Shopping Cart
Remove All
Your shopping cart is currently empty
Anti-Phospho-RB1 (Ser807) Antibody (7O884) is a Rabbit antibody targeting Phospho-RB1 (Ser807). Anti-Phospho-RB1 (Ser807) Antibody (7O884) can be used in ICC/IF,IHC,WB.
| Pack Size | Price | USA Warehouse | Global Warehouse | Quantity |
|---|---|---|---|---|
| 50 μL | $296 | 7-10 days | 7-10 days | |
| 100 μL | $497 | 7-10 days | 7-10 days |
| Description | Anti-Phospho-RB1 (Ser807) Antibody (7O884) is a Rabbit antibody targeting Phospho-RB1 (Ser807). Anti-Phospho-RB1 (Ser807) Antibody (7O884) can be used in ICC/IF,IHC,WB. |
| Synonyms | RB1 (p-Ser807), RB1 (p-S807), p-RB1 (Ser807), p-RB1 (S807) |
| Ig Type | IgG |
| Clone | 7O884 |
| Reactivity | Human,Mouse,Rat |
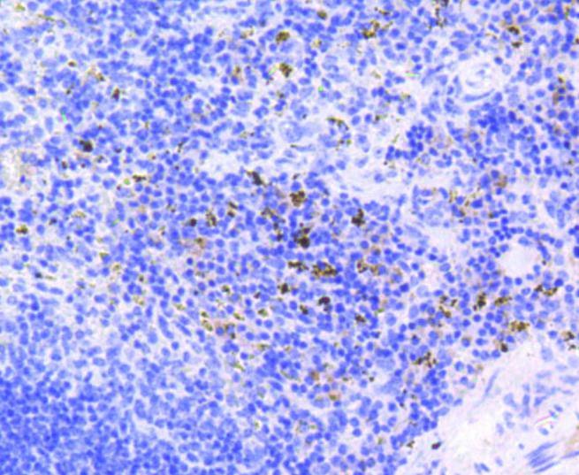
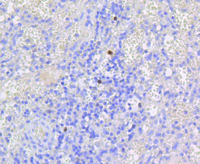
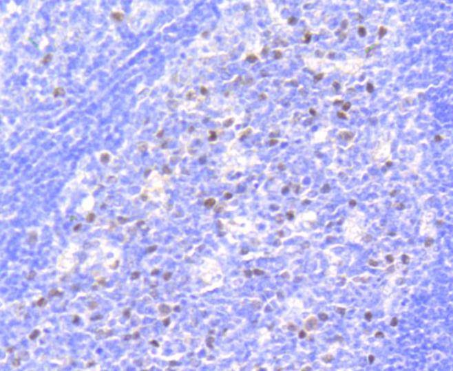
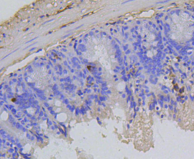
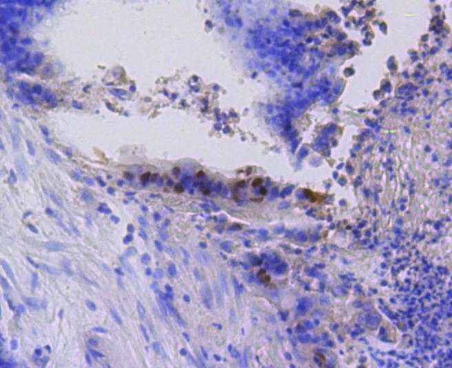
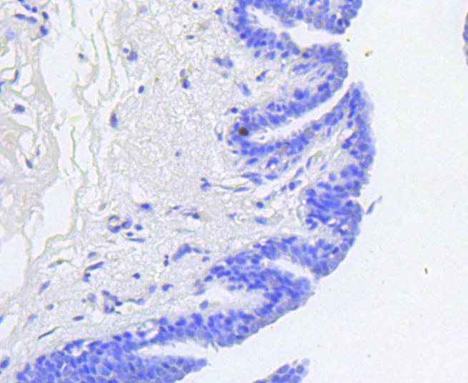
| Verified Activity | 1. Western blot analysis of Phospho-Rb (S807) on A549 cell lysates using anti-Phospho-Rb (S807) antibody at 1/1,000 dilution. 2. Immunohistochemical analysis of paraffin-embedded mouse spleen tissue using anti-Phospho-Rb (S807) antibody. Counter stained with hematoxylin. 3. Immunohistochemical analysis of paraffin-embedded human tonsil tissue using anti-Phospho-Rb (S807) antibody. Counter stained with hematoxylin. 4. Immunohistochemical analysis of paraffin-embedded human colon cancer tissue using anti-Phospho-Rb (S807) antibody. Counter stained with hematoxylin. 5. Immunohistochemical analysis of paraffin-embedded human spleen tissue using anti-Phospho-Rb (S807) antibody. Counter stained with hematoxylin. 6. Immunohistochemical analysis of paraffin-embedded human breast carcinoma tissue using anti-Phospho-Rb (S807) antibody. Counter stained with hematoxylin. 7. Immunohistochemical analysis of paraffin-embedded mouse colon tissue using anti-Phospho-Rb (S807) antibody. Counter stained with hematoxylin. 8. ICC staining Phospho-Rb (S807) in A549 cells (green). The nuclear counter stain is DAPI (blue). Cells were fixed in paraformaldehyde, permeabilised with 0.25% Triton X100/PBS. 9. ICC staining Phospho-Rb (S807) in MCF-7 cells (green). The nuclear counter stain is DAPI (blue). Cells were fixed in paraformaldehyde, permeabilised with 0.25% Triton X100/PBS. 10. ICC staining Phospho-Rb (S807) in CRC cells (green). Cells were fixed in paraformaldehyde, permeabilised with 0.25% Triton X100/PBS. ![]() ![]() ![]() ![]() ![]() ![]() ![]() ![]() ![]() ![]() |
| Application | |
| Recommended Dose | WB: 1:1000-2000; IHC: 1:50-200; ICC/IF: 1:50-200 |
| Antibody Type | Monoclonal |
| Host Species | Rabbit |
| Construction | Recombinant Antibody |
| Purification | ProA affinity purified |
| Appearance | Liquid |
| Formulation | 1*TBS (pH7.4), 1%BSA, 40%Glycerol. Preservative: 0.05% Sodium Azide. |
| Research Background | Pediatric cancer retinoblastoma and the formation of other human tumors can be attributed to mutations in the retinoblastoma tumor suppressor gene (Rb). The Rb protein regulates differentiation, apoptosis and cell cycle control by coordinating the cell cycle at G1-S with transcriptional machinery. During G1, cyclin D-dependent kinase-mediated phosphorylation of Rb at Ser 795 marks the conversion of Rb from a transcriptionally repressive, hypophosphorylated state to an inactive, phosphorylated state, which may be sustained through mitosis by differential phosphorylation of up to 16 putative serine or threonine residues, including Ser 249/Thr 252, Thr 373, Thr 356, Ser 780, Ser-807/ Ser 811 and Thr 821/Thr 826. Hypophosphorylated Rb represses the transcription of genes controlling the cell cycle through direct protein-protein interactions and through the recruitment of histone deacetylase. |
| Conjucates | Unconjugated |
| Others Formats | Phospho |
| Immunogen | A synthesized phosphopeptide: human Rb around the phosphorylation site of Ser807 |
| Antigen Species | human |
| Uniprot ID |
| Molecular Weight | Theoretical: 106 kDa. |
| Stability & Storage | Store at -20°C or -80°C for 12 months. Avoid repeated freeze-thaw cycles. |
| Transport | Shipping with blue ice. |
| Size | Quantity | Unit Price | Amount | Operation |
|---|

Copyright © 2015-2026 TargetMol Chemicals Inc. All Rights Reserved.