Shopping Cart
Remove All
Your shopping cart is currently empty
Anti-Phospho-RIPK2 (Ser176) Polyclonal Antibody is a Rabbit antibody targeting Phospho-RIPK2 (Ser176). Anti-Phospho-RIPK2 (Ser176) Polyclonal Antibody can be used in IHC,WB.
| Pack Size | Price | USA Warehouse | Global Warehouse | Quantity |
|---|---|---|---|---|
| 50 μL | $217 | 7-10 days | 7-10 days | |
| 100 μL | $317 | 7-10 days | 7-10 days |
| Description | Anti-Phospho-RIPK2 (Ser176) Polyclonal Antibody is a Rabbit antibody targeting Phospho-RIPK2 (Ser176). Anti-Phospho-RIPK2 (Ser176) Polyclonal Antibody can be used in IHC,WB. |
| Synonyms | RIPK2 (p-Ser176), RIPK2 (p-S176), p-RIPK2 (Ser176), p-RIPK2 (S176) |
| Ig Type | IgG |
| Reactivity | Human,Mouse |
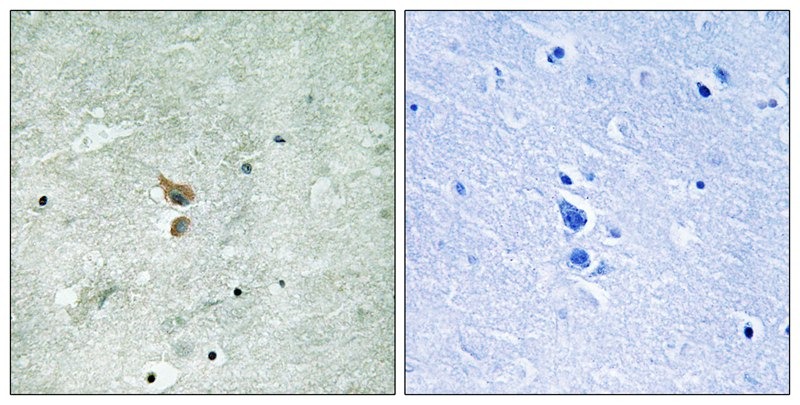
| Verified Activity | 1. Western blot analysis of extracts from 293 cells, treated with UV (15mins), using RIPK2 (Phospho-Ser176) antibody TMAC-03613. The lane on the right is treated with the synthesized peptide. 2. Immunohistochemistry analysis of paraffin-embedded human brain tissue using RIPK2 (Phospho-Ser176) antibody TMAC-03613. The picture on the right is treated with the synthesized peptide. ![]() ![]() |
| Application | |
| Recommended Dose | WB: 1:500-3000; IHC: 1:50-100 |
| Antibody Type | Polyclonal |
| Host Species | Rabbit |
| Construction | Polyclonal Antibody |
| Purification | Antibodies were produced by immunizing rabbits with synthetic phosphopeptide and KLH conjugates. Antibodies were purified by affinity-chromatography using epitope-specific phosphopeptide. Non-phospho specific antibodies were removed by chromatogramphy using non-phosphopeptide. |
| Appearance | Liquid |
| Formulation | Rabbit IgG in phosphate buffered saline (without Mg2+ and Ca2+), pH 7.4, 150mM NaCl, 0.02% sodium azide and 50% glycerol. |
| Research Background | Serine/threonine/tyrosine kinase that plays an essential role in modulation of innate and adaptive immune responses. Upon stimulation by bacterial peptidoglycans, NOD1 and NOD2 are activated, oligomerize and recruit RIPK2 through CARD-CARD domains. Contributes to the tyrosine phosphorylation of the guanine exchange factor ARHGEF2 through Src tyrosine kinase leading to NF-kappaB activation by NOD2. Once recruited, RIPK2 autophosphorylates and undergoes 'Lys-63'-linked polyubiquitination by E3 ubiquitin ligases XIAP, BIRC2 and BIRC3. The polyubiquitinated protein mediates the recruitment of MAP3K7/TAK1 to IKBKG/NEMO and induces 'Lys-63'-linked polyubiquitination of IKBKG/NEMO and subsequent activation of IKBKB/IKKB. In turn, NF-kappa-B is released from NF-kappa-B inhibitors and translocates into the nucleus where it activates the transcription of hundreds of genes involved in immune response, growth control, or protection against apoptosis. Plays also a role during engagement of the T-cell receptor (TCR) in promoting BCL10 phosphorylation and subsequent NF-kappa-B activation. |
| Conjucates | Unconjugated |
| Others Formats | Phospho |
| Immunogen | Peptide sequence around phosphorylation site of serine 176 (S-L-S(p)-Q-S) derived from Human RIPK2 |
| Antigen Species | human |
| Uniprot ID |
| Molecular Weight | Actual: 70 kDa. |
| Stability & Storage | Store at -20°C or -80°C for 12 months. Avoid repeated freeze-thaw cycles. |
| Transport | Shipping with blue ice. |
| Size | Quantity | Unit Price | Amount | Operation |
|---|

Copyright © 2015-2026 TargetMol Chemicals Inc. All Rights Reserved.