Shopping Cart
Remove All
Your shopping cart is currently empty
Anti-Phospho-RIPK1 (Ser166) Polyclonal Antibody is a Rabbit antibody targeting Phospho-RIPK1 (Ser166). Anti-Phospho-RIPK1 (Ser166) Polyclonal Antibody can be used in IHC,WB.
| Pack Size | Price | USA Warehouse | Global Warehouse | Quantity |
|---|---|---|---|---|
| 50 μL | $217 | 7-10 days | 7-10 days | |
| 100 μL | $318 | 7-10 days | 7-10 days |
| Description | Anti-Phospho-RIPK1 (Ser166) Polyclonal Antibody is a Rabbit antibody targeting Phospho-RIPK1 (Ser166). Anti-Phospho-RIPK1 (Ser166) Polyclonal Antibody can be used in IHC,WB. |
| Synonyms | RIPK1 (p-Ser166), RIPK1 (p-S166), p-RIPK1 (Ser166), p-RIPK1 (S166) |
| Ig Type | IgG |
| Reactivity | Human,Mouse,Rat |
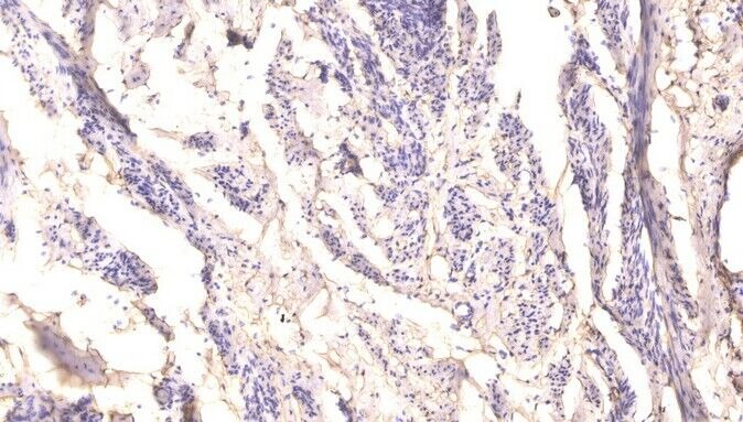
| Verified Activity | 1. Immunohistochemical analysis of paraffin-embedded human cervical carcinoma. Antibody was diluted at 1:200 (4°C overnight). Tris-EDTA, pH9.0 was used for antigen retrieval. Secondary antibody was diluted at 1:200 (room temperature, 45min). ![]() |
| Application | |
| Recommended Dose | WB: 1:1000-2000; IHC: 1:50-300 |
| Antibody Type | Polyclonal |
| Host Species | Rabbit |
| Construction | Polyclonal Antibody |
| Purification | The antibody was affinity-purified from rabbit serum by affinity-chromatography using specific immunogen. |
| Appearance | Liquid |
| Formulation | Liquid in PBS containing 50% glycerol, 0.5% BSA and 0.02% sodium azide. |
| Conjucates | Unconjugated |
| Others Formats | Phospho |
| Immunogen | A synthesized phosphopeptide: human RIP around the phosphorylation site of Ser166 |
| Antigen Species | human |
| Uniprot ID |
| Molecular Weight | Actual: 73 kDa. |
| Stability & Storage | Store at -20°C or -80°C for 12 months. Avoid repeated freeze-thaw cycles. |
| Transport | Shipping with blue ice. |
| Size | Quantity | Unit Price | Amount | Operation |
|---|

Copyright © 2015-2026 TargetMol Chemicals Inc. All Rights Reserved.