antibody preincubated with blocking peptide (right).   | 
| Application | |
| Recommended Dose | WB: 1:500-1000; IHC: 1:50-100 | 
| Antibody Type | Polyclonal | 
| Host Species | Rabbit | 
| Construction | Polyclonal Antibody | 
| Purification | Antibodies were produced by immunizing rabbits with synthetic phosphopeptide and KLH conjugates. Antibodies were purified by affinity-chromatography using epitope-specific phosphopeptide. Non-phospho specific antibodies were removed by chromatogramphy using non-phosphopeptide. | 
| Appearance | Liquid | 
| Formulation | Rabbit IgG in phosphate buffered saline (without Mg2+ and Ca2+), pH 7.4, 150mM NaCl, 0.02% sodium azide and 50% glycerol. | 
| Research Background | Serine/threonine-protein kinase that acts downstream of ERK (MAPK1/ERK2 and MAPK3/ERK1) signaling and mediates mitogenic and stress-induced activation of the transcription factors CREB1, ETV1/ER81 and NR4A1/NUR77, regulates translation through RPS6 and EIF4B phosphorylation, and mediates cellular proliferation, survival, and differentiation by modulating mTOR signaling and repressing pro-apoptotic function of BAD and DAPK1. In fibroblast, is required for EGF-stimulated phosphorylation of CREB1, which results in the subsequent transcriptional activation of several immediate-early genes. | 
| Conjucates | Unconjugated | 
| Others Formats | Phospho | 
| Immunogen | Peptide sequence around phosphorylation site of threonine 573(L-M-T(p)-P-C) derived from Human p90 RSK | 
| Antigen Species | human | 
| Uniprot ID | 
| Molecular Weight | Actual: 95 kDa. | 
| Stability & Storage | Store at -20°C or -80°C for 12 months. Avoid repeated freeze-thaw cycles. | 
| Transport | Shipping with blue ice. | 

Copyright © 2015-2025 TargetMol Chemicals Inc. All Rights Reserved.