Shopping Cart
- Remove All
 Your shopping cart is currently empty Your shopping cart is currently empty
Anti-Phospho-RPS6KA1 (Thr359, Ser363) Antibody (9N204) is a Rabbit antibody targeting Phospho-RPS6KA1 (Thr359, Ser363). Anti-Phospho-RPS6KA1 (Thr359, Ser363) Antibody (9N204) can be used in ICC,IHC,IP,WB.
| Pack Size | Price | Availability | Quantity | 
|---|---|---|---|
| 50 μL | $297 | 7-10 days | |
| 100 μL | $497 | 7-10 days | 
| Description | Anti-Phospho-RPS6KA1 (Thr359, Ser363) Antibody (9N204) is a Rabbit antibody targeting Phospho-RPS6KA1 (Thr359, Ser363). Anti-Phospho-RPS6KA1 (Thr359, Ser363) Antibody (9N204) can be used in ICC,IHC,IP,WB. | 
| Synonyms | S6K-alpha-1, S6K alpha 1, RSK1p90, RSK1, RSK 1 p90, RSK 1, RSK, RPS6KA1 (p-Thr359, Ser363), RPS6KA1 (p-T359, S363), rps6ka, RPS6K1 alpha, Ribosomal S6 kinase 1, Ribosomal protein S6 kinase polypeptide 1, Ribosomal protein S6 kinase alpha 1, Ribosomal protein S6 kinase 90kD polypeptide 1, ribosomal protein S6 kinase, p-RPS6KA1 (Thr359, Ser363), p-RPS6KA1 (T359, S363), pp90RSK1, polypeptide 1, Phospho-RPS6KA1 (T359, S363), p90S6K, p90RSK1, p90 RSK1, OTTHUMP00000004113, Mitogen-activated protein kinase-activated protein kinase 1A, MGC79981, MAPKAPK-1a, MAPKAPK1A, MAPKAP kinase 1a, MAP kinase activated protein kinase 1a, KS6A1_HUMAN, HU1, HU 1, EC 2.7.11.1, dJ590P13.1, 90kD, 90 kDa ribosomal protein S6 kinase 1 | 
| Ig Type | IgG | 
| Clone | 9N204 | 
| Reactivity | Human,Mouse,Rat | 
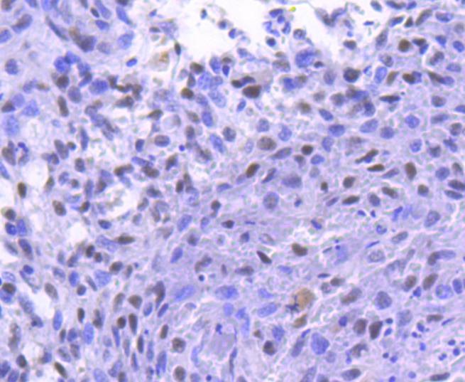
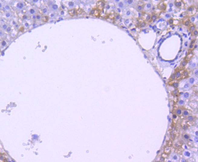
| Verified Activity | 1. Western blot analysis of Phospho-RSK1 p90 (T359+S363) on different lysates using anti-Phospho-RSK1 p90 (T359+S363) antibody at 1/1,000 dilution. Positive control: Lane 1: A431, Lane 2: 293, Lane 3: MCF-7. 2. Immunohistochemical analysis of paraffin-embedded human breast carcinoma tissue using anti-Phospho-RSK1 p90 (T359+S363) antibody. Counter stained with hematoxylin. 3. Immunohistochemical analysis of paraffin-embedded mouse liver tissue using anti-Phospho-RSK1 p90 (T359+S363) antibody. Counter stained with hematoxylin. 4. ICC staining Phospho-RSK1 p90 (T359+S363) in A431 cells (green). The nuclear counter stain is DAPI (blue). Cells were fixed in paraformaldehyde, permeabilised with 0.25% Triton X100/PBS. 5. ICC staining Phospho-RSK1 p90 (T359+S363) in HepG2 cells (green). The nuclear counter stain is DAPI (blue). Cells were fixed in paraformaldehyde, permeabilised with 0.25% Triton X100/PBS. 6. ICC staining Phospho-RSK1 p90 (T359+S363) in 293 cells (green). The nuclear counter stain is DAPI (blue). Cells were fixed in paraformaldehyde, permeabilised with 0.25% Triton X100/PBS.       | 
| Application | |
| Recommended Dose | WB: 1:1000-2000; IHC: 1:50-200; ICC: 1:50-200 | 
| Antibody Type | Monoclonal | 
| Host Species | Rabbit | 
| Construction | Recombinant Antibody | 
| Purification | ProA affinity purified | 
| Appearance | Liquid | 
| Formulation | 1*TBS (pH7.4), 1%BSA, 40%Glycerol. Preservative: 0.05% Sodium Azide. | 
| Research Background | The family of ribosomal S6 kinases (Rsks), designated Rsk-1 (or MAPKAP kinase-1), Rsk-2 and Rsk-3, are intracellular serine/threonine kinases that are important signaling intermediates in response to a broad range of ligand activated receptor tyrosine kinases. A unique feature common to the members of the Rsk family is that each possesses two non-identical complete kinase catalytic domains. An additional Rsk protein, Rsk-4, shows a high level of homology to the three previously isolated members of the human Rsk family. Rsk-4 is most abundantly expressed in brain and kidney and plays a role in normal neuronal development. The family of ribosomal S6 kinases includes p70 S6 kinase and p70 S6 kinase β, which are thought to have similar regulatory functions. MSK1 (also designated RLPK) is a novel Rsk-related protein, which, like the p90 Rsk family members, contains two non-identical complete kinase catalytic domains. | 
| Conjucates | Unconjugated | 
| Others Formats | Phospho | 
| Immunogen | A synthesized phosphopeptide: human RSK1 p90 around the phosphorylation site of Thr359 and Ser363 | 
| Antigen Species | human | 
| Uniprot ID | 
| Molecular Weight | Theoretical: 90 kDa. | 
| Stability & Storage | Store at -20°C or -80°C for 12 months. Avoid repeated freeze-thaw cycles. | 
| Transport | Shipping with blue ice. | 

Copyright © 2015-2025 TargetMol Chemicals Inc. All Rights Reserved.