Shopping Cart
Remove All
Your shopping cart is currently empty
Anti-Phospho-ROCK1 (Thr455, Ser456) Polyclonal Antibody is a Rabbit antibody targeting Phospho-ROCK1 (Thr455, Ser456). Anti-Phospho-ROCK1 (Thr455, Ser456) Polyclonal Antibody can be used in FCM,IF,IHC-Fr,IHC-P,WB.
| Pack Size | Price | USA Warehouse | Global Warehouse | Quantity |
|---|---|---|---|---|
| 50 μL | $222 | 7-10 days | 7-10 days | |
| 100 μL | $373 | 7-10 days | 7-10 days | |
| 200 μL | $527 | 7-10 days | 7-10 days |
| Description | Anti-Phospho-ROCK1 (Thr455, Ser456) Polyclonal Antibody is a Rabbit antibody targeting Phospho-ROCK1 (Thr455, Ser456). Anti-Phospho-ROCK1 (Thr455, Ser456) Polyclonal Antibody can be used in FCM,IF,IHC-Fr,IHC-P,WB. |
| Synonyms | ROCK1 (p-Thr455, p-Ser456), ROCK1 (p-T455, p-S456), ROCK 1, Rho associated protein kinase 1, Rho associated coiled coil containing protein kinase 1, Renal carcinoma antigen NY REN 35, p-ROCK1 (Thr455, Ser456), p-ROCK1 (T455, S456), p160ROCK, p160 ROCK1 |
| Ig Type | IgG |
| Reactivity | Human,Mouse (predicted:Rat,Dog,Pig,Horse,Rabbit) |
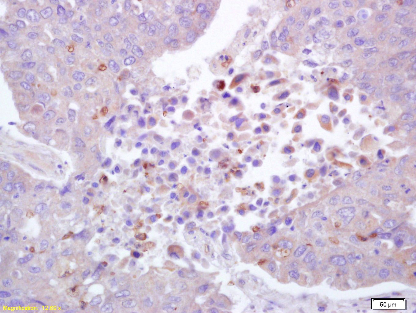
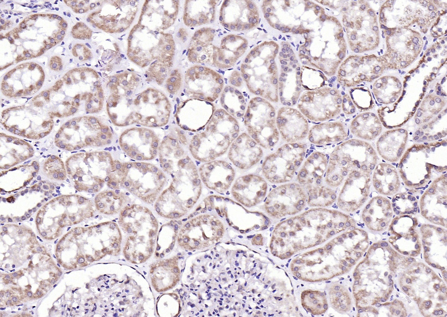
| Verified Activity | 1. Paraformaldehyde-fixed, paraffin embedded (Human kidney); Antigen retrieval by boiling in sodium citrate buffer (pH6.0) for 15 min; Block endogenous peroxidase by 3% hydrogen peroxide for 20 min; Blocking buffer (normal goat serum) at 37°C for 30 min; Antibody incubation with (phospho-ROCK1 (Thr455+Ser456)) Polyclonal Antibody, Unconjugated (TMAB-01489) at 1:200 overnight at 4°C, followed by operating according to SP Kit (Rabbit) instructionsand DAB staining. 2. Sample: Cerebrum (Mouse) Lysate at 40 μg Primary: Anti-phospho-ROCK1 (Thr455+Ser456) (TMAB-01489) at 1/1000 dilution Secondary: IRDye800CW Goat Anti-Rabbit IgG at 1/20000 dilution Predicted band size: 158 kDa Observed band size: 158 kDa 3. Tissue/cell: human lung carcinoma; 4% Paraformaldehyde-fixed and paraffin-embedded; Antigen retrieval: citrate buffer (0.01M, pH6.0), Boiling bathing for 15 min; Block endogenous peroxidase by 3% Hydrogen peroxide for 30 min; Blocking buffer (normal goat serum) at 37°C for 20 min; Incubation: Anti-phospho-ROCK1 (Thr455/Ser456) Polyclonal Antibody, Unconjugated (TMAB-01489) 1:200, overnight at 4°C, followed by conjugation to the secondary antibody and DAb staining. 4. Blank control (blue): Hela (fixed with 2% paraformaldehyde (10 min), then permeabilized with 90% ice-cold methanol for 30 min on ice). Primary Antibody: Rabbit Anti-phospho-ROCK1 (Thr455+Ser456) antibody (TMAB-01489), Dilution: 1 μg in 100 μL 1X PBS containing 0.5% BSA; Isotype Control Antibody: Rabbit Igg (orange),used under the same conditions); Secondary Antibody: Goat anti-rabbit IgG-Pe (white blue), Dilution: 1:200 in 1 X PBS containing 0.5% BSA. 5. Blank control: MCF-7. Primary Antibody (green line): Rabbit Anti-phospho-ROCK1 (Thr455+Ser456) antibody (TMAB-01489) Dilution: 1 μg/Test; Secondary Antibody (white blue line): Goat anti-rabbit IgG-AF488 Dilution: 0.5 μg/Test. Isotype control (orange line): Normal Rabbit IgG Protocol The cells were incubated in 5% BSA to block non-specific protein-protein interactions for 30 min at room temperature. Cells stained with Primary Antibody for 30 min at room temperature. The secondary antibody used for 40 min at room temperature. 6. Blank control: MCF-7. Primary Antibody (green line): Rabbit Anti-phospho-ROCK1 (Thr455+Ser456) antibody (TMAB-01489) Dilution: 1 μg/Test; Secondary Antibody (white blue line): Goat anti-rabbit IgG-AF488 Dilution: 0.5 μg/Test. Isotype control (orange line): Normal Rabbit IgG Protocol The cells were incubated in 5% BSA to block non-specific protein-protein interactions for 30 min at room temperature. Cells stained with Primary Antibody for 30 min at room temperature. The secondary antibody used for 40 min at room temperature. ![]() ![]() ![]() ![]() ![]() ![]() |
| Application | |
| Recommended Dose | WB: 1:500-2000; IHC-P: 1:100-500; IHC-Fr: 1:100-500; IF: 1:100-500; FCM: 1ug/Test |
| Antibody Type | Polyclonal |
| Host Species | Rabbit |
| Subcellular Localization | Cytoplasm. Cytoplasm, cytoskeleton, centrosome, centriole (By similarity). Golgi apparatus membrane; Peripheral membrane protein. Cell projection, bleb. Note=Associated with the mother centriole and an intercentriolar linker (By similarity). A small proportion is associated with Golgi membranes. |
| Tissue Specificity | Detected in blood platelets. |
| Construction | Polyclonal Antibody |
| Purification | Protein A purified |
| Appearance | Liquid |
| Formulation | 0.01M TBS (pH7.4) with 1% BSA, 0.02% Proclin300 and 50% Glycerol. |
| Concentration | 1 mg/mL |
| Research Background | This gene encodes a protein serine/threonine kinase that is activated when bound to the GTP-bound form of Rho. The small GTPase Rho regulates formation of focal adhesions and stress fibers of fibroblasts, as well as adhesion and aggregation of platelets and lymphocytes by shuttling between the inactive GDP-bound form and the active GTP-bound form. Rho is also essential in cytokinesis and plays a role in transcriptional activation by serum response factor. This protein, a downstream effector of Rho, phosphorylates and activates LIM kinase, which in turn, phosphorylates cofilin, inhibiting its actin-depolymerizing activity. [provided by RefSeq]. |
| Immunogen | KLH conjugated synthesised phosphopeptide: human ROCK1 around the phosphorylation site of Thr455+Ser456 |
| Antigen Species | Human |
| Gene Name | ROCK1 |
| Gene ID | |
| Protein Name | Rho-associated protein kinase 1 |
| Uniprot ID | |
| Biology Area | Cell division,Centromere,Actin Assembly,Other Kinases |
| Function | Protein kinase which is a key regulator of actin cytoskeleton and cell polarity. Involved in regulation of smooth muscle contraction, actin cytoskeleton organization, stress fiber and focal adhesion formation, neurite retraction, cell adhesion and motility via phosphorylation of DAPK3, GFAP, LIMK1, LIMK2, MYL9/MLC2, PFN1 and PPP1R12A. Phosphorylates FHOD1 and acts synergistically with it to promote SRC-dependent non-apoptotic plasma membrane blebbing. Phosphorylates JIP3 and regulates the recruitment of JNK to JIP3 upon UVB-induced stress. Acts as a suppressor of inflammatory cell migration by regulating PTEN phosphorylation and stability. Acts as a negative regulator of VEGF-induced angiogenic endothelial cell activation. Required for centrosome positioning and centrosome-dependent exit from mitosis. Plays a role in terminal erythroid differentiation. May regulate closure of the eyelids and ventral body wall by inducing the assembly of actomyosin bundles. Promotes keratinocyte terminal differentiation. |
| Molecular Weight | Theoretical: 158 kDa. |
| Color | Transparent |
| Appearance | Liquid |
| Stability & Storage | Store at -20°C or -80°C for 12 months. Avoid repeated freeze-thaw cycles. |
| Transport | Shipping with blue ice. |
| Size | Quantity | Unit Price | Amount | Operation |
|---|

Copyright © 2015-2026 TargetMol Chemicals Inc. All Rights Reserved.